View Article

  • Evaluation of Hepatoprotective Action of Abelmoschus manihot L Extracts on Experimental Animal Model

  • Department of Pharmacology, SHEAT College of Pharmacy, Varanasi, Uttar Pradesh

Abstract

Paracetamol (PCM) is extensively used as an analgesic and also an antipyretic medication. When taken at higher doses, the drug can lead to several adverse effects, the most common being hepatotoxicity. This study offers insights into the hepatoprotective properties of abelmoschus manihot seed extract against paracetamol-induced hepatotoxicity. The hepatotoxicity induced by paracetamol was witnessed through a significant rise (P<0.05) in serum values of AST, ALT, ALP and bilirubin. Hydroalcoholic plant extracts, upon administration at doses of 100, 200, and 400 mg/kg to rats, showed protective effects against paracetamol-induced lipid peroxidation as well as against the changes in serum marker enzymes levels. Therefore, it can be concluded that the aforesaid plant extracts possess hepatoprotective activity against paracetamol-induced toxicity.

Keywords

Paracetamol, Hepatotoxicity, Silymarin, Hepatoprotective, wistar rat.

Introduction

The liver is an important organ for maintaining bodily homeostasis. Protein synthesis, lipid and carbohydrate storage and metabolism, drug and toxin detoxification, bilirubin excretion, and hormone metabolism are all functions of the liver. Because liver function affects such a wide range of physiological functions, it's reasonable to assume that it affects a variety of homeostatic mechanisms, with potentially catastrophic repercussions for the individual concerned1.

The liver is highly skilled in metabolic conversion and biliary excretion, making it the principal organ in the body responsible for drug removal. It serves multiple purposes as an intricate and specialised organ. Nerves, lymphatic vessels, bile ducts, hepatic arterioles, terminal portal venules, and the acinus make up the smallest functional unit of the liver2.

The liver is crucial in metabolizing and clearing chemicals, making it vulnerable to toxicity from these substances. Some medications can damage the liver when taken in excessive doses or even within therapeutic ranges3.

EPIDEMIOLOGY

Indian population

About 10 lakh persons in India are diagnosed with liver cirrhosis each year. World Health Organisation data shows that liver illnesses rank among India's top 10 killers. Liver illness accounted for 2.44 percent of all fatalities in India in May 2014, according to the most recent data given by the World Health Organisation4.

Worldwide affected population

Roughly 30 million Americans and 29 million Europeans deal with chronic liver disease occasionally or always. Liver cirrhosis was responsible for an estimated 170,000 fatalities in Europe in 2013. There were 493,300 reported deaths in 2010 due to alcoholic liver disease (ALD), with 156,900 female and 336,400 male victims5. This disease produces liver cirrhosis. Liver cancer, according to a plethora of published studies, is the leading cause of cancer-related deaths globally in the modern era. "Worldwide, 788,000 people lost their lives to liver cancer in 2015, according to the World Health Organisation. Between 2014 and 2015, over 25,000 liver transplants were carried out worldwide, with over 5,000 of those operations taking place annually in Europe alone6.

Hepatotoxicity

One form of liver dysfunction or damage linked to the misuse of antibiotics and other medicines is hepatotoxicity. Hepatotoxins, also known as hepatotoxic agents, are substances that harm the liver7.

 Mechanism of hepatotoxicity

It is impossible to see medication-related hepatotoxicity as an isolated illness. Hepatotoxicity can be caused by a variety of factors. One of these is the drug's covalent binding to cell proteins, which leads to cell death and membrane disruption. This, in turn, triggers an immune response that hinders the cell pathways that the medication uses for digestion. Another factor is the presence of abnormal bile streams caused by disruptions in subcellular actin fibres or interference with trans-port syphons, which can cause cholestasis and jaundice8. In rare cases, even with minimal cell damage, cells can undergo apoptosis through tumor-corruption factor and Fas pathways. Lastly, the drug can hinder mitochondrial function, leading to the accumulation of reactive oxygen species, lipid peroxidation, fat aggregation, and cell passing9.

Figure 2: Mechanism of liver damage due to oxidative stress

More than 60% of the world's pharmaceuticals, health care items, and formulations made from plants have experienced extraordinary growth in recent years. The majority of pharmaceutical corporations, including global conglomerates, have been enticed by the surge in international trade in herbal medicine. In 1997, the European market was thought to have reached around $7 billion. Germany dominates the European market, accounting for half of the total at $3.5 billion, or $42.90 per capita. France ($1.8 billion), Italy ($700 million), the UK ($400 million), Spain ($300 million), and the Netherlands ($100 million) follow this market. The herbal medicine database estimates that the Asian market is worth $2.3 billion, while the Japanese market is worth 2.1 billion. But in the United States, the herbal medicine industry is booming10.

The current study aims to assess the hepatoprotective capability of chosen plants by drawing on evidence of numerous hepatoprotective chemical principles that have been previously established, as well as recommendations based on ethnomedical use and literature surveys. The study focusses on Abelmoschus manihot seeds in particular. The hepatoprotective properties of these plants were a deciding factor in their selection11.

