View Article

  • Development Of Superporous Hydrogel in Drug Delivery System

  • Department of pharmaceutics School of Pharmacy, ITM University, Turari, Gwalior - 474011, Madhya Pradesh, India

Abstract

Recently superporous hydrogel (SPHs)have been developed as a new kind of novel drug delivery system because of their unique structure and improved properties. suoerporous hydro-gel consist of highly interlinked, macropores network, facilitating the fast swelling and uptake of significant quantities of of water to create suitable for application product.due to rapid swelling behaviour along with high drug loading capacity and controlled release nature, SPHs are a potential candidate for oral, transdermal and local drug delivery system. Superporous hydrogels (SPHs) are a class of hydrophilic substance characterized by their highly interconnected, macro porous structure, enabling rapid water absorption and retention. These hydrogels are synthesized through various techniques such as polymerization, foaming, or gas-foaming methods, which create a porous network that enhances their mechanical strength and swelling properties. SPHs provide notable advantages in applications like medication delivery, wound healing, tissue development, and wastewater treatment because of their special structure. The balance between the network density and the existence of large pores is responsible for their capacity to quickly absorb significant volumes of water while retaining structural integrity under stress. This review includes hydrogel, super porous hydrogel, advantages disadvantages, classification, different generations and method and synthesis characterization, application of SPHs.

Keywords

Hydrogel, superporous hydrogel, drug delivery system, conventional superporous hydrogel, Cross-linked polymer.

Introduction

Cross-linked polymers, known as hydrogel, have the capacity to absorb huge quantities of water in three- dimensional networks. Although they do not dissolve in water, they can swell in it. Hydrogel is a hydrophilic polymer group. The network flexibility, cross-link density, hydrophilic groups, and porosity are the main factors that affect how hydrogels swell. Despite the fact that numerous stimulus-responsive hydrogels have been documented, their usefulness has frequently been constrained by their sluggish reaction to external stimuli. However, a fast-swelling polymer is more helpful in many circumstances. As a result, a new class of hydrogels has been developed that has the ability to absorb water and rapidly grow. Superporous hydrogels (SPHs), which quickly attain their equilibrium size, are an example of this new generation. SPH is a novel type of gel with a three-dimensional network of pores larger than 100 μm to 1 mm that are joined to create a channel. Because of their interconnecting microscopic pores, the SPHs are extremely sensitive to water and quickly inflate to their equilibrium size. A hydrogel is a biphasic substance that contains at least 10% water or another interstitial fluid mixed with porous and permeable particles. The solid phase, which has absorbed a significant amount of water or biological fluids, is a three-dimensional network of polymers that are insoluble in water. Hydrogel dressing is one of the many uses for hydrogels, particularly in the biomedical field. Some hydrogels are made from natural materials, but most are synthetic. In 1894, the term "hydrogel" was first used. Hydrogels are three-dimensional networks made of hydrophobic polymers that are produced by crosslinking water-soluble polymers. Without altering their initial structure, hydrogels can retain a large amount of water in their network. This is what makes the hydrogel structures flexible and able to swell. Hydrogels are appropriate for a variety of fascinating applications because of these properties as well as the polar functional groups they contain, such as amines, amides, carboxylic acid, hydroxyl, and sulphonic acid. These factors, which increase hydrogels' ability to swell, include temperature, pH, electric field, and ionic strength.

Advantage of hydrogel:

  • Because of their high water content, hydrogel has a degree of flexibility that is quite close to that of genuine tissue.
  • Hydrogels are biocompatible and biodegradable.
  • They also have strong transport qualities.
  • Hydrogel is injectable,
  • And they are simple to modify

Disadvantage of hydrogel:

  • Hydrogels are costly.
  • They can be challenging to handle, and their mechanical strength is weak.
  • They are difficult to load.
  • It makes it difficult to sterilize them.

Classification of hydrogels:

Hydro gels are classified as follows they are :

  • Super porous hydro gels
  • Complexation hydro gels
  • Stimuli responsive hydro gels
  • pH responsive hydro gels
  • Temperature hydro gels
  • Glucose responsive hydro gels
  • Protein based hydro gels.

