View Article

Abstract

This part is a clinical syndrome which in new born characterized by disturbed neurological function, which include altered consciousness, difficulty initiating or maintaining respiration, abnormal tones or reflexes, & often seizures. While the most common cause is hypoxic-ischemic encephalopathy (HIE) resulting from oxygen deprivation or reduced blood flow to the brain—NE may also arise from infections, metabolic disorders, trauma, or genetic conditions. During the 1800s, obstetrics became a more formalized field, and complications during labour were increasingly linked to poor neonatal outcomes. Physicians began recognizing the effects of prolonged labour and mechanical trauma on newborns. Clinicians may perform , Clinical Diagnosis: History taking- Maternal history Infections (e.g.chorioamnionitis, TORCH infections). Complications during pregnancy (e.g.,preeclampsia, diabetes, placental abruption), Prolonged rupture of membranes. Perinatal history Apgar scores at 1, 5, and 10 minutes , Need for resuscitation at birth (e.g. intubation, chest compression). Monitoring and Imaging - Neurological Examination Evaluate seizures, tone, reflexes, and degree of awareness, EEG/aEEG- Keep an eye out for seizures in brain activity. Imaging- Initial screening with cranial ultrasonography, Brain MRI to find patterns to brain damage (best at 5-7 days).

Keywords

Understanding Neonatal Encephalopathy, Causes Symptoms, neurological function

Introduction

Neonatal encephalopathy (NE) is a term that describes a spectrum of neurological conditions in newborns, characterized by a decrease in neurological function due to various underlying causes. This condition is primarily recognized in the first few days of life and can lead to significant long-term consequences, including cognitive and motor impairments. Understanding NE is essential for timely intervention and improved outcomes for affected infants.While the most common cause is hypoxic-ischemic encephalopathy (HIE)—resulting from oxygen deprivation or reduced blood flow to the brain—NE may also arise from infections, metabolic disorders, trauma, or genetic conditions.

The severity of NE can vary, ranging from mild and transient symptoms to severe outcomes such as developmental delays, cerebral palsy, or death. Diagnosis often involves clinical assessment, neuroimaging, and EEG, with treatment tailored to the underlying cause, including supportive care and interventions like therapeutic hypothermia for HIE.

  1. History of disease-

Ancient times- Physician like Hippocrates and Galen made early references to newborns with poor outcomes with difficult deliveries. They observed symptoms like lethargy, abnormal cries, and convulsions, which likely correspond to what we now call  neonatal encelopathy.  These conditions were attributed  to humoral imbalances or birthing difficulties, with little understanding of the role of oxygen deprivation or brain injury. Medieval and Renaissance- Newborn deaths or neurological impairements  were often seen as acts of fate or divine will. Limited knowledge about childbirth complications and neonatal care hindered progress 19th century: The Birth of Neonatal Medicine –     During the 1800s, obstetrics became  a more formalized field, and complications during labour were increasingly linked to poor neonatal outcomes. Physicians began recognizing the effects of prolonged labour and mechanical trauma on newborns. Terms like “birth asphyxia” began to emerge, describing infants who failed to breathe immediately after birth. 20th  century : Emergence of Neonatal Encelopathy - Advance in the Neonatal care (Early 1900s)    The inventions of devices like forceps for assisted deliveries aimed to reduce trauma but occasionally  caused unintended brain injury, Studies started  connecting birth asphyxia to long term conditions like cerebral palsy. Hypoxia- Ischemia Recognized (Mid 1900s): In the 1950s and 1960s, researchers identified the brains vulnerability to oxygen deprivation during childbirth.  This period marked the early understanding of  Hypoxic-ischemic Encelopathy (HIE) as a major cause of NE. The development of foetal monitoring techniques (e.g. foetal heart rate monitoring)   highlighted the role of intrapartum events in brain injuries. Neuroimaging and EEG (1970s-1980s): The introduction and technologies like computed tomography (CT), magnetic resonance imaging    (MRI), and electroencephalography (EEG), allowed doctors to visualize brain injuries and measure  electrical activity in newborns. Researchers developed systems, such as sarnat staging system   (1976), to classify the severity of encephalopathy. Therapeutic hypothermia (Late 1990): Studies demonstrated  that cooling a newborn’s brain could reduce the extent of brain damage after hypoxic events. The discovery revolutionized the treatment of NE, particularly in case of HIE. 21st century: Modern understanding : NE is recognized as a syndrome caused by a variety of factors beyond hypoxia, including infections, metabolic conditions, and genetic abnormalities. Precision Medicine: Advantages in genetics and molecular biology have improved the diagnosis of rare  metabolic and genetic cause of NE.