MATERIAL AND METHODS:

Collection, identification and authentication of plant material

The seeds of Abelmoschus manihot L were gathered from the eastern region of Uttar Pradesh. The preliminary identification relied on its organoleptic and morphological traits, while the confirmation was carried out by the Botanical Survey of India in Pune.

Extraction of plant material:

The Abelmoschus manihot seeds were dried and then ground into a fine powder at room temperature. After 72 hours at around 64°C, 500 g of powdered plant material was extracted using 1.5 litres of a 70:30 mixture of ethanol and water using the Soxhlet extraction system. The filtrate was then concentrated at 40°C and lowered pressure using a rotating evaporator. At 4°C, the Abelmoschus manihot seed extract (AMSE) was then stored until it was required12. The leaves of Abelmoschus manihot demonstrated a percentage yield of 55.30%, respectively.

Drugs and chemicals

The necessary chemicals utilized during this research work have been Ethanol, Paracetamol as a hepatotoxicant and Silymarin was used as standard drugs.

Equipment

Soxhlet apparatus, Digital Balance, Desiccator, Hot Air oven, Autoanalyzer.

Phytochemical Screening

Extracts was subjected to phytochemical analysis to identify the different phytoconstituent found in the plant were put through a standard qualitative chemical examination to determine the type of phytochemical components they contained. The existence and nonexistence of various phytochemical constituents, like Alkaloids, Carbohydrates, Glycosides, Saponins, Amino acids and Proteins, Flavones and Flavonones, Tannins and Phenolics, Steroids, Fixed oils were determined using standard established techniques13.

Experimental animals

From the Animal House, Saraswati Higher Education and Technical College of Pharmacy, Gahni, Ayar, Varansi, albino rats of either sex weighing 150–200g were acquired. The animals were kept in ideal conditions, with a 12-hour light/dark cycle and room temperatures of 25 ± 1°C. They were fed a regular mouse pellet diet and given access to unlimited water, with the relative humidity being kept at 44-56%. Rats are denied food one hour before the experiment14.

Toxicity study

Rat utilized in this study underwent a fasting period of 12 hours and were randomly allocated into groups containing four and six animals each. Regarding the oral (p.o) administration, A. manihot was administered at varying doses of 200, 400, 800, 1600 and 2000 mg/kg to distinct groups of rat. The subjects were meticulously monitored for any toxicological symptoms and alterations in behavior (including piloerection, rearing, diarrhea, writhing, grooming, paw biting and licking, sedation, hyperactivity, constipation, etc.) for a duration of 2 hours following the administration of the extract''. Mortality rates were documented within a 24-hour period, and the surviving mice were further observed for an additional 14 days to identify any signs of delayed toxicity15. The LD50 was calculated employing the log dose-probit analysis method16.

Assessment of hepatoprotective activity Abelmoschus Manihot seed extract

Thirty-six (36) rats were randomly assigned to six groups (6) and treated with normal saline, varying doses of AMSE, and silymarin over a period of five days. Group A (the Control group) was administered normal saline (NS) exclusively (10 mL/kg, p.o.). Group B received Paracetamol (50 mg/kg, i.p.), while Groups C, D, E, and F were given AMSE extract at doses of 100, 200, and 400 mg/kg p.o., along with silymarin (the standard drug) at a dose of 100 mg/kg (p.o.), in addition to Paracetamol (50 mg/kg, i.p.)17.

Rats from different groups were euthanized on the sixth day of the treatment protocol after being sedated with mild ether. This procedure occurred twenty-four (24) hours after the final treatment. Blood was collected from the retro-orbital plexus and transferred into a vial devoid of anticoagulants. The serum sample was subsequently centrifuged at 5,000 rpm for a duration of 10 minutes, which was then utilized for the analysis of biochemical parameters employing standard diagnostic kits18. The liver was promptly excised and rinsed with ice-cold saline. Both the blood and liver samples were evaluated for their biochemical and antioxidant activities, in addition to histological examination.

Histopathological study

The rats were sacrificed and their livers were removed thereafter. Following a thorough blotting to remove blood and tissue fluids, this liver was then used for histological investigation. After the liver tissue had been fixated in 5% formalin for 48 hours, it was dehydrated using a series of ethyl alcohol-water solutions. After that, it was soaked in paraffin and finally xylene. Slices onto glass slides measuring 15 mm thick were made using a microtome. The liver sections were stained for three to five minutes with 10% haematoxylin, and then rinsed under running water to make the staining more visible. Subsequently, 10% eosin was applied to the sections and left to counterstain for 2 minutes19, 20. The chosen regions were shot after the slices were examined under a photomicroscope set at a magnification of 400.

Statistical analysis

Every one of the values have been expressed as Mean ±S.E.M the result consequence had been analyzed statistically via one way ANOVA followed via Dunnett’s multiple tests.