Hydrogel technical features:

The functional features of an ideal hydrogel material can be listed as follows

  • The maximum ability of absorption in saline.
  • The Desired rate of absorption depending on application requirement.
  • The maximum absorbency
  • The least amount of residual monomer and soluble content.
  • They are reasonably priced.
  • The best stability and durability in swollen conditions and while being stored.
  • The maximum biodegradability without the production of toxic species after decomposition.
  • pH-neutrality following water swelling.
  • Completely non-toxic, colorless, and odorless.
  • Stability of the photo.

Application of Hydrogel:

SUPERPOROUS

SUPERPOROUS HYDROGEL

A superporous hydrogel (SPH) is a three-dimensional network of hydrophilic polymers that, because of their interconnecting tiny pores, absorb a lot of water in a short amount of time. These extremely swollen hydrogels stay in the stomach for a long time when used as drug carriers, releasing nearly all of the loaded medications.

They can be utilized as gastric retention carriers because of their special ability to swell, which gives them a prolonged release during the course of their lengthy stomach residence. In addition to rapid swelling, hydrogels must have the following qualities in order to be employed as an efficient gastric retention device: biocompatibility, biodegradability, high swelling capacity, high mechanical strength, and stability in acidic environments. A unique class of hydrogels called superporous hydrogels (SPHs) is distinguished by its extremely porous structure and quick swelling action. SPHs are perfect for fast-acting applications because, in contrast to traditional hydrogels, their interconnected pores enable them to absorb water nearly instantly—within seconds. The diameter of these pores usually varies from 100 micrometers to several millimeters. SPHs are frequently created by gas-blowing or phase separation methods, and in order to create their porous structure, they frequently include crosslinking and foaming chemicals. Their high porosity improves drug loading efficiency, nutrient transport, cell adhesion, and water absorption. They are widely used in biomedical domains such tissue engineering, wound dressings, and medication delivery. Because of their large surface area and sensitivity to temperature and pH changes, they can, for instance, release pharmaceuticals in a regulated manner in medication delivery. SPHs can operate as expandable drug carriers or provide satiety in gastrointestinal applications because of their quick swelling.

The key chracteristics of SPHs are:

  • Rapid Swelling: SPHs can absorb large volumes of water swiftly due to their porous structure, allowing them to swell to their equilibrium size in a short period.
  • High Porosity: The interconnected pore network provides a high surface area and short diffusion paths, facilitating quick water absorption.
  • Mechanical Strength: Despite their high porosity, SPHs can be engineered to possess adequate mechanical strength, enabling them to maintain integrity in harsh environments, such as the acidic conditions of the stomach.

Superporous hydrogel

Advantages of superporous hydrogels:

  • Rapid Swelling and High Porosity: Because of their porous structure, SPHs may quickly absorb huge amount of water and inflate to their equilibrium size. The interconnected pore network provides a high surface area and short diffusion paths, facilitating quick water absorption.
  • Mechanical Strength and Elasticity: Despite their high porosity, SPHs can be engineered to possess adequate mechanical strength, enabling them to maintain integrity in harsh environments, such as the acidic conditions of the stomach. Their elasticity minimizes the risk of rupture during swelling.
  • Controlled Drug Release: SPHs can be designed to release encapsulated drugs in a controlled manner, enhancing bioavailability and therapeutic efficacy. This controlled release is particularly beneficial for drugs with absorption windows in the stomach and upper parts of the gastrointestinal tract.
  • Versatility in Drug Delivery: SPHs can be tailored to encapsulate a wide range of pharmaceutical agents, including those with poor aqueous solubility. For instance, SPHs based on chitosan/polyvinyl alcohol blends have been developed as carriers for resveratrol solid dispersion, increasing its solubility and achieving sustained drug release in the stomach.
  • Minimized Mucosal Irritation: The sustained release properties of SPHs help prevent mucosal irritation, a common issue with conventional drug delivery systems.