Key Historical Milestones:  1960s-1970sRecognition of perinatal asphyxia as a major contributor to neonatal brain injury, 1976Introduction of the slant staging system for assessing Hypoxic-ischemic encephalopathy, 1990s: Implementation of therapeutic hypothermia  as a standard element, 2000s-present: Expansion of understanding to include other causes (e.g., infections, genetic condition) and the use of advanced neuroimaging  and biomarkers.             

  1.   Symptoms of Neonatal Encelopathy :

The clinical presentation of NE can the condition. Common symptoms  may include:

Altered level of consciousnessInfants may exhibit lethargy, poor feeding or conversely, excessive irritability. Abnormal muscle tone: This can present as either hypotonia (decreased muscle tone) or hypertonia (increased muscle tone), affecting the infant’s ability to move normally. Seizures:  Seizures may occur in some cases, manifesting as twitching, jerking movements, or abnormal posturing. Feeding difficulties:  Poor feeding can result from diminished alertness or abnormal swallowing reflexes. Difficulty breathing : Observed in more severe cases, especially  when associated with other underlying conditions. Early identification of these symptoms is critical, as timely medical intervention can significantly influence outcomes  

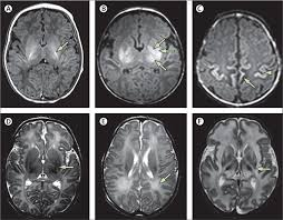
Fig. No.- 1  Brain injury (Hypoxia ischemia)

4.Diagnosis:

Diagnosing Neonatal Encelopathy typically involves a combination of clinical evaluation and diagnostic testing. Clinicians may perform , Clinical Diagnosis: History taking- Maternal history Infections (e.g.chorioamnionitis, TORCH infections). Complications during pregnancy (e.g.,preeclampsia, diabetes, placental abruption), Prolonged rupture of membranes. Perinatal history Apgar scores at 1, 5, and 10 minutes , Need for resuscitation at birth (e.g. intubation, chest compression). Foetal heart rate abnormalities  during labour . Neurological Examination: Level of consciousness (alertness, lethargy, stupor or coma). Muscle tone (hypotonia or hypertonia), Reflexes (e.g. sucking, Moro, and grasp reflexes), Seizures (subtle, clonic , tonic, or myoclonic movements).

Abnormal respiratory patterns. Investigations,  Neuroimaging: Cranial ultrasound  Useful for detecting intraventricular hemmorrhage or gross structural abnormailities. )Magnetic resonance imaging (MRI): Preffered for assessing the extent of brain injury, Diffusion-weighted imaging helps identify areas of acute hypoxic-ischemic injury, Computed tomography (CT): Limited use due to radiation exposure but may be used for hemorrhagic lesions. Electroencelography (EEG): Monitors brain activity and detect seizures or abnormal patterns, Amplitude-integrated EEG (aEEG) can provide continuous monitoring in NICUs. Echocardiography: Assesses cardiac function, which may be impaired in severe hypoxic-ischemic cases.     

4.1 Supportive Diagnostic criteria:           

Sarnat and Sarnat staging  (for Hypoxic-Ischemic Encelopathy-HIE): Stage I (Mild): Hyperalertness, irritability, and mild hypotonia, normal EEG, Stage II (Moderate): Lethargy, Hypotonia, siezures, abnormal EEG, Stage III (Severe): Stupor/coma, flaccid tone, absent reflexes, severly abnormal EEG. Modified {Appearance, Pulse, Grimace, Activity and Respiration (APGAR)} score, Correlates with severity and likelihood of NE,  if the score remains slow despite resuscitation.  Management of Neonatal Encelopathy: The main goals of managing newborn Encelopathy (NE) are to cure the underlying causes, provide supportive care, and stop more brain damage. Hypoxic Ischemic Encelopathy (HIE) which is brought on by a reduction in blood or oxygen supply to the brain after birth, is frequently linked to NE.    