RESULTS

Phytochemical screening

The phytochemical analysis of the hydroalcoholic extract derived from the seed of Abelmoschus manihot was conducted following the methodology outlined by Khandelwal K. R. This investigation focused on the detection of specific phytochemical components, including saponins, tannins, flavonoids, cardiac glycosides, terpenoids, and alkaloids.

Table 1: Phytochemical composition of hydroalcoholic seed extracts of Abelmoschus manihot

Test performed

Hydroalcoholic extract

Alkaloids

 

Mayer’s reagent

+

Wagner’s reagent

+

Saponins

 

Foam test

+

Borntrager’s test

+

Tannins

 

Lead acetate solution

+

Ferric chloride solution

+

Flavonoids

 

Shinoda test

+

Cardiac glycosides

 

Legal test

+

Terpenoids

 

Tin and thionyl chloride test

+

+: Present, - : Absent

Acute toxicity study:

The A. manihot extract, when administered via the oral route, resulted in no fatalities at the minimum dosage of 200 mg/kg and higher dose 2000 mg/kg. The estimated LD50 was determined to be >2000 mg/kg.

Table 2: Acute oral toxicity test

Sr. no.

Dose

No. of animals

Observation

1

200 mg/kg

03

All animals survived

2

400 mg/kg

03

All animals survived

3

800 mg/kg

03

All animals survived

4

1600 mg/kg

03

All animals survived

5

2000 mg/kg

03

All animals survived

Impact of HAMP extract on Paracetamol-induced hepatotoxicity concerning serum ALT, AST, and ALP

The influence of Paracetamol, AMSE, and SLM on serum ALT, AST, ALP and Bilurubin levels is detailed in Table 1. The group receiving NS+PCM exhibited a significant increase (p<0.05) in serumALT, AST, ALP and Bilurubin when compared to the control group. Administration of varying doses of AMSE (100, 200, and 400 mg/kg) resulted in a reduction of serum ALT, AST, ALP and Bilurubin, with a notable decrease (p<0.05) observed at the AMSE 400 mg/kg dosage in comparison to the NS + Paracetamol group. Conversely, the group treated with SLM 100 mg/kg + PCM demonstrated a significant decrease (p<0.05) in serum, AST, ALP and Bilurubin levels relative to the NS + PCM treated group. (Table 3).

Table 3: Effect of Abelmoschus manihot on Paracetamol induced alterations in serum AST, ALT, ALP and Bilurubin content.

Groups

AST (U/l)

ALT (U/l)

ALP (U/l)

Bilurubin (U/l)

Group-A

8.00± 1.61

7.04±0.90

11.43±1.75

2.51±0.105

Group-B

19.76±0.68

13.75±0.96

26.00±0.67

4.21±0.192

Group-C

18.47±1.30

10.33±0.98

23.75±0.43

3.85±0.162

Group-D

14.02±0.68

10.00±0.68

18.00±0.68

3.18±0.227

Group-E

11.00±0.68

9.50±0.86

14.43±1.55

2.83±0.207

Group-F

8.00±0.68

8.43±0.77

12.33±0.76

1.98±0.20

All the values have been expressed as Mean ±S.E.M, test employed one-way ANOVA by Dunnett’s test (n=6); significantly different from the control at *(P<0.05), ** ( P<0.01), ***( P<0.001) and ns (non-significant) when compared to the control group.

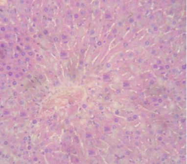
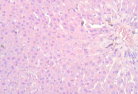
Histopathological Analysis of Liver Tissue

Normal Control:

The liver tissue from the normal control group shows a typical histological structure with well-arranged hepatic cells with clear cytoplasm and well defined nuclei. There are no sign of inflammation, necrosis and celluar damage, indicating healthy liver function.

Disease Control (PCM):

The liver tissue from the disease control group (induced with Paracetamol) exhibits significant pathological alterations. There is evidence of extensive necrosis, inflammation & congestion. Hepatocytes appear degenerated and the normal liver architecture is disrupted, indicating severe liver damage and dysfunction.

Abelmoschus manihot Seed Extract (200 mg/kg):

The liver tissue from the group treated with hydroalcoholic extract of Abelmoschus manihot L Seed at dose 200 mg/kg demonstrates noticeable hepatoprotective effects. The hepatic cells are better organized with less inflammation and cellular damage, indicating significant recovery and protection against PCM-induced liver injury.

Abelmoschus manihot Seed Extract (400 mg/kg):

The liver tissue from the group treated with hydroalcoholic extract of Abelmoschus manihot L Seed at dose 400 mg/kg shows a considerable reduction in liver damage. The hepatocytes are more organized with fewer sign of inflammation and necrosis, suggesting effective hepatoprotection.

Standard Control (Silymarin):

The liver tissue from standard control group treated with Silymarin shows a significant reduction in liver damage compared to the Disease control group.The hepatocytes are more organized with fewer sign of inflammation and necrosis, suggesting a protective effect of Silymarin against PCM-induced liver damage.