Disadvantages of Superporous Hydrogels

  • Limited Suitability for Certain Drugs: Drugs that are unstable or insoluble in mucosal fluid cannot be administered via SPH-based gastroretentive drug delivery systems. Additionally, drugs causing gastric irritation are not suitable for this route.
  • Requirement for Fed State: To extend gastric retention time, SPH-based systems often require administration in a fed state, which may not be convenient for all patients.
  • Potential for Dose Dumping: While SPHs are designed for controlled drug release, there is a risk of dose dumping if the hydrogel structure is compromised, leading to the rapid release of the encapsulated drug.
  • First-Pass Metabolism: SPH-based systems are not suitable for drugs that undergo first-pass metabolism, as the drug may be metabolized before reaching systemic circulation.
  • Complex Manufacturing Processes: The preparation of SPHs involves complex manufacturing processes, which may increase production costs and pose challenges in scaling up for commercial production.
  • Potential for Gastrointestinal Distress: In some cases, the rapid swelling of SPHs may lead to gastrointestinal discomfort or bloating, particularly if the hydrogel does not degrade appropriately.
  • Limited Long-Term Stability: The stability of SPHs over extended periods can be a concern, especially when used for prolonged drug delivery applications.

Classification of superporous hydrogel:

  • 1st generation superporous hydrogels
  • 2nd generation superporous hydrogel
  • 3rd generation superporous hydrogel

First generation as conventional super porous hydrogels (CSPHs):

The first generation of SPHs, known as conventional superporous hydrogels (CSPHs), were developed to address the limitations of traditional hydrogels, such as slow swelling rates and low mechanical strength. Chen made superporous hydrogel for the first time in 2000. Other vinyl monomers are usually polymerized and cross-linked with a foaming agent, foam stabilizer, and foaming assist to create these hydrogels. Wetting chemicals are added to increase the rate of water absorption, which enables CSPHs to inflate quickly when they come into contact with watery solutions. Because of their special capacity to swell, CSPHs can be utilized as gastric retention carriers, offering delayed release by remaining in the stomach for an extended period of time.

Second Generation: Superporous Hydrogel Composites (SPHCs):

To overcome the mechanical limitations of CSPHs, the second generation, known as superporous hydrogel composites (SPHCs), was developed. SPHCs are synthesized by incorporating reinforcing agents, such as natural or synthetic fibers, into the hydrogel matrix. This reinforcement enhances the mechanical strength and elasticity of the hydrogels, making them more suitable for applications requiring structural integrity under stress. The incorporation of reinforcing agents also allows for the tailoring of the hydrogel's properties to meet specific application requirements.

Third Generation: Superporous Hydrogel Hybrids (SPHHs):

The third generation, superporous hydrogel hybrids (SPHHs), represents a further advancement by combining two or more different types of hydrogels or incorporating other materials to form interpenetrating polymer networks (IPNs). Hydrogels with greater mechanical strength, flexibility, and reactivity to environmental stimuli are the end consequence of this hybridization. Because SPHHs are made to react to particular physiological parameters, such pH, temperature, or ionic strength, they allow for focused therapy and regulated drug release. The creation of SPHHs has increased the range of possible uses for superporous hydrogels in areas such as wound healing, tissue engineering, and medication administration.

GENERAL FEATURES OF VARIOUS SPHs GENERATION ARE LISTED IN TABLE 1

Formulation

                  CSPH

                          SPHC

               SPHH

Swelling capacity

100-300 g g-1

100-300 g g-1

Up to about 50 g

g-1

Swelling rate

5-30 s

5-30 s

5s to a few min

Mechanical properties

No mechanical strength

Resists up to 2 N cm2

Resists     up     to     20- 100Ncm-2

Treating agent

No

No

Iron,                calcium,

aluminium, phosphate, copper

Physical     appearance in dried state

Completely transparent

Not completely transparent

Non-sticky and creamish

Dehydration

Alcohol

Alcohol

Alcohol

 

THE DEVELOPMENT OF DIFFERENT TYPE OF DRUG LOADED SUPERPOROUS HYDROGEL TABLE:2

Formulation

Drug

Conclusion

reference

Superporous hydrogel

Fluvastatin

An antihyperlipidemic drug called fluvastatin severely inhibits the liver's hydroxymethyl-glutaryl coenzyme A reductase enzyme. It was discovered that the fluvastatin loaded superporous hydrogel formulation was highly successful in enhancing the drug's           biological activity.

