View Article

Abstract

Metachromatic leukodystrophy (MLD) is a rare, inherited lysosomal storage disorder characterized by the progressive demyelination of the central and peripheral nervous systems. It is primarily caused by a deficiency of the enzyme arylsulfatase A (ARSA), leading to the accumulation of sulfatides, which are toxic to myelin-producing cells. MLD presents in various clinical forms—late-infantile, juvenile, and adult—each differing in onset, progression, and severity. Early and accurate diagnosis remains a major challenge due to its clinical heterogeneity and overlap with other neurological conditions. Recent advances in molecular diagnostics, neuroimaging, and biochemical assays have improved early detection and classification of the disease. In parallel, therapeutic research has made significant strides. While hematopoietic stem cell transplantation (HSCT) has shown limited success, newer approaches such as gene therapy, enzyme replacement therapy (ERT), and substrate reduction therapy are currently under investigation, offering hope for more effective disease management. This review provides a comprehensive overview of MLD, detailing its underlying pathogenesis, current diagnostic strategies, and the state-of-the-art in therapeutic interventions.

Keywords

Metachromatic Leukodystrophy (MLD), Arylsulfatase A (ARSA) deficiency, Sulfatide accumulation, Demyelination, Lysosomal storage disorder, Neurodegeneration, Clinical phenotypes, Molecular diagnosis, Neuroimaging, Hematopoietic stem cell transplantation (HSCT), Gene therapy, Enzyme replacement therapy (ERT), Substrate reduction therapy, Therapeutic advances, Rare genetic disorder

Introduction

Metachromatic Leukodystrophy (MLD) is progressive neurodegenerative disorder that affects the white matter of the brain and spinal cord. The abnormal development or destruction of the myelin sheath, the protective covering that insulates nerve cells throughout the central and peripheral nervous system. MLD involves cerebroside sulphate accumulation, like most enzyme deficiencies has an autosomal recessive inheritance pattern.

Fig no.1.1 The global Leukodystrophy Initiative

History of Metachromatic Leukodystrophy (MLD)

Metachromatic leukodystrophy has a rich and evolving history in medical science, spanning pathology, biochemistry, and genetics. Here's a detailed look at how the understanding of MLD developed over time:

1. Early Descriptions (1920s–1930s):

  1. 1925 – The condition that would later be known as MLD was first described by Dr. Scholz, a German neurologist.
  • He observed children with progressive neurological deterioration and white matter degeneration in the brain.
  • Initially, these conditions were grouped under "diffuse cerebral sclerosis", with unclear causes.

2. Recognition as a Distinct Disease (1950s):

  • In the 1950s, neuropathologists began identifying unique histological features in brain tissue:
  • Accumulation of lipids in glial cells
  • A distinctive “metachromatic” staining pattern when sulfatide deposits were treated with certain dyes (e.g., cresyl violet)                                                   
  • The name “metachromatic leukodystrophy” was derived from this abnormal staining behavior.
  • "Meta" = change
  • "Chromatic" = color
  • "Leuko" = white (refers to white matter)
  • "Dystrophy" = degeneration

3. Biochemical Advances (1960s):

  • 1963–1965 – Researchers, including Austin and Gravel, identified the biochemical defect:
  • A deficiency in the enzyme arylsulfatase A (ARSA).
  • This enzyme is crucial for breaking down cerebroside sulfate (a sulfatide) in the lysosomes of cells.
  • This led to the classification of MLD as a lysosomal storage disease.

4. Genetic Understanding (1970s–1980s):

  • Gustavson and Hagberg mapped the ARSA gene to chromosome 22.
  • It was found that MLD follows an autosomal recessive inheritance pattern.
  • Carriers of one mutated copy of ARSA are typically asymptomatic, while affected individuals have mutations in both gene copies.

5. Subtypes Identified (Late 20th Century):

  • MLD was categorized into three main clinical subtypes based on age of onset:
  • Late-infantile MLD
  • Juvenile MLD
  • Adult MLD
  • Clinical and biochemical research helped to explain the variation in severity and progression among these types.
  • Modern Era 2019 – A major milestone:  The European Medicines Agency (EMA) approved Libmeldy (atidarsagene    autotemcel), the first gene therapy for MLD.

It involves modifying the patient’s stem cells to express functional ARSA and reintroducing them into the body.