      

 

                               Figure 1: Normal Control                             Figure 2: Disease Control

      

 

Figure 3: AMSE 200 mg/kg                          Figure 4: AMSE 400 mg/kg

 

Figure 5: Standard Drug

DISCUSSION

Our study aimed to determine whether the AMSE mitigated paracetamol-induced liver injury in Wistar rats by regulating free radicals and examining changes in biochemical and histological indicators. Damage and inflammation to hepatic tissues can occur after using paracetamol, according to our analysis19. Consistent with previous studies that have shown PCM to have hepatotoxic effects, our results show that the hydroalcoholic extract of Abelmoschus manihot may protect the livers of rats against PCM-induced liver toxicity. Reversal of paracetamol-induced physiological abnormalities was also achieved by treating patients with a graded dose of hydroalcoholic extract of Abelmoschus manihot (100, 200, and 400 mg/kg) and Silymarin (100 mg/kg) in addition to paracetamol20. This indicates that the AMSE kept the membranes of the liver cells structurally intact, which stopped the hemolyzing of bilurubin, ALT, AST, and ALP. But employing paracetamol-induced hepatoxicity, Abhishek kumar et al. (2012) stated comparable results using an ethanol extract of Abelmoschus manihot seed.

A useful indicator of liver disorders, our study found that the NS + PCM treated group had higher levels of ALT, ALP, AST, and bilurubin than the control group (Achliya et al. 2004). In line with previous research, we found that groups given increasing doses of AMSE extract (100, 200, and 400 mg/kg) and Silymarin plus Paracetamol reduced ALT, ALP, AST, and bilurubin levels in a dose-dependent manner. This suggests that the liver functions were restored to a level similar to the control group21. Groups given AMSE extract or silymarin were able to undo the paracetamol-induced alterations in serum AST, ALT, ALP, and bilurubin levels. These results point to the possibility of hepatoprotective properties in the A. manihot extract.

The biochemical and histological results were similar in our investigation. Consistent with previous results by Sangeetha (2016), the group that received paracetamol showed inflammation and hepatocellular coagulative necrosis.

CONCLUSION

In this experiment it was founded that Abelmoschus manihot seed extract at dose 400mg/kg show the significant result in the paracetamol induced hepatotoxicity as the value of AST, ALT, ALP and Bilurubin, were found significant (p<0.001) compared with paracetamol treated group. The liver-protective effects of the hydro alcoholic extract of Abelmoschus manihot were demonstrated in this study. These effects were mainly brought about by the prevention of the elevation of liver biomarkers that are crucial for normal function.

Furthermore, the extract effectively reduced PCM-induced liver damage by normalizing aberrant biochemical indicators and histological changes. If we want more clinical evidence that AMSE extracts can protect the liver from paracetamol-induced liver damage, we need to do more studies.