PrasannaKumar Desu , Venkateswararao Pasam , Vijay Kotra d e Implications of fluvastatin's enhanced biopharmaceutical performance using gastroretentive drug delivery systems based on superporous hydrogel composites June 2020, 101668.

Superporous hydrogel

Atenolol

development of a gastro- retentive dosage form using superporous hydrogel filled with atenolol.

Gopa Roy Biswas, Simran Shaw, Sutapa Biswas Majee
Design and creation of an antihypertensive medication's superporous hydrogel for gastroretentive drug administration 2020; vol.11(9): 4329-4337

Superporous Superporous hydrogel

Resveratrol

In cell    cultures, the resveratrol-loaded hydrogels demonstrated anti-inflammatory and anti-cancer properties, including the ability to repair wounds    at low resveratrol concentrations. These results demonstrated the possible application of SPH-based formulations   for resveratrol delivery targeted at the stomach.

Ousanee      Issarachot Suputra Bunlung Kanidta Ousanee Issarachot , Suputra Bunlung , Kanidta Kaewkroek , Ruedeekorn Wiwattanapatapee Superporous hydrogels made from chitosan and polyvinyl alcohol mixes as a vehicle for improved resveratrol delivery in the stomach January 2023

Superporous hydrogel

Rosiglitagone Maleate

An anti-diabetic medication is

rosiglitazone maleate. It is widely absorbed from the stomach and extremely unstable at basic pH. Consequently, the creation of a gastroretentive system is required. In this study, a superporous hydrogel was developed as a gastroretentive drug delivery system..

n vishal gupta , hg shivakumar

Rosiglitazone maleate preparation and characterisation of superporous hydrogels as a gastroretentive drug delivery system July 18, 2010

 

PREPARATION OF SUPERPOROUS HYDROGEL:

  • To create superporous hydrogel, a hydrophilic polymer was chosen, and the polymers were employed in varying ratios.
  • Superporous hydrogel was prepared using a hydrophilic polymer, and the polymers were employed in varying ratios.
  • Different grades of HPMC (hydroxyl propyl cellulose) were initially dissolved in double-distilled water both by itself and in conjunction with carbopol 971p.
  • More recently, the necessary quantity of the medication, curcumin, was added.
  • A translucent gel formed after the liquid was thickened by stirring it with a magnetic stirrer and then neutralized by adding 50% (w/w) triethanolamine drop by drop.

The amount of triethanolamine was changed to create a gel with the appropriate pH. The gel was allowed to stable at room temperature for a full day.

CHARACTERIZATION OF SUPERPOROUS HYDROGEL:

  1. Measurement of Density

Directly determining the density of SPH was challenging. The solvent displacement method is used to calculate the apparent density. After measuring the mass of SPH, it is put into a graduated cylinder with a measured volume of absolute hexane.

This is how density is computed. MSPH / VSPH = Density where,

MSPH: Mass of SPH VSPH: Volume of SPH

  1. Porosity Measurement

Porosity was measured using the solvent displacement method. After wiping off any excess ethanol from the surface, dehydrated hydrogels were submerged in 100% ethanol for the entire night and weighed. The porosity was calculated using the following formula:

Porosity is equal to (M2-M1/ρV). where V is the hydrogel's volume, ρ is the density of absolute ethanol, and M1 and M2 are the mass of the hydrogel before and after immersion in absolute ethanol, respectively.

3) Measurement of Gelation Kinetics

The viscosity continuously increased as the polymerization reaction went on, forming the entire network                    structure (gel structure). The gelation time, which was determined using a simple tilting method after acetic acid was added to bring the pH down to 5.0, was defined as the amount of time it took for the gel to form after the addition of glyoxal. The amount of time it took for the reactant mixture to become viscous and for the viscous solution to stop descending in the tilted tube position was used to determine it.

4) Swelling Studies

A disc-shaped SPH that had been thoroughly dried and weighed beforehand was submerged in extra swelling medium. After blotting away any extra solution from the hydrogel's surface, it was taken out of the solution and weighed at different intervals. The following formula was used to compute the results:     

Q  = (Ms−Md)/Md

where Ms is the mass in the swollen state, M is the mass in the dried state, and Q is the swelling ratio.