Signs & Symptoms of MLD (metachromatic leukodystropy):

It is characterised into three types

  1. Late-infantile MLD(age of child 12-24 months)
  2. Juvenile MLD(age of 3-12 years)
  3. Adult MLD(above 16)
  • Late-infantile MLD -In the late infantile form, which is the most common form of MLD (50–60%), affected children begin having difficulty walking after the first year of life, usually at 12–24 months. Symptoms include muscle wasting and weakness, muscle rigidity, developmental delays, progressive loss of vision leading to blindness, convulsions, impaired swallowing, paralysis, and dementia. Children may become comatose. Untreated, most children with this form of MLD die by age 5, often much sooner.
  • Juvenile MLD- Children with the juvenile form of MLD (onset between 3 and 12 years of age) then develop symptoms similar to the late infantile form but with slower progression. Age of death is variable, but normally within 10 to 15 years of symptom onset. A recent trend is to try to distinguish early-juvenile (ages 3–7) and late-juvenile forms of the disease. Generally, early-juveniles have motor skill declines as their first symptoms while late-juveniles show cognitive declines first.
  • Adult MLD(above 16)- The adult form commonly begins after age 16 often with an onset in the 4th or 5th decade of life and presents as a psychiatric disorder or progressive dementia. Adult-onset MLD usually progresses more slowly than the late infantile and juvenile forms, with a protracted course of a decade or more.

Symptoms:

MLD is caused by a deficiency of the enzyme arylsulfatase A (ARSA), leading to accumulation of sulfatides in the brain and nervous system. This results in progressive demyelination, meaning the protective myelin sheath around nerves breaks down. As a result, nerve signals slow or stop, causing widespread neurological and physical dysfunction.

1. Motor Symptoms (Movement-Related)

  • Muscle Weakness (Starting in Legs)
  • First noticeable sign, especially in late-infantile and juvenile forms.
  • Begins in the lower limbs, making it harder to stand, run, or climb stairs.
  • Progresses over time to involve the arms and trunk.
  • Muscle Wasting (Atrophy)
  • Due to disuse and nerve damage, muscles begin to shrink and lose mass.
  • Visible thinning of arms, legs, and shoulders.
  • Leads to reduced strength and loss of functional ability.

Fig no.1.2 Metachromatic Leukodystrophy

  • Spasticity (Muscle Stiffness or Tightness)
  • Increased muscle tone, especially in the legs.
  • Movements become stiff, jerky, and painful.
  • May cause joint contractures, making limbs harder to move or straighten

Fig.no.1.3 Spasticity

  • Ataxia (Loss of Coordination and Balance)
  • Difficulty in maintaining posture or coordinating movements.
  • Results in:
  • Unsteady walking
  • Wide-based gait
  • Trouble with tasks requiring fine motor control (e.g., buttoning clothes)

Fig.no.1.4 Ataxia

  • Paralysis in Later Stages
  • Loss of voluntary movement due to extensive nerve damage.
  • Affects both legs and arms (quadriplegia in advanced stages).
  • Patients may become bedridden and fully dependent for all activities.

Fig.no.1.5.Paralysis

  • Tremors
  • Involuntary, rhythmic shaking of limbs, especially hands.
  • May interfere with writing, eating, or other daily activities.
  • Less common in infantile MLD; more likely in juvenile/adult forms.

Fig.no.1.6.Tremors

  • Frequent Falls or Clumsiness
  • Due to muscle weakness, balance problems, and ataxia.
  • Children may appear to be "accident-prone" before diagnosis.
  • One of the earliest warning signs, especially in school-aged children.
  • Difficulty Walking → Inability to Walk
  • Gradual worsening of mobility:
  • Walking becomes slow, unsteady
  • May require support (walker, wheelchair)
  • Eventually results in complete loss of independent movement

2. Cognitive Symptoms

  • Developmental Delays (in Children)
  • In infants and young children, normal developmental milestones may be delayed or halted.
  • Examples include:
  • Late walking or talking
  • Difficulty in learning basic skills like sitting, crawling, or playing
  • Often an early warning sign of the infantile and juvenile forms.
  • Loss of Learned Skills (Regression)
  • Children who previously met milestones may lose abilities they had gained.
  • For example:
  • Stopping speech or walking
  • Forgetting how to use utensils or perform simple tasks
  • This regression is characteristic of disease progression.
  • Confusion and Memory Loss
  • Difficulty recalling recent events or recognizing familiar people.
  • Confusion about surroundings, time, or tasks.
  • Especially common in juvenile and adult-onset forms.