REFERENCES

  1. Rao YR, Jena KS, Sahoo D, Rout PK, Ali S. Safety evaluation of ambrette (Abelmoschus moschatus Linn) seed oil. J Am Oil Chem Soc 2005;82:749-52.
  2.  Khare CP. Encyclopedia of Indian Medicinal Plants: Rational Western Therapy, Ayurvedic and Other Traditional Usage, Botany. 1st ed. Berlin Heidelberg (NY): Springer-Verlag Publisher; 2004. p. 247-8.
  3. Pullaiah T. Encyclopedia of World Medicinal Plants. 1st ed. New Delhi: Regency Publication; 2006. p. 12-3.
  4.  Kirtikar KR, Basu BD. Indian Medicinal Plants. 2nd ed. Dehradun: International Book Distributor; 2005. p. 330-2.
  5. Warrier PK, Nambiar VP, Ramankutty C. Indian Medicinal Plants-A Compendium of 500 Species. 1st ed. India: Orient Longman Publishers; 1994. p. 4-6.
  6. The wealth of India. A Dictionary of Indian Raw Materials and Industrial Products (Raw Materials) First Supplement Series. Vol. 1. New Delhi: National Institute of Science Communication and Information Resources, CSIR; 2004. p. 4.
  7.  Nadkarni AK, Nadkarni’s KM. Indian Materia Medica. 3rd ed. Mumbai: Popular Prakashan; 2010. p. 626-7.
  8. Maheshwari P, Kumar A. Antimicrobial activity of Abelmoschus moschatus leaf extracts. Curr Trends Biotechnol Pharm 2009;3:260-6.
  9. Dokka MK, Davuluri SP. Antimicrobial activity of a trypsin inhibitor from the seeds of Abelmoschus moschatus L. Int J Curr Microbiol Appl Sci 2014;3:184-99.
  10. Singh AK, Singh S, Chandel HS. Evaluation of hepatoprotective activity of Abelmoschus moschatus seed in paracetamol induced hepatotoxicity on rat. IOSR J Pharm 2012;2:43-50.
  11. Nandhini S, Vadivu R, Jayshree N. Memory strengthening activity on seeds of Abelmoschus moschatus. Int J Res Pharm Chem 2014;4:346-50.
  12. Liu IM, Liou SS, Lan TW, Hsu FL, Cheng JT. Myricetin as the active principle of abelmoschus moschatus to lower plasma glucose in streptozotocin-induced diabetic rats. Planta Med 2005;71:617-21.
  13. Liu IM, Liou SS, Cheng JT. Mediation of beta-endorphin by myricetin to lower plasma glucose in streptozotocin-induced diabetic rats. J Ethnopharmacol 2006;104:199-206.
  14. Liu IM, Tzeng TF, Liou SS, Lan TW. Myricetin, a naturally occurring flavonol, ameliorates insulin resistance induced by a high-fructose diet in rats. Life Sci 2007;81:1479-88.
  15. Sheik HS, Vedhaiyan N, Singaravel S. Evaluation of Abelmoschus moschatus seed extract in psychiatric and neurological disorders. Int J Basic Clin Pharmacol 2014;3:845-53.
  16. Dokka MK, Konala G, Davuluri SP. Hemagglutinating activity of trypsin inhibitors from the seeds of Abelmoschus moschatus l. Int J Adv Res 2014;2:892-903.
  17. Rival D, Bonnet S, Sohm B, Perrier E. A hibiscus abelmoschus seed extract as a protective active ingredient to favour FGF-2 activity in skin. Int J Cosmet Sci 2009;31:419-26.
  18. Sheik HS, Vedhaiyan N, Singaravel S. Acute and sub acute toxicity studies of some indigenous medicinal plants. Int J Pharm Phytopharmacol Res 2013;3:166-9.
  19. Goncalo S, Gil L, Goncalo M, Baptista AP. Pigmented photoallergic contact dermatitis from musk ambrette. Contact Dermatitis 1991;24:229-31.
  20. Jayasekar P, Mohanan PV, Rathinam K, 1997. Hepatoprotective activity of ethyl acetate extract of Acacia catechu. Indian Journal of Pharmacology, 29: 426-429.
  21. Jessica R. Oesterheld; Kelly L. Cozza; Armstrong, Scott 2003. Concise Guide to Drug Interaction Principles for Medical Practice: Cytochrome P450s, Ugts, P-Glycoproteins. Washington, DC: American Psychiatric Association. 41(4):pp. 167–396.
  22. Kapur V, Dillai KK, Husain SZ, Balani DK, Ind.J.Pharmacol.,1994;26(4),301-3.
  23. Keppler D, Lesch NR, Reutter W, Decker K. 1968. Experimental hepatitis induced by Dgalactosamine.Exp Mol Path; 9:279-290.