5) Determination of Drug Content

A 100 ml volumetric flask containing a weight of SPH-containing medication was treated with around 10 ml of a pH 1.2 hydrochloric acid solution, thoroughly mixed, and filled to volume. The mixture was filtered, and a UV-VIS spectrophotometer was used to measure the drug content.

6) Mechanical Properties

The compressive strengths of various SPH formulations were measured using a bench comparator. To put it briefly, the fully inflated hydrogel was positioned lengthwise beneath the lower touch of a bench comparator, and then the upper touch was subjected to gradually increasing scale loads until the hydrogel could no longer support any more weight and cracked entirely. The pressure at this site was the penetration pressure (PP), which was calculated using the formula below: PP = Fu/S, where F u is the ultimate compressive force at total polymer fracture and S is the contact area of the lower touch.

7) Morphological Analysis

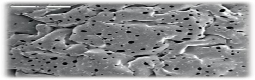
7.1) Scanning electron microscopy

Scanning electron microscopy (SEM) experiments were conducted using the dried SPH to ascertain the dry samples' morphology.

7.2) FT-IR spectroscopy

To determine whether the medication and polymers were compatible, FT-IR spectroscopy was used. The chemical structure of the produced hydrogels was also investigated using it. A Fourier- Transform Infrared (FT-IR) spectrophotometer was used to record the FTIR spectra using the KBr pellet method spanning the 400–4000 cm−1 range [10].

8) Drug Loading

For drug loading, the conventional equilibration approach of soaking was used. The amount of buffer required for full SPH swelling was obtained using this method. After that, a medication solution was made with the precise amount of buffer needed for full swelling. SPH was then submerged in the medication solution and allowed to sit there until the entire solution had been absorbed. After that, the fully enlarged SPH containing the medication was kept overnight at 30°C in an oven.

9) Stability Studies

For three months, the prepared batches are stored in a stability chamber at 40°C/75%RH in airtight containers. The data collected during preparation is compared with the outcomes of in vitro dissolution trials that were conducted three months later.

10) Determination of Void Fraction

Superporous hydrogels were submerged in an HCl solution (pH 1.2) until equilibrium swelling was achieved in order to calculate the void fraction of the hydrogels. The sample volumes were calculated as the dimensional volume using the measurements of the swollen hydrogels. In the meantime, the weight of the dry hydrogel was subtracted from the weight of the expanded hydrogel in order to estimate the amount of buffer absorbed into the hydrogels. The total volume of pores in the hydrogels was then calculated using the results. The formula is used to determine the void fraction.

Dimensional volume of hydrogel =    void fraction

The total volume of pores

11) Evaluation of Degradation Kinetics

By calculating the swelling ratio as a function of water retention, the kinetics of the hydrogel's degradation are investigated. For 12 hours, the hydrogel is kept at 37°C in a pH 1.2 (0.1 M HCl) solution. The samples are weighed every six hours. The formula evaluates water retention capacity (WRt) as a function of time.

WRt = (Wp − Wd|Ws −Wd),

where, Wd is the weight of the dried hydrogel and. Ws, is the hydrogel was completely swollen,

Wp the weight of the hydrogel during various exposure times

12) In vitro Release Studies

The paddle method, which is a component of the United States Pharmacopoeia (USP) Dissolution Test Apparatus Type II, was used to assess the in vitro drug release from the superporous hydrogels. A UV- Vis spectrophotometer was used to check for the presence of the drug after samples of the dissolving medium were taken out at regular intervals and replaced with an equivalent volume of new dissolving fluid.

APPLICATION:

1. Gastroretentive Tablets

Gelatin and tannic acid are combined with superporous hydrogel particles of acrylic acid/sulfopropyl acrylate copolymers, and the mixture is subsequently tableted by direct compression. An integrated matrix that remains stable after swelling is created by the hydrogen

bonding of gelatin with tannic acid and carboxyl groups on the polymeric carrier. Within 40 minutes, a gastroretentive pill can swell up to 22 times its own volume.