3. Behavioural and Psychiatric Symptoms

  • Depression or Apathy
  • Feelings of sadness, hopelessness, or withdrawal.
  • Loss of motivation and reduced emotional responsiveness.
  • In some cases, a flat or blunted affect (lack of emotional expression).
  • Psychosis or Hallucinations (More Common in Adult-Onset)
  • Hallucinations: Seeing or hearing things that aren’t there.
  • Delusions: False beliefs that are strongly held despite evidence to the contrary.
  • May mimic schizophreniora  other severe psychiatric disorders.
  • Often leads to misdiagnosis and delayed recognition of MLD.

Traditional Formulation:

There is no truly ancient or traditional drug specifically used for Metachromatic Leukodystrophy (MLD), because MLD is a genetic and biochemical disorder only identified in the 20th century.The molecular understanding of MLD (enzyme deficiency, sulfatide accumulation, etc) is a product of modern biomedical science. Ancient medicine systems (like Ayurveda, Traditional Chinese Medicine, or Greco-Arabic medicine) did not have knowledge of lysosomal storage diseases.

Fig no.1.7. traditional formulation

  • Why No "Ancient Drug" for MLD?
  • MLD is Rare
  • Neurogenetic
  • Not externally visible or easily understood without modern diagnostic tools Progressive, but with symptoms that could be confused with other diseases (like epilepsy, dementia, or motor disorders) in ancient times

First Therapeutic Attempts (Historical Context)

If you're asking about the earliest treatments in modern medicine, these would include:

    1. Supportive care (starting in the 1960s-1980s):
  • Physical therapy
  • Anti-seizure medication
  • Nutritional support
  • Nothing disease-modifying
    1. Bone marrow transplantation (BMT) (1990s):
  • First attempt at slowing progression by replacing deficient immune cells

3. Enzyme replacement and gene therapy research (2000s-2010s):

  • Experimental
  • Not available to ancient or early modern medicine

Drugs used in treatment of Metachromatic Leukodystrophy

              1. Lenmeldy
  • Generic name: atidarsagene autotemcel systemic
  • Drug class: Miscellaneous uncategorized agents

2. Atidarsagene autotemcel

  • Generic name: atidarsagene autotemcel systemic
  • Drug class: Miscellaneous uncategorized agents

Evolution of MLD:

1. Clinical Presentation: MLD is a rare, autosomal recessive lysosomal storage disease caused by a deficiency in the enzyme arylsulfatase A (ARSA).

Symptoms vary by type:

Type

Onset Age

Symptoms

 

1 Late Infantile

<4 years

Developmental regression, gait disturbances, hypotonia, seizures

2 Juvenile

4-12 years

Behaviour changes, school difficulties, motor decline

3 Adult

>16 years

Psychiatric symptoms, dementia, motor dysfunction

2. Diagnostic Evaluation     

Test

Purpose

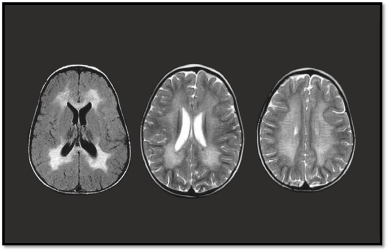
MRI Brain

Shows symmetrical white matter demyelination (especially periventricular regions)

ARSA enzyme assay

Measures arylsulfatase A activity (low in MLLD)

Urine sulfatides test

Elevated sulfatides support diagnosis

Generic testing

Confirms mutations in the ARSA gene

Nerve conduction studies

May show demyelinating peripheral neuropathy

Neurocognitive assessment

Baseline for tracking progression

Treatment:

Hematopoietic Stem Cell Transplantation:

Allogenic hematopoietic stem cell transplantation (HSCT) is considered the standard treatment for presymptomatic and early-symptomatic adult and late-juvenile forms of metachromatic leukodystrophy (MLD), though its benefits in early-onset cases are limited due to rapid disease progression. Following transplantation, patients may initially experience worsening MRI abnormalities and symptoms, likely due to chemotherapy-related neurotoxicity and the delay in full engraftment of donor cells within the brain. However, when performed early in the disease course, HSCT can lead to long-term stabilization or even improvement in white matter changes. Traditionally, the therapeutic effect of HSCT was believed to occur through cross-correction, where donor-derived macrophages and microglia provide functional arylsulfatase A (ASA) to the patient’s deficient neural cells. This mechanism, however, has been called into question, as studies have shown that ASA secreted by these donor cells often lacks the mannose-6-phosphate necessary for cellular uptake. Furthermore, postmortem analysis of HSCT-treated MLD patients revealed ASA presence only in donor macrophages—not in oligodendrocytes or astrocytes—suggesting that cross-correction may play a minimal role. Instead, an alternative mechanism has been proposed in which donor macrophages contribute metabolically by clearing sulfatide buildup and exerting anti-inflammatory effects that promote oligodendrocyte survival and remyelination. This is supported by findings of higher oligodendrocyte counts and signs of remyelination in transplanted patients. Similar observations have been made in HSCT-treated mouse models of Krabbe disease, where benefits occurred despite limited cross-correction, further highlighting the role of donor-derived immune cells in reducing neuroinflammation. Despite these therapeutic potentials, HSCT carries significant risks, including graft-versus-host disease, infections, toxicity, chronic rejection, and increased malignancy risk, with mortality rates around 10–15%, and even higher in some patient groups.

Fig no.1.8 Hematopoietic Stem Cell Transplantation

Intracerebral Gene Therapy:

One of the disadvantages of HSCT and HSC-GT is the delayed delivery of ASA-expressing cells. Therefore, more efficient delivery methods are needed, also able to target glial cells and neurons. Intracerebral injections of a viral vector (AAVrh.10-hARSA) have been tested in nonhuman primates and were safe and effective. In a phase I-II clinical trial, 3 patients with late-infantile MLD (2 presymptomatic and 1 early-symptomatic) and 1 early-juvenile early-symptomatic patient, aged 9 months to 5 years, were treated with this vector. AAVrh10-hARSA was detected in urine, and significant increase in ASA activity was observed in the CSF. However, all patients had clinical and radiologic disease progression similar to or more rapid than the natural history of MLD. T2 hyperintense areas developed around the injection sites on brain MRI. Why this approach failed in humans is not known. Of interest, similar MRI changes were seen in participants in an intracerebral gene therapy trial for Sanfilippo disease, shown to be due to extracellular spilling of lysosomal enzymes with subsequent WM damage.

Transplantation:

Fig no.1.4 Effects of Transplantation

Effects of transplantation in MLD.:

Part 1: Evolution of brain MRI in patients 1 and 2 and, as an example, evolution of white matter abnormalities in a patient successfully transplanted (axial T2?weighted images shown). In the two deceased patients, white matter abnormalities increase, especially in patient 1. The successfully transplanted patient illustrates improvement of leukodystrophic changes 4 years after HSCT. Part 2: Donor cells reach the brain of transplanted MLD patients. (A) Stain with Klüver (blue dye for myelin) and periodic acid Schiff (PAS, pink, stain for sulfatides in macrophages) of the cerebral periventricular white matter of an untreated MLD patient (patient 5) shows loss of myelin and abundance of cells loaded with PAS?positive granular material. (B) Hematoxylin & Eosin stain of the frontal subcortical white matter of a HSCT?treated patient (patient 1) shows the presence of macrophages with intense eosinophilic cytoplasm (arrows) next to macrophages loaded with clearer granular material. (C) A Klüver?PAS stain of the same region of this patient confirms the presence of a double population of macrophages, more (open arrows) and less (closed arrows) intensely PAS positive. (D) Toluidine blue stain of the parietal white matter of this HSCT?treated patient (patient 2) reveals that only a subset of macrophages is metachromatic (purple, i.e., loaded with sulfatides), the remaining being orthochromatic (brown) and as such able to degrade sulfatides. (E) Metabolic competence of a subset of macrophages in the white matter of a HSCT?treated patient (patient 1) is confirmed by their ability to digest sulfatides, as shown in this Oil Red O stain for neutral fats. (F) In this patient, FISH against the X and Y chromosomes confirms cells of both sexes.