    1. An organized Method for treating new born Encelopathy is provided below:

Supportive care: Assistance with Respiration  Ensure proper ventilation and oxygenation, Blood gases and oxygen saturation (SpO2) are continuously monitored, As required, administer more oxygen or ventilation (invasive or non-invasive). Support for the heart- Keep an eye on and maintain perfusion and blood pressure, To prevent fluid excess, use fluids sparingly, If necessary, give vasopressors (such as dopamine or dobutamine) to treat hypotension. Control of Temperature- Steer clear of hyperthermia since it can worsen brain damage. Keep your core temperature at a reasonable level (neutral thermal environment). Metabolic support & nutrition- First, administer parenteral nourishment, To avoid hypoglycemia or hyperglycemia, keep an eye on and control blood glucose level, Address electrolyte abnormalities, (such as calcium and sodium). Seizure management- Neonates with encelopathy are at risk for seizures, Monitor for clinical and sub-clinical seizures using amplitude-integrated EEG (aEEG) or continuous EEG, Treat seizures with antiepileptic drugs (e.g. phenobarbital, levetiracetam).

Fig. NO.- 2  Brain  Seizure

Therapeutic Hypothermia (Cooling Therapy):The usual treatment for moderate to severe newborn Encelopathy  bought on by  hypoxic-ischemic damage is therapeutic hypothermia. Recommended for infants who are term or near-term (>36 weeks) and exhibit moderate to severe Encelopathy and perinatal asphyxia, To achieve the best neuroprotection, cooling must begin within six hours of delivery. Two Approaches- Head cooling that is selective (helmet based cooling).  Identification and management of underlying causes- Infections: Treat with empiric antibiotics (e.g. ampicillin, gentamicin) if sepsis is suspected. Metabolic disorders: Screen and correct metabolic disturbances, Congenital anomalies: Evaluate structural abnormalities of the brain via imaging   (e.g. MRI). Monitoring and Imaging - Neurological Examination Evaluate seizures, tone, reflexes,  and degree of awareness, EEG/aEEG- Keep an eye out for seizures in brain activity. Imaging- Initial screening with cranial ultrasonography, Brain MRI to find patterns  to brain damage (best at 5-7 days).

  1. CONCLUSION

Because it can both have short-long term effects, Neonatal Encelopathy (NE) is a serious clinical illness that possess a substantial challenge  in  neonatal care. Although it has several different causes, the most prevalent  one is Hypoxic ischemic encelopathy (HIE). To reduce neurological damage and enhance results, the problem need to be identified quickly and managed thoroughly. The ability to lessen brain damage in afflicted neonates has greatly improved because to development in diagnostic techniques like neuroimaging and electroencephalography as well as therapeutic measures like therapeutic hypothermia. Disparities in care still exist, nevertheless especially in low-resource environments where access to specialized  newborn is still restricted.  The severity of the illness, the underlying etiology, and the time and caliber of therapies all affect the long-term prognosis of newborn encelopathy. Optimizing neurodevelopmental outcomes requires early therapy interventions and multi-disciplinary follow up.