2. Fast-Dissolving Tablets

Fast-melting tablets are made by direct compression, sublimation, and freeze-drying. The tablets made using the first two procedures dissolve in 5–15 seconds. In less than ten seconds, tablets made by direct compression with superporous hydrogel microparticles dissolve.

3. Sustained Drug Delivery

The gastroretentive system works best for medications that act locally in the stomach, such as antibiotics and antacids. Drugs having a limited window for absorption, such as levodopa and riboflavin, are becoming more bioavailable with controlled release. These systems are either too big to fit through the pyloric aperture or have a mass density of less than one, which allows them to float on the contents of the stomach. Both superporous hydrogel and composite have ph-dependent swelling capabilities, making them suitable for application as pH-sensitive drug delivery vehicles.

4. Diet Aid

Superporous hydrogels can take up a large amount of stomach space, which reduces the amount of room for food and suppresses hunger. For obese persons, this can aid in weight loss. When using a weight loss assistance, maintaining the volume and integrity of swelling superporous hydrogel is a significant difficulty.

5. Chemoembolization

Chemoembolization is a combination chemotherapy and embolization technique. Embolization is used to treat cancer by limiting the amount of oxygen that growing tumors can receive. Superporous hydrogels can be loaded with an anti-angiogenic and chemotherapeutic chemical for chemoembolization therapy. For this application, the robust Superporous hydrogels make better choices.

6. Site-Specific Drug Delivery

The stomach or the proximal portion of the small intestine is where riboflavin and furosemide are absorbed. To deliver misoprostol locally, a bilayer-floating capsule was created. Drug waste might be decreased and desired therapeutic levels could be reached by focusing on the gradual transport of misoprostol to the stomach. A pH-sensitive polymeric network based on HEMA has been described as a self-regulating insulin delivery device.

7. Peroral Peptide Delivery Systems

It has been studied if conventional superporous hydrogels and composites can be used to deliver peroral peptides. They are made to swell in the intestine by means of superporous hydrogels that physically stick to the gut wall and deliver the contained peptide there.

8. Occlusion Devices for Aneurysum

When it comes to aneurysm treatment It makes use of superporous hydrogels. When smaller hydrogel devices are prepared and applied to the aneurysm site, they rapidly swell to fill the entire gap and create a blood clot. Up to 95% aneurysm closure can be achieved by superporous hydrogel deposition without any indication of parent artery impairment or inflammatory reaction. Hydrocoil is a novel occlusion device made by combining platinum coils with superporous hydrogel.

9. Novel drug delivery

Here, we discovered a platform scaffold technology that will be investigated further for use in tissue engineering. Aqueous Carbopol solution-based superporous hydrogel composites make an excellent option for transmucosal drug administration. A self-emulsifying drug delivery system containing carvedilol was developed using superporous hydrogel. In the pharmaceutical industry, superporous hydrogels could be used as solid carriers.

10. Other Applications

Sanitary items, agriculture, bioseparation, increased oil recovery, hygiene, diapers, horticulture, pets, and colorful superporous hydrogels for decoration are among the applications for superporous hydrogels outside of pharmaceutical and biological fields. Superporous hydrogels could be a good alternative to silica gel. Superporous hydrogels' high swelling pressure can be employed to activate an alarm system when water penetrates through.

CONCLUSION:

In conclusion, superporous hydrogels are adaptable substances with high porosity and quick swelling characteristics that make them appropriate for a range of uses, especially in regulated drug delivery systems. Their special qualities make it possible to create drug delivery systems that can improve the therapeutic efficacy and bioavailability of medications, providing encouraging answers to the drawbacks of traditional drug delivery techniques.