  24. Khatri A, Garg A, Agrawal SS, 2009. Evaluation of hepatoprotective activity of aerial part of Tephrosia purpuria L. and stem bark of Tecomella undulata. Journal of Ethnopharmacology, 122: 1-5.
  25. Kim KH, Kim YH, Lee KR 2007. Isolation of quinic acid derivatives and flavonoids from the aerial parts of Lactuca indica L. and their hepatoprotective activity in vitro. Bioorg. Med. Chem. Lett. 17(24): 6739-6743.
  26. Kinoshita S, Inoue Y, Nakama S, Ichiba T, Aniya Y 2007. Antioxidant and hepatoprotective actions of medicinal herb, Terminalia catappa L. from Okinawa Island and its tannin corilagin. Phytomed, 14(11): 755-762.
  27. Kirsch R, Yap J, Roberts EA, Cutz E 2009. "Clinicopathologic spectrum of massive and sub massive hepatic necrosis in infants and children". Hum. Pathol. 40(4): 516–26.
  28. Kozer, E., Evans, S., Barr, J., Greenberg, R., Soriano I, Bulkowstein, M, Petrov, I., Chen-Levi, Z., Barzilay, B. and Berkovitch, M. 2003: Br J Clin Pharmacol., 55(3): 234-40.
  29. Lee E R, Kang G H, Cho SG, 2007. Effect of flavonoids on human health: old subjects but new challenges. Recent Pat Biotechnol. ; 1(2):139-50.
  30. Lim JR, Faught PR, Chalasani NP, Molleston JP 2006. "Severe liver injury after initiating therapy with atomoxetine in two children". J. Pediatr. 148 (6): 831–4.
  31. Lynch T, Price A 2007. "The effect of cytochrome P450 metabolism on drug response, interactions, and adverse effects". American Family Physician 76 (3):391-6.
  32. Menon KV, Gores GJ, Shah VH 2001. "Pathogenesis, diagnosis, and treatment of alcoholic liver disease" 76 (10):1021–9.
  33. Banne Y, Ponidjan Ts, Dumanauw Jm. Antioxidant and hepatoprotective activity of Abelmoschus manihot L. Medik leaf fraction against CCl4–induced liver damage in rats. International Journal of Applied Pharmaceutics. 2019;11(3):17-9.
  34. Pawar AT. Phytopharmacology of Abelmoschus moschatus medik.: A review. International Journal of Green Pharmacy (IJGP). 2017;11(04).
  35. Singh H, Singh T, Singh AP, Kaur S, Arora S, Singh B. Hepatoprotective effect of Physalis divaricata in paracetamol induced hepatotoxicity: In vitro, in silico and in vivo analysis. Journal of Ethnopharmacology. 2022 May 23;290:115024.
  36. Belkhodja H, Labbaci Fz, Remil A, Bouhadi D, Harir M, Boufahja F. HPLC-MS analysis, antioxidant and hepatoprotective potential of okra fruit (Abelmoschus esculentus) against carbon tetrachloride induced hepatic damage. Notulae Scientia Biologicae. 2025 Jun 8;17(2):12312.
  37. Kokate C.K, Purohit A.P, Ghokale S.B, 2007. “Theory book of Pharmacognosy” 39:133-539.
  38. Subramanya SB, Venkataraman B, Meeran MF, Goyal SN, Patil CR, Ojha S. Therapeutic potential of plants and plant derived phytochemicals against acetaminophen-induced liver injury. International journal of molecular sciences. 2018 Nov 28;19(12):3776.
  39. Pawar AT, Vyawahare NS. Antiurolithiatic activity of Abelmoschus moschatus seed extracts against zinc disc implantation-induced urolithiasis in rats. Journal of basic and clinical pharmacy. 2016 Mar;7(2):32.
  40. Singh AK, Singh S, Chandel HS. Evaluation of hepatoprotective activity of Abelmoschus moschatus seed in paracetamol induced hepatotoxicity on rat. IOSR J Pharm. 2012;2:43-50.
  41. Pathak J, Sahoo HB, Agrawal OP. Preliminary phytochemical standardization of Medik Abelmoschus moschatus.
  42. Todarwal A, Jain P, Bari S. Abelmoschus manihot Linn: ethnobotany, phytochemistry and pharmacology. Asian Journal of Traditional Medicines. 2011 Feb 20;6(1):1-7.
  43. Wei C, Wang C, Li R, Bai Y, Wang X, Fang Q, Chen X, Li P. The pharmacological mechanism of Abelmoschus manihot in the treatment of chronic kidney disease. Heliyon. 2023 Nov 1;9(11).