REFERENCES

  1. Lagace, Micheline, et al. “Automated assessment of EEG background for neurodevelopmental prediction in neonatal encelopathy”. Annals of clinical and Translational Neurology” (2024).
  2. Parobek, C.M, Zemet ,R ., Shanshan, M.A , Burnett, B.A  Mizerik , E , Rosenfield, J. A…. & Lalani , SR. (2024). Clinical exome sequencing uncovers genetic disorders in neonates with suspected hypoxic-ischemic encelopathy: A rertorespective analysis. Clinical genetics.
  3. Lynn Bitar , Barbara S. Stonestreet , YowPin Lim , Joseph Qiu , (2024) June, Department of Pediatrics, Association between decreased cord blood inter-alpha inhibitor levels and neonatal encephalopathy at birth. Reduced levels are found in inflammatory related conditions including sepsis and necrotizing enterocolitis, and in neonatal rodents after exposure to hypoxia ischemia.
  4. Janet S. Soul,  Zachary A. Vesoulis &  Donna M. Ferriero , (2024) Pediatric Research The importance of not increasing confusion around neonatal encephalopathy and hypoxic-ischemic encephalopathy.  In this issue Quirke and colleagues argue that consistent outcome measures in studies of NE will help to improve the utility of future trials.3 However, referring to these as outcomes of NE is confusing and very misleading.
  5. Ozgea. Koro?lu , Mahir Tanr?verdi , Mehmet Yalaz , Demet Terek , Gül Aktan , Mete Akisu , Nilgün Kültürsay, Seizure: European Journal of Epilepsy . March 2024.  The net impact of clinical seizures on outcome characteristics in infants with neonatal encephalopathies at 12 months of age.
  6. Rong Zhang, Jingjing Xie, Xiao Yuan, Yan Yu, Yan Zhuang, Fan Zhang, Jianfei Hou, Yanqin Liu  , Journal matrix. 18 January 2024 Newly discovered variants in unexplained neonatal encephalopathy. The genetic background of neonatal encephalopathy (NE) is complicated and early diagnosis is beneficial to optimizing therapeutic strategy for patients.
  7. Marie-Coralie Cornet,  Hannah Glass,   Jessica Wisnowski, Amit Mathur.  Paediatric Research. (2024). Perinatal arterial ischemic stroke diagnosed in infants receiving therapeutic hypothermia for hypoxic-ischemic encephalopathy. We hypothesized that among infants undergoing therapeutic hypothermia, presence of PAIS is associated with a higher risk of seizures and a lower risk of persistent encephalopathy after rewarming.
  8. Vanda McNiven?  Diane Wilson ? Andreas Schulze ? Vann Chau ? Saadet Andrews   Department of Biochemistry, University of Toronto, Toronto, Canada.. (2024). P290: Neonatal encephalopathy: Identification of underlying genetic causes.  Next-generation sequencing plays a crucial role in the diagnostic assessment of term newborns with neonatal encephalopathy within the neonatal intensive care unit (NICU).
  9. Fulton, Talie; Keene, Maire; Mathur, Amit?; Morrissey, Michael J.; Tomko, Stuart R.; Vesoulis, Zachary A.; Zempel, John M.; Ching, ShiNung; Guerriero, Réjean M.  Journal of clinical neuro-physiology. Macroperiodic Oscillations: A Potential Novel Biomarker of Outcome in Neonatal Encephalopathy.  We evaluated a novel EEG biomarker, macroperiodic oscillations (MOs), to predict neurodevelopmental outcomes.