REFERENCES

  1. Prasanna Kumar Desu , Venkateswararao Pasam , Vijay Kotra d e Implications of enhanced biopharmaceutical performance of fluvastatin using gastroretentive drug delivery systems based on superporous hydrogel composites June 2020, 101668.
  2. Gopa Roy Biswas ,Simran Shaw,Sutapa Biswas Majee Design and creation of an antihypertensive medication's superporous hydrogel for gastroretentive drug administration 2020; vol.11(9): 4329- 4337
  3. Ousanee Issarachot Suputra Bunlung Kanidta Ousanee Issarachot , Suputra Bunlung , Kanidta Kaewkroek , Ruedeekorn Wiwattanapatapee Superporous hydrogels made from chitosan and polyvinyl alcohol mixes as a carrier for improved resveratrol delivery in the stomach January 2023
  4. n vishal gupta , hg shivakumar Rosiglitazone maleate preparation and characterisation of superporous hydrogels as a gastroretentive drug delivery system July 18, 2010
  5. Eslavath Ravindar Naik, K. Venkata Ramana Reddy, Nagilla Swetha Super Porous Hydrogels  Volume - 12, Issue - 1, 2019
  6. Mustafa MA, Jaan G, Nadeem A, Khan J, Nadeem J, Javed F, Mazhar M, Sajjad A, Fatima K, Khaliq A, Saif A, Saqib Z, Iqbal MZ Metformin HCl-containing pH-responsive sustained-release super porous hydrogel: design, production, and in vitro characterization. e122ms3426 in Medical Science 2024, 28
  7. Ajkia Zaman Juthi, Fenfen Li, Bo Wang, Md Mofasserul, Alam Md Eman, Talukder Bensheng Qiu Gastroretentive Controlled-Release Drug Delivery Using pH-Responsive Super-Porous Hybrid Hydrogels 2023, 15(3), 816
  8. Vijay Kotra, Prasanna kumar desuCreation and in vitro testing of a gastroretentive drug delivery system for vildagliptin based on superporous hydrogel, September 2019, Journal of Research in Pharmacy 23(5):873-885
  9. Darshana Pawar, Darshan Jamindar, Nadeem A. Farooqui, Nimita ManochaJournal of Drug Delivery and Therapeutics, April 2024, Superporous Hydrogel: A New Method for a Secure Gastroretentive Drug Delivery System
  10. G. R. Biswas, S. Shaw, S. B. Majee design and development of superporous hydrogel of an antihyper-tensive drug for gastroretentive drug delivery 10.13040/IJPSR.0975-8232.11(9).4329-37,01 September 2020

Reference

  1. Prasanna Kumar Desu , Venkateswararao Pasam , Vijay Kotra d e Implications of enhanced biopharmaceutical performance of fluvastatin using gastroretentive drug delivery systems based on superporous hydrogel composites June 2020, 101668.
  2. Gopa Roy Biswas ,Simran Shaw,Sutapa Biswas Majee Design and creation of an antihypertensive medication's superporous hydrogel for gastroretentive drug administration 2020; vol.11(9): 4329- 4337
  3. Ousanee Issarachot Suputra Bunlung Kanidta Ousanee Issarachot , Suputra Bunlung , Kanidta Kaewkroek , Ruedeekorn Wiwattanapatapee Superporous hydrogels made from chitosan and polyvinyl alcohol mixes as a carrier for improved resveratrol delivery in the stomach January 2023
  4. n vishal gupta , hg shivakumar Rosiglitazone maleate preparation and characterisation of superporous hydrogels as a gastroretentive drug delivery system July 18, 2010
  5. Eslavath Ravindar Naik, K. Venkata Ramana Reddy, Nagilla Swetha Super Porous Hydrogels  Volume - 12, Issue - 1, 2019
  6. Mustafa MA, Jaan G, Nadeem A, Khan J, Nadeem J, Javed F, Mazhar M, Sajjad A, Fatima K, Khaliq A, Saif A, Saqib Z, Iqbal MZ Metformin HCl-containing pH-responsive sustained-release super porous hydrogel: design, production, and in vitro characterization. e122ms3426 in Medical Science 2024, 28
  7. Ajkia Zaman Juthi, Fenfen Li, Bo Wang, Md Mofasserul, Alam Md Eman, Talukder Bensheng Qiu Gastroretentive Controlled-Release Drug Delivery Using pH-Responsive Super-Porous Hybrid Hydrogels 2023, 15(3), 816
  8. Vijay Kotra, Prasanna kumar desuCreation and in vitro testing of a gastroretentive drug delivery system for vildagliptin based on superporous hydrogel, September 2019, Journal of Research in Pharmacy 23(5):873-885
  9. Darshana Pawar, Darshan Jamindar, Nadeem A. Farooqui, Nimita ManochaJournal of Drug Delivery and Therapeutics, April 2024, Superporous Hydrogel: A New Method for a Secure Gastroretentive Drug Delivery System
  10. G. R. Biswas, S. Shaw, S. B. Majee design and development of superporous hydrogel of an antihyper-tensive drug for gastroretentive drug delivery 10.13040/IJPSR.0975-8232.11(9).4329-37,01 September 2020

Photo
Kumari Khushi
Corresponding author

Department of pharmaceutics School of Pharmacy, ITM University, Turari, Gwalior - 474011, Madhya Pradesh, India.