Enzyme Replacement Therapy:

IV enzyme replacement therapy (ERT) stabilizes or improves non-CNS symptoms of lysosomal storage diseases. MLD mouse model studies demonstrated improvements in motor and behavioral symptoms, prompting further investigation in a clinical trial. To assess the safety and efficacy of IV recombinant human (rh)ASA, dose-escalated IV rhASA was administered every 14 days for 52 weeks to 13 patients with MLD with an onset ≤4 years. No serious adverse events related to the treatment were reported. While peripheral nerve pathology did not worsen, motor and cognitive functioning continued to deteriorate, suggesting that IV rhASA does not cross the blood-brain barrier in therapeutic quantities. Nonetheless, the results concerning peripheral nerves indicate that rhASA may have some positive effects on patients with MLD, perhaps due to better penetration through the (homeostatic) blood-nerve barrier, which is leakier than the blood-brain barrier.

Intrathecal administration of rhASA was, therefore, evaluated as an alternative to IV ERT in a clinical trial involving 24 children with MLD who had an onset ≤30 months conducted over 38 weeks. Different dosages ranging from 10 mg to 100 mg were tested across several cohorts. No serious adverse events related to rhASA were reported, although 25% of patients experienced adverse events associated with the intrathecal device or drug delivery method. An overall decline in motor function was observed over time, but patients receiving the highest dose showed the least pronounced decline. The treatment was well tolerated, leading to an extension to evaluate long-term safet). In addition, an ongoing phase 2b trial investigated the effects of a higher dose of 150 mg weekly of rhASA in 36 patients with MLD. This dose corrected biochemical defects, and delayed pathologic features seemed to delay neurologic deterioration and structural changes in some children However, a lack of efficacy on the primary end point (gross motor function) led to discontinuation of this treatment strategy.