  10. Petr Shabanov1, Aleksandr Samorodov2,*, Natalya Urakova3,4, Evgeny Fisher4, Albina Shchemeleva , Department of Psychopharmacology, 4th February 2024 Low Fetal Resistance to Hypoxia as a Cause of Stillbirth and Neonatal Encephalopathy. The monitoring of fetal movements during apnea in pregnant women allows real-time assessment of fetal resistance to intrauterine hypoxia. Obtaining timely information on fetal resistance to hypoxia is critical for determining the optimal timing and type of delivery in order to prevent encephalopathy and stillbirth.
  11. Hemmen Sabir,  Simon A. Jones,   Chris Gale & Ela Chakkarapani, Paediatric Research. (2024) Risk factors for infection and outcomes in infants with neonatal encephalopathy: a cohort study. To determine the association between early infection risk factors and short-term outcomes in infants with neonatal encephalopathy following perinatal asphyxia (NE).
  12. Srinivas Kota,   Shu Kang,   Yu-Lun Liu,  Hanli Liu,   Saeed Montazeri,   Sampsa Vanhatalo, Paediatric Research, 22 July 2024. Prognostic value of quantitative EEG in early hours of life for neonatal encephalopathy and neurodevelopmental outcomes. The objective of this study was to assess a novel brain state of newborn (BSN) trend to distinguish newborns with presence of hypoxic ischemic encephalopathy (HIE) within hours after birth and predict neurodevelopmental outcomes at 2 years of age.
  13. Matthew J. Parkes,  Farhana Tabassum,   Karen Walker,  James W. H. Webbe &  Fiona A. Quirke .  Paediatric Research.  09 Jan 2024. Optimising research for neonates with encephalopathy: the role of core outcome sets. potential interventions needing to be administered early, confirming the aetiology with certainty at the point of trial entry is often impractical. Thus, we consider that using an overarching term, with the potential for subsequent sub-classification based on additional data, is not mutually exclusive.
  14. Matthew A. Shanahan, Brian A. Burnett, Elizabeth Mizerik, Jill A. Rosenfeld, Liesbeth Vossaert, Steven L. Clark, Jill V. Hunter, Seema R. Lalani , Department of Psychopharmacology.. 28 March 2024. Clinical exome sequencing uncovers genetic disorders in neonates with suspected hypoxic–ischemic encephalopathy: A retrospective analysis. Genetic diagnoses were identified among neonates with and without sentinel labor events, abnormal umbilical cord gasses, and low Apgar scores. These results suggest that genetic evaluation is clinically relevant for patients with perinatal HIE.
  15. Matthew A. Shanahan, Brian A. Burnett, Elizabeth Mizerik, Jill A. Rosenfeld, Liesbeth Vossaert. Department of Psychopharmacology. Clinical exome sequencing uncovers genetic disorders in neonates with suspected hypoxic–ischemic encephalopathy: A retrospective analysis. Two additional neonates had variants in genes not previously associated with encephalopathy, including DUOX2 and PTPN11. Of the six neonates with a molecular diagnosis, two had isolated HIE without apparent comorbidities to suggest a genetic disorder.
  16. Lo, E., Cizmeci, M. N., Wilson, D., Ly, L. G., El-Shahed, A., Offringa, M., ... & Kalish, B. T. (2024). Remote ischemic post-conditioning for neonatal encephalopathy: a safety and feasibility trial. Pediatric Research.
  17. Pang, Raymand, et al. "Melatonin reduces brain injury following inflammation?amplified hypoxiaischemia in a translational newborn piglet study of neonatal encephalopathy." Journal of pineal research 76.4 (2024).