Reference

  1. Rao YR, Jena KS, Sahoo D, Rout PK, Ali S. Safety evaluation of ambrette (Abelmoschus moschatus Linn) seed oil. J Am Oil Chem Soc 2005;82:749-52.
  2.  Khare CP. Encyclopedia of Indian Medicinal Plants: Rational Western Therapy, Ayurvedic and Other Traditional Usage, Botany. 1st ed. Berlin Heidelberg (NY): Springer-Verlag Publisher; 2004. p. 247-8.
  3. Pullaiah T. Encyclopedia of World Medicinal Plants. 1st ed. New Delhi: Regency Publication; 2006. p. 12-3.
  4.  Kirtikar KR, Basu BD. Indian Medicinal Plants. 2nd ed. Dehradun: International Book Distributor; 2005. p. 330-2.
  5. Warrier PK, Nambiar VP, Ramankutty C. Indian Medicinal Plants-A Compendium of 500 Species. 1st ed. India: Orient Longman Publishers; 1994. p. 4-6.
  6. The wealth of India. A Dictionary of Indian Raw Materials and Industrial Products (Raw Materials) First Supplement Series. Vol. 1. New Delhi: National Institute of Science Communication and Information Resources, CSIR; 2004. p. 4.
  7.  Nadkarni AK, Nadkarni’s KM. Indian Materia Medica. 3rd ed. Mumbai: Popular Prakashan; 2010. p. 626-7.
  8. Maheshwari P, Kumar A. Antimicrobial activity of Abelmoschus moschatus leaf extracts. Curr Trends Biotechnol Pharm 2009;3:260-6.
  9. Dokka MK, Davuluri SP. Antimicrobial activity of a trypsin inhibitor from the seeds of Abelmoschus moschatus L. Int J Curr Microbiol Appl Sci 2014;3:184-99.
  10. Singh AK, Singh S, Chandel HS. Evaluation of hepatoprotective activity of Abelmoschus moschatus seed in paracetamol induced hepatotoxicity on rat. IOSR J Pharm 2012;2:43-50.
  11. Nandhini S, Vadivu R, Jayshree N. Memory strengthening activity on seeds of Abelmoschus moschatus. Int J Res Pharm Chem 2014;4:346-50.
  12. Liu IM, Liou SS, Lan TW, Hsu FL, Cheng JT. Myricetin as the active principle of abelmoschus moschatus to lower plasma glucose in streptozotocin-induced diabetic rats. Planta Med 2005;71:617-21.
  13. Liu IM, Liou SS, Cheng JT. Mediation of beta-endorphin by myricetin to lower plasma glucose in streptozotocin-induced diabetic rats. J Ethnopharmacol 2006;104:199-206.
  14. Liu IM, Tzeng TF, Liou SS, Lan TW. Myricetin, a naturally occurring flavonol, ameliorates insulin resistance induced by a high-fructose diet in rats. Life Sci 2007;81:1479-88.
  15. Sheik HS, Vedhaiyan N, Singaravel S. Evaluation of Abelmoschus moschatus seed extract in psychiatric and neurological disorders. Int J Basic Clin Pharmacol 2014;3:845-53.
  16. Dokka MK, Konala G, Davuluri SP. Hemagglutinating activity of trypsin inhibitors from the seeds of Abelmoschus moschatus l. Int J Adv Res 2014;2:892-903.
  17. Rival D, Bonnet S, Sohm B, Perrier E. A hibiscus abelmoschus seed extract as a protective active ingredient to favour FGF-2 activity in skin. Int J Cosmet Sci 2009;31:419-26.
  18. Sheik HS, Vedhaiyan N, Singaravel S. Acute and sub acute toxicity studies of some indigenous medicinal plants. Int J Pharm Phytopharmacol Res 2013;3:166-9.
  19. Goncalo S, Gil L, Goncalo M, Baptista AP. Pigmented photoallergic contact dermatitis from musk ambrette. Contact Dermatitis 1991;24:229-31.
  20. Jayasekar P, Mohanan PV, Rathinam K, 1997. Hepatoprotective activity of ethyl acetate extract of Acacia catechu. Indian Journal of Pharmacology, 29: 426-429.
  21. Jessica R. Oesterheld; Kelly L. Cozza; Armstrong, Scott 2003. Concise Guide to Drug Interaction Principles for Medical Practice: Cytochrome P450s, Ugts, P-Glycoproteins. Washington, DC: American Psychiatric Association. 41(4):pp. 167–396.
  22. Kapur V, Dillai KK, Husain SZ, Balani DK, Ind.J.Pharmacol.,1994;26(4),301-3.
  23. Keppler D, Lesch NR, Reutter W, Decker K. 1968. Experimental hepatitis induced by Dgalactosamine.Exp Mol Path; 9:279-290.
  24. Khatri A, Garg A, Agrawal SS, 2009. Evaluation of hepatoprotective activity of aerial part of Tephrosia purpuria L. and stem bark of Tecomella undulata. Journal of Ethnopharmacology, 122: 1-5.
  25. Kim KH, Kim YH, Lee KR 2007. Isolation of quinic acid derivatives and flavonoids from the aerial parts of Lactuca indica L. and their hepatoprotective activity in vitro. Bioorg. Med. Chem. Lett. 17(24): 6739-6743.
  26. Kinoshita S, Inoue Y, Nakama S, Ichiba T, Aniya Y 2007. Antioxidant and hepatoprotective actions of medicinal herb, Terminalia catappa L. from Okinawa Island and its tannin corilagin. Phytomed, 14(11): 755-762.
  27. Kirsch R, Yap J, Roberts EA, Cutz E 2009. "Clinicopathologic spectrum of massive and sub massive hepatic necrosis in infants and children". Hum. Pathol. 40(4): 516–26.
  28. Kozer, E., Evans, S., Barr, J., Greenberg, R., Soriano I, Bulkowstein, M, Petrov, I., Chen-Levi, Z., Barzilay, B. and Berkovitch, M. 2003: Br J Clin Pharmacol., 55(3): 234-40.
  29. Lee E R, Kang G H, Cho SG, 2007. Effect of flavonoids on human health: old subjects but new challenges. Recent Pat Biotechnol. ; 1(2):139-50.
  30. Lim JR, Faught PR, Chalasani NP, Molleston JP 2006. "Severe liver injury after initiating therapy with atomoxetine in two children". J. Pediatr. 148 (6): 831–4.
  31. Lynch T, Price A 2007. "The effect of cytochrome P450 metabolism on drug response, interactions, and adverse effects". American Family Physician 76 (3):391-6.
  32. Menon KV, Gores GJ, Shah VH 2001. "Pathogenesis, diagnosis, and treatment of alcoholic liver disease" 76 (10):1021–9.
  33. Banne Y, Ponidjan Ts, Dumanauw Jm. Antioxidant and hepatoprotective activity of Abelmoschus manihot L. Medik leaf fraction against CCl4–induced liver damage in rats. International Journal of Applied Pharmaceutics. 2019;11(3):17-9.
  34. Pawar AT. Phytopharmacology of Abelmoschus moschatus medik.: A review. International Journal of Green Pharmacy (IJGP). 2017;11(04).
  35. Singh H, Singh T, Singh AP, Kaur S, Arora S, Singh B. Hepatoprotective effect of Physalis divaricata in paracetamol induced hepatotoxicity: In vitro, in silico and in vivo analysis. Journal of Ethnopharmacology. 2022 May 23;290:115024.
  36. Belkhodja H, Labbaci Fz, Remil A, Bouhadi D, Harir M, Boufahja F. HPLC-MS analysis, antioxidant and hepatoprotective potential of okra fruit (Abelmoschus esculentus) against carbon tetrachloride induced hepatic damage. Notulae Scientia Biologicae. 2025 Jun 8;17(2):12312.
  37. Kokate C.K, Purohit A.P, Ghokale S.B, 2007. “Theory book of Pharmacognosy” 39:133-539.
  38. Subramanya SB, Venkataraman B, Meeran MF, Goyal SN, Patil CR, Ojha S. Therapeutic potential of plants and plant derived phytochemicals against acetaminophen-induced liver injury. International journal of molecular sciences. 2018 Nov 28;19(12):3776.
  39. Pawar AT, Vyawahare NS. Antiurolithiatic activity of Abelmoschus moschatus seed extracts against zinc disc implantation-induced urolithiasis in rats. Journal of basic and clinical pharmacy. 2016 Mar;7(2):32.
  40. Singh AK, Singh S, Chandel HS. Evaluation of hepatoprotective activity of Abelmoschus moschatus seed in paracetamol induced hepatotoxicity on rat. IOSR J Pharm. 2012;2:43-50.
  41. Pathak J, Sahoo HB, Agrawal OP. Preliminary phytochemical standardization of Medik Abelmoschus moschatus.
  42. Todarwal A, Jain P, Bari S. Abelmoschus manihot Linn: ethnobotany, phytochemistry and pharmacology. Asian Journal of Traditional Medicines. 2011 Feb 20;6(1):1-7.
  43. Wei C, Wang C, Li R, Bai Y, Wang X, Fang Q, Chen X, Li P. The pharmacological mechanism of Abelmoschus manihot in the treatment of chronic kidney disease. Heliyon. 2023 Nov 1;9(11).