Photo
Bhattachrya Vijeta
Co-author

Department of pharmaceutics School of Pharmacy, ITM University, Turari, Gwalior - 474011, Madhya Pradesh, India.

Kumari Khushi*, Bhattachrya Vijeta, Development Of Superporous Hydrogel in Drug Delivery System, Int. J. of Pharm. Sci., 2025, Vol 3, Issue 5, 2299-2309. https://doi.org/10.5281/zenodo.15410891

More related articles
Recent Advances in High- Performance Liquid Chroma...
Ganesh Tupe, Monali Khatake, Kanchan Vetal, Archana Tupe, Ashwini...
Method Development and Validation for the Simultan...
V. Vijaya, K Suvarna, Dr. P V Madhavi Latha, Dr. P Uma Devi, ...
Development and Evaluation of Winter Cream Contain...
Shravya Lakshmi S, Dr. Pallavi NS, Aswinraj R, Muhsina N, Muhamme...
Review on Method Development and Validation of Diclofenac Sodium Using Different...
Lavanya N., Sujatha P. Muchalambe, Likith Kumar K. B., Mamatha T., Mani Sai Santhoshi, Revanth S., K...
Development Of Nirmatrelvir and Ritonavir Simultaneous Estimation Method Using Q...
Prapti Gawand , Reshma Jadhav, Ashish Jain, Priya Jagtap, Bhavesh Mahajan, Prathamesh Chaudhari, Ais...
Related Articles
Development and Validation of an RP-HPLC Method for Quantification of Levodopa i...
Santosh Kumar, Mangal Singh , Sarita , Manjeet Singh Yadav , ...
A Focused Review and Comparative Analysis of Molecular Docking Strategies and So...
Suraj Chilkawar, Dr. Dinesh Chaple, Sneha Tidke, Ayush Umare, Sumit Raut, Shreyash Virutkar, ...
Development and Standardization of a Therapeutic Polyherbal Powder (Paachan Pro)...
Neeru Sharma, Mehul Tiwari, Brijpal Singh, Kunwar Chauhan, Shivender Chandel, ...
Recent Advances in High- Performance Liquid Chromatography (HPLC): Principles, M...
Ganesh Tupe, Monali Khatake, Kanchan Vetal, Archana Tupe, Ashwini Amrutkar, ...
More related articles
Recent Advances in High- Performance Liquid Chromatography (HPLC): Principles, M...
Ganesh Tupe, Monali Khatake, Kanchan Vetal, Archana Tupe, Ashwini Amrutkar, ...
Method Development and Validation for the Simultaneous Estimation of Cefepime an...
V. Vijaya, K Suvarna, Dr. P V Madhavi Latha, Dr. P Uma Devi, ...
Development and Evaluation of Winter Cream Containing Curcumin...
Shravya Lakshmi S, Dr. Pallavi NS, Aswinraj R, Muhsina N, Muhammed Jibran S G, Vishnu Prasad P T, ...
Recent Advances in High- Performance Liquid Chromatography (HPLC): Principles, M...
Ganesh Tupe, Monali Khatake, Kanchan Vetal, Archana Tupe, Ashwini Amrutkar, ...
Method Development and Validation for the Simultaneous Estimation of Cefepime an...
V. Vijaya, K Suvarna, Dr. P V Madhavi Latha, Dr. P Uma Devi, ...
Development and Evaluation of Winter Cream Containing Curcumin...
Shravya Lakshmi S, Dr. Pallavi NS, Aswinraj R, Muhsina N, Muhammed Jibran S G, Vishnu Prasad P T, ...