Reference

  1. Lagace, Micheline, et al. “Automated assessment of EEG background for neurodevelopmental prediction in neonatal encelopathy”. Annals of clinical and Translational Neurology” (2024).
  2. Parobek, C.M, Zemet ,R ., Shanshan, M.A , Burnett, B.A  Mizerik , E , Rosenfield, J. A…. & Lalani , SR. (2024). Clinical exome sequencing uncovers genetic disorders in neonates with suspected hypoxic-ischemic encelopathy: A rertorespective analysis. Clinical genetics.
  3. Lynn Bitar , Barbara S. Stonestreet , YowPin Lim , Joseph Qiu , (2024) June, Department of Pediatrics, Association between decreased cord blood inter-alpha inhibitor levels and neonatal encephalopathy at birth. Reduced levels are found in inflammatory related conditions including sepsis and necrotizing enterocolitis, and in neonatal rodents after exposure to hypoxia ischemia.
  4. Janet S. Soul,  Zachary A. Vesoulis &  Donna M. Ferriero , (2024) Pediatric Research The importance of not increasing confusion around neonatal encephalopathy and hypoxic-ischemic encephalopathy.  In this issue Quirke and colleagues argue that consistent outcome measures in studies of NE will help to improve the utility of future trials.3 However, referring to these as outcomes of NE is confusing and very misleading.
  5. Ozgea. Koro?lu , Mahir Tanr?verdi , Mehmet Yalaz , Demet Terek , Gül Aktan , Mete Akisu , Nilgün Kültürsay, Seizure: European Journal of Epilepsy . March 2024.  The net impact of clinical seizures on outcome characteristics in infants with neonatal encephalopathies at 12 months of age.
  6. Rong Zhang, Jingjing Xie, Xiao Yuan, Yan Yu, Yan Zhuang, Fan Zhang, Jianfei Hou, Yanqin Liu  , Journal matrix. 18 January 2024 Newly discovered variants in unexplained neonatal encephalopathy. The genetic background of neonatal encephalopathy (NE) is complicated and early diagnosis is beneficial to optimizing therapeutic strategy for patients.
  7. Marie-Coralie Cornet,  Hannah Glass,   Jessica Wisnowski, Amit Mathur.  Paediatric Research. (2024). Perinatal arterial ischemic stroke diagnosed in infants receiving therapeutic hypothermia for hypoxic-ischemic encephalopathy. We hypothesized that among infants undergoing therapeutic hypothermia, presence of PAIS is associated with a higher risk of seizures and a lower risk of persistent encephalopathy after rewarming.
  8. Vanda McNiven?  Diane Wilson ? Andreas Schulze ? Vann Chau ? Saadet Andrews   Department of Biochemistry, University of Toronto, Toronto, Canada.. (2024). P290: Neonatal encephalopathy: Identification of underlying genetic causes.  Next-generation sequencing plays a crucial role in the diagnostic assessment of term newborns with neonatal encephalopathy within the neonatal intensive care unit (NICU).
  9. Fulton, Talie; Keene, Maire; Mathur, Amit?; Morrissey, Michael J.; Tomko, Stuart R.; Vesoulis, Zachary A.; Zempel, John M.; Ching, ShiNung; Guerriero, Réjean M.  Journal of clinical neuro-physiology. Macroperiodic Oscillations: A Potential Novel Biomarker of Outcome in Neonatal Encephalopathy.  We evaluated a novel EEG biomarker, macroperiodic oscillations (MOs), to predict neurodevelopmental outcomes.
  10. Petr Shabanov1, Aleksandr Samorodov2,*, Natalya Urakova3,4, Evgeny Fisher4, Albina Shchemeleva , Department of Psychopharmacology, 4th February 2024 Low Fetal Resistance to Hypoxia as a Cause of Stillbirth and Neonatal Encephalopathy. The monitoring of fetal movements during apnea in pregnant women allows real-time assessment of fetal resistance to intrauterine hypoxia. Obtaining timely information on fetal resistance to hypoxia is critical for determining the optimal timing and type of delivery in order to prevent encephalopathy and stillbirth.
  11. Hemmen Sabir,  Simon A. Jones,   Chris Gale & Ela Chakkarapani, Paediatric Research. (2024) Risk factors for infection and outcomes in infants with neonatal encephalopathy: a cohort study. To determine the association between early infection risk factors and short-term outcomes in infants with neonatal encephalopathy following perinatal asphyxia (NE).
  12. Srinivas Kota,   Shu Kang,   Yu-Lun Liu,  Hanli Liu,   Saeed Montazeri,   Sampsa Vanhatalo, Paediatric Research, 22 July 2024. Prognostic value of quantitative EEG in early hours of life for neonatal encephalopathy and neurodevelopmental outcomes. The objective of this study was to assess a novel brain state of newborn (BSN) trend to distinguish newborns with presence of hypoxic ischemic encephalopathy (HIE) within hours after birth and predict neurodevelopmental outcomes at 2 years of age.
  13. Matthew J. Parkes,  Farhana Tabassum,   Karen Walker,  James W. H. Webbe &  Fiona A. Quirke .  Paediatric Research.  09 Jan 2024. Optimising research for neonates with encephalopathy: the role of core outcome sets. potential interventions needing to be administered early, confirming the aetiology with certainty at the point of trial entry is often impractical. Thus, we consider that using an overarching term, with the potential for subsequent sub-classification based on additional data, is not mutually exclusive.
  14. Matthew A. Shanahan, Brian A. Burnett, Elizabeth Mizerik, Jill A. Rosenfeld, Liesbeth Vossaert, Steven L. Clark, Jill V. Hunter, Seema R. Lalani , Department of Psychopharmacology.. 28 March 2024. Clinical exome sequencing uncovers genetic disorders in neonates with suspected hypoxic–ischemic encephalopathy: A retrospective analysis. Genetic diagnoses were identified among neonates with and without sentinel labor events, abnormal umbilical cord gasses, and low Apgar scores. These results suggest that genetic evaluation is clinically relevant for patients with perinatal HIE.
  15. Matthew A. Shanahan, Brian A. Burnett, Elizabeth Mizerik, Jill A. Rosenfeld, Liesbeth Vossaert. Department of Psychopharmacology. Clinical exome sequencing uncovers genetic disorders in neonates with suspected hypoxic–ischemic encephalopathy: A retrospective analysis. Two additional neonates had variants in genes not previously associated with encephalopathy, including DUOX2 and PTPN11. Of the six neonates with a molecular diagnosis, two had isolated HIE without apparent comorbidities to suggest a genetic disorder.
  16. Lo, E., Cizmeci, M. N., Wilson, D., Ly, L. G., El-Shahed, A., Offringa, M., ... & Kalish, B. T. (2024). Remote ischemic post-conditioning for neonatal encephalopathy: a safety and feasibility trial. Pediatric Research.
  17. Pang, Raymand, et al. "Melatonin reduces brain injury following inflammation?amplified hypoxiaischemia in a translational newborn piglet study of neonatal encephalopathy." Journal of pineal research 76.4 (2024).