Photo
Vipul Kaul
Corresponding author

Department of Pharmacology, SHEAT College of Pharmacy, Varanasi, Uttar Pradesh

Photo
Radhika Patel
Co-author

Department of Pharmacology, SHEAT College of Pharmacy, Varanasi, Uttar Pradesh

Vipul Kaul, Radhika Patel, Evaluation of Hepatoprotective Action of Abelmoschus manihot L Extracts on Experimental Animal Model, Int. J. of Pharm. Sci., 2026, Vol 4, Issue 2, 2419-2430. https://doi.org/10.5281/zenodo.18663898

More related articles
Green Chemistry: A Sustainable Approach...
Mahevish Shaikh, Vaishnavi Chauthe, Dr. Anil Jadhav, Kajol Echale...
Design And Chacterization of Novel Topical Drug De...
Anjali Bhansali, Dr. A. Chandewar, Dr. Madhuri Channawar, Ashwini...
A Review on The Formulation, Characterization, And...
Dhanshree P. Rathod, T. A. Dhote, Dr. S. J. Dighade, ...
Development And Validation of RP HPLC Method for Estimation of Galantamine in Ta...
Marutkumar Parmar, Mr.Dhirendra kumar tarai, Dr.Santosh R. kirtane, Khyati bhupta, ...
A Review on Pre-Eclampsia in Pregnancy...
Athira E, Dr. Divyashree N, Midhuna T., Riya Sara thomas, Salma S., Sreeshna K. V., ...
Related Articles
Polyelectrolyte Complex-Based Floating Drug Delivery Systems: A Synergistic Qual...
Gaurav Kumar Chaurasia, Ankit Chaurasia, Ankit Kumar Verma, Ritesh Kumar Tiwari, ...
Formulation And Evaluation Of Herbal Cough Syrup...
Lodwal Pavanraj Bhagwan, Tejaswini Kanhaiyasing Pardeshi, asst. prof. Ram B Ingle, Kale Dipak Raju, ...
First-Pass Effect and its Influence on Drug Bioavailability: A Focus on Therapeu...
Muhammad Hamza, Muntha Junaid, Fatima Shafiq, Muaz Ahmed, Mohib Ahmad , Marwa Imran, Sajjal Fida, La...
Gastroprotective Drug Delivery Systems: A Comprehensive Review of Mechanisms, Fo...
Mamata Wadkar, Nidhi Kalamkar, Jotshna Adhagale, Pallavi Borse, Pratiksha Wagh, ...
Green Chemistry: A Sustainable Approach...
Mahevish Shaikh, Vaishnavi Chauthe, Dr. Anil Jadhav, Kajol Echale, ...
More related articles
Green Chemistry: A Sustainable Approach...
Mahevish Shaikh, Vaishnavi Chauthe, Dr. Anil Jadhav, Kajol Echale, ...
Design And Chacterization of Novel Topical Drug Delivery System...
Anjali Bhansali, Dr. A. Chandewar, Dr. Madhuri Channawar, Ashwini warnkar, Anisha kohale, ...
A Review on The Formulation, Characterization, And Therapeutic Uses of Biofabric...
Dhanshree P. Rathod, T. A. Dhote, Dr. S. J. Dighade, ...
Green Chemistry: A Sustainable Approach...
Mahevish Shaikh, Vaishnavi Chauthe, Dr. Anil Jadhav, Kajol Echale, ...
Design And Chacterization of Novel Topical Drug Delivery System...
Anjali Bhansali, Dr. A. Chandewar, Dr. Madhuri Channawar, Ashwini warnkar, Anisha kohale, ...
A Review on The Formulation, Characterization, And Therapeutic Uses of Biofabric...
Dhanshree P. Rathod, T. A. Dhote, Dr. S. J. Dighade, ...