REFERENCES

  1. Gomez-Ospina N. Arylsulfatase A deficiency. In: Adam V, Ardinger HH, Pagon RA, Wallace SE, Bean LJH, Stephens K, Amemiya A. editors. GeneReviews((R)). Seattle, WA: University of Washington. (1993).
  2. Rosenberg JB, Kaminsky SM, Aubourg P, Crystal RG, Sondhi D. Gene therapy for metachromatic leukodystrophy. J Neurosci Res. (2016)
  3. Simonaro CM. Lysosomes, lysosomal storage diseases, and inflammation. J Inborn Errors Metab Screen. (2016)
  4. Solovyeva VV, Shaimardanova AA, Chulpanova DS, Kitaeva KV, Chakrabarti L, Rizvanov AA. New approaches to tay-sachs disease therapy. Front Physiol. (2018)
  5. Hyde TM, Ziegler JC, Weinberger DR. Psychiatric disturbances in metachromatic leukodystrophy. Insights into the neurobiology of psychosis. Arch Neurol. (1992)
  6. McFadden K, Ranganathan S. Pathology of the gallbladder in a child with metachromatic leukodystrophy. Pediatr Dev Pathol. (2015)
  7. Wanner MR, Karmazyn B, Fan R. Multidetector CT diagnosis of massive hemobilia due to gallbladder polyposis in a child with metachromatic leukodystrophy. Pediatr Radiol. (2015)
  8. van Rappard DF, Bugiani M, Boelens JJ, van der Steeg AF, Daams F, de Meij TG, et al. Gallbladder and the risk of polyps and carcinoma in metachromatic leukodystrophy. Neurology. (2016)
  9. Kim J, Sun Z, Ezekian B, Schooler GR, Prasad VK, Kurtzberg J, et al. Gallbladder abnormalities in children with metachromatic leukodystrophy. J Surg Res. (2017)
  10. van der Knaap MS, Bugiani M. Leukodystrophies: a proposed classification system based on pathological changes and pathogenetic mechanisms. Acta Neuropathol. (2017)
  11. Almarzooqi S, Quadri A, Albawardi A. Gallbladder polyps in metachromatic leukodystrophy. Fetal Pediatr Pathol. (2018)
  12. Kurian JJ, Jacob TJK. An unusual presentation of gall bladder papillomatosis in association with metachromatic leukodystrophy. BMJ Case Rep. (2018)
  13. Beerepoot S, Nierkens S, Boelens JJ, Lindemans C, Bugiani M, Wolf NI. Peripheral neuropathy in metachromatic leukodystrophy: current status and future perspective. Orphanet J Rare Dis. (2019)
  14. Liaw HR, Lee HF, Chi CS, Tsai CR. Late infantile metachromatic leukodystrophy: clinical manifestations of five Taiwanese patients and genetic features in Asia. Orphanet J Rare Dis. (2015)
  15. Ali Mallick MS, Godil A, Khetpal A, Rizvi AH, Khan F. Infantile metachromatic leukodystrophy in an 18 month old girl. J Pak Med Assoc. (2016)
  16. Barkovich AJ. Concepts of myelin and myelination in neuroradiology. AJNR Am J Neuroradiol. (2000)
  17. Thibert KA, Raymond GV, Tolar J, Miller WP, Orchard PJ, Lund TC. Cerebral spinal fluid levels of cytokines are elevated in patients with metachromatic leukodystrophy. Sci Rep. (2016)
  18. Koski CL, Vanguri P, Shin ML. Activation of the alternative pathway of complement by human peripheral nerve myelin. J Immunol. (1985)
  19. Bergner CG, van der Meer F, Winkler A, Wrzos C, Turkmen M, Valizada E, et al. Microglia damage precedes major myelin breakdown in X-linked adrenoleukodystrophy and metachromatic leukodystrophy. Glia. (2019)
  20. Cesani M, Lorioli L, Grossi S, Amico G, Fumagalli F, Spiga I, et al. Mutation update of ARSA and PSAP genes causing metachromatic leukodystrophy. Hum Mutat. (2016)
  21. Furst W, Sandhoff K. Activator proteins and topology of lysosomal sphingolipid catabolism. Biochim Biophys Acta. (1992)
  22. Lukatela G, Krauss N, Theis K, Selmer T, Gieselmann V, von Figura K, et al. Crystal structure of human arylsulfatase A: the aldehyde function and the metal ion at the active site suggest a novel mechanism for sulfate ester hydrolysis. Biochemistry. (1998)
  23. Sommerlade HJ, Selmer T, Ingendoh A, Gieselmann V, von Figura K, Neifer K, et al. Glycosylation and phosphorylation of arylsulfatase A. J Biol Chem. (1994)
  24. Doerr J, Bockenhoff A, Ewald B, Ladewig J, Eckhardt M, Gieselmann V, et al. Arylsulfatase A overexpressing human iPSC-derived neural cells reduce cns sulfatide storage in a mouse model of metachromatic leukodystrophy. Mol Ther. (2015)