Photo
Dewanjali Rathore
Corresponding author

Rungta institute of pharmaceutical sciences

Photo
Aryan Sahu
Co-author

Rungta institute of pharmaceutical sciences

Photo
Shubham Deshmukh
Co-author

Rungta institute of pharmaceutical sciences

Photo
Vivek sahu
Co-author

Rungta institute of pharmaceutical sciences

Photo
Aditya kumar
Co-author

Rungta institute of pharmaceutical sciences

Photo
Prince Suryavanshi
Co-author

Rungta institute of pharmaceutical sciences

Dewanjali Rathore*, Aryan Sahu, Shubham Deshmukh, Vivek sahu, Aditya kumar, Prince Suryavanshi, Understanding Neonatal Encephalopathy: Causes Symptoms, and Management, Int. J. of Pharm. Sci., 2025, Vol 3, Issue 6, 1064-1070. https://doi.org/10.5281/zenodo.15605425

More related articles
Design and Evaluation of Nanotechnology Approaches...
Omprakash Swami, Samruddhi Patil, Mohd. Zubair Arshad, Rashmi Kum...
A Comparative Study Of Drug Master File Regulation...
Jenilkumar J. Diyora, Vinit Movaliya, Maitreyi Zaveri, ...
Dinacharya Practices for Mental Health and Stress ...
Dr. Swati Katyayen, Dr. Sudesh Kumar Bhambu, ...
Myositis: A Comprehensive Review of Pathogenesis, Diagnosis, And Treatment...
Nandrekar A. N., Patil Y. N. , Palake G. J. , Patil S. K., Jadhav V. S., Nalavade P. A., M. S. Patil...
Synthesis and in vitro Evaluation of Novel Thiophene Derivatives...
Aditi Rajendra Late , Kadam Vaibhav N., Dr. Rahane Rahulkumar D., ...
Formulation and Evaluation of a Single-Layer Herbal Soap: Harnessing Nature for ...
Vishakha Nagare, Pratiksha Marathe, Aniket Vinchu, Amol Pawar, Dr. Avinash Darekar , ...
Related Articles
Formulation and Evaluation of Fermented Rice Water-Based Herbal Hair Serum for H...
Praveen Sahu, Suryakant Jaiswal, Twinkle Goyal, Poorwi Sahu, Riya Dewangan, Hema Rajwade, Dr. Gyanes...
Richardson’s Syndrome: A Review of the Current Understanding of Progressive S...
Jaysing Patil , Chopade Babasaheb, Dr. Salve Megha, ...
Design and Evaluation of Nanotechnology Approaches for Kidney Stone Management...
Omprakash Swami, Samruddhi Patil, Mohd. Zubair Arshad, Rashmi Kumari, Hemant Chaudhari, Divya Shikha...
More related articles
Design and Evaluation of Nanotechnology Approaches for Kidney Stone Management...
Omprakash Swami, Samruddhi Patil, Mohd. Zubair Arshad, Rashmi Kumari, Hemant Chaudhari, Divya Shikha...
A Comparative Study Of Drug Master File Regulation In Brazil, Malaysia And Russi...
Jenilkumar J. Diyora, Vinit Movaliya, Maitreyi Zaveri, ...
Dinacharya Practices for Mental Health and Stress Management...
Dr. Swati Katyayen, Dr. Sudesh Kumar Bhambu, ...
Design and Evaluation of Nanotechnology Approaches for Kidney Stone Management...
Omprakash Swami, Samruddhi Patil, Mohd. Zubair Arshad, Rashmi Kumari, Hemant Chaudhari, Divya Shikha...
A Comparative Study Of Drug Master File Regulation In Brazil, Malaysia And Russi...
Jenilkumar J. Diyora, Vinit Movaliya, Maitreyi Zaveri, ...
Dinacharya Practices for Mental Health and Stress Management...
Dr. Swati Katyayen, Dr. Sudesh Kumar Bhambu, ...