Reference

  1. Gomez-Ospina N. Arylsulfatase A deficiency. In: Adam V, Ardinger HH, Pagon RA, Wallace SE, Bean LJH, Stephens K, Amemiya A. editors. GeneReviews((R)). Seattle, WA: University of Washington. (1993).
  2. Rosenberg JB, Kaminsky SM, Aubourg P, Crystal RG, Sondhi D. Gene therapy for metachromatic leukodystrophy. J Neurosci Res. (2016)
  3. Simonaro CM. Lysosomes, lysosomal storage diseases, and inflammation. J Inborn Errors Metab Screen. (2016)
  4. Solovyeva VV, Shaimardanova AA, Chulpanova DS, Kitaeva KV, Chakrabarti L, Rizvanov AA. New approaches to tay-sachs disease therapy. Front Physiol. (2018)
  5. Hyde TM, Ziegler JC, Weinberger DR. Psychiatric disturbances in metachromatic leukodystrophy. Insights into the neurobiology of psychosis. Arch Neurol. (1992)
  6. McFadden K, Ranganathan S. Pathology of the gallbladder in a child with metachromatic leukodystrophy. Pediatr Dev Pathol. (2015)
  7. Wanner MR, Karmazyn B, Fan R. Multidetector CT diagnosis of massive hemobilia due to gallbladder polyposis in a child with metachromatic leukodystrophy. Pediatr Radiol. (2015)
  8. van Rappard DF, Bugiani M, Boelens JJ, van der Steeg AF, Daams F, de Meij TG, et al. Gallbladder and the risk of polyps and carcinoma in metachromatic leukodystrophy. Neurology. (2016)
  9. Kim J, Sun Z, Ezekian B, Schooler GR, Prasad VK, Kurtzberg J, et al. Gallbladder abnormalities in children with metachromatic leukodystrophy. J Surg Res. (2017)
  10. van der Knaap MS, Bugiani M. Leukodystrophies: a proposed classification system based on pathological changes and pathogenetic mechanisms. Acta Neuropathol. (2017)
  11. Almarzooqi S, Quadri A, Albawardi A. Gallbladder polyps in metachromatic leukodystrophy. Fetal Pediatr Pathol. (2018)
  12. Kurian JJ, Jacob TJK. An unusual presentation of gall bladder papillomatosis in association with metachromatic leukodystrophy. BMJ Case Rep. (2018)
  13. Beerepoot S, Nierkens S, Boelens JJ, Lindemans C, Bugiani M, Wolf NI. Peripheral neuropathy in metachromatic leukodystrophy: current status and future perspective. Orphanet J Rare Dis. (2019)
  14. Liaw HR, Lee HF, Chi CS, Tsai CR. Late infantile metachromatic leukodystrophy: clinical manifestations of five Taiwanese patients and genetic features in Asia. Orphanet J Rare Dis. (2015)
  15. Ali Mallick MS, Godil A, Khetpal A, Rizvi AH, Khan F. Infantile metachromatic leukodystrophy in an 18 month old girl. J Pak Med Assoc. (2016)
  16. Barkovich AJ. Concepts of myelin and myelination in neuroradiology. AJNR Am J Neuroradiol. (2000)
  17. Thibert KA, Raymond GV, Tolar J, Miller WP, Orchard PJ, Lund TC. Cerebral spinal fluid levels of cytokines are elevated in patients with metachromatic leukodystrophy. Sci Rep. (2016)
  18. Koski CL, Vanguri P, Shin ML. Activation of the alternative pathway of complement by human peripheral nerve myelin. J Immunol. (1985)
  19. Bergner CG, van der Meer F, Winkler A, Wrzos C, Turkmen M, Valizada E, et al. Microglia damage precedes major myelin breakdown in X-linked adrenoleukodystrophy and metachromatic leukodystrophy. Glia. (2019)
  20. Cesani M, Lorioli L, Grossi S, Amico G, Fumagalli F, Spiga I, et al. Mutation update of ARSA and PSAP genes causing metachromatic leukodystrophy. Hum Mutat. (2016)
  21. Furst W, Sandhoff K. Activator proteins and topology of lysosomal sphingolipid catabolism. Biochim Biophys Acta. (1992)
  22. Lukatela G, Krauss N, Theis K, Selmer T, Gieselmann V, von Figura K, et al. Crystal structure of human arylsulfatase A: the aldehyde function and the metal ion at the active site suggest a novel mechanism for sulfate ester hydrolysis. Biochemistry. (1998)
  23. Sommerlade HJ, Selmer T, Ingendoh A, Gieselmann V, von Figura K, Neifer K, et al. Glycosylation and phosphorylation of arylsulfatase A. J Biol Chem. (1994)
  24. Doerr J, Bockenhoff A, Ewald B, Ladewig J, Eckhardt M, Gieselmann V, et al. Arylsulfatase A overexpressing human iPSC-derived neural cells reduce cns sulfatide storage in a mouse model of metachromatic leukodystrophy. Mol Ther. (2015)

Photo
Sachitanand Biradar
Corresponding author

Dayanand Institute of Pharmacy Latur

Photo
Nikhil Chapule
Co-author

Dayanand Institute of Pharmacy, Latur

Photo
Govind Soni
Co-author

Dayanand Institute of Pharmacy, Latur

Photo
Vishnu Bharti
Co-author

Dayanand Institute of Pharmacy, Latur

Photo
Harshvardhan Shinde
Co-author

Dayanand Institute of Pharmacy, Latur

Sachitanand Biradar, Harshvardhan Shinde, Nikhil Chapule, Govind Soni, Vishnu Bharti, Metachromatic Leukodystrophy: A Comprehensive Review of Pathogenesis, Diagnosis, and Therapeutic Advances, Int. J. of Pharm. Sci., 2025, Vol 3, Issue 8, 2828-2839. https://doi.org/10.5281/zenodo.16950440

More related articles
Review Of Tuberculosis Caused By Bacteria...
Tekchand Manohar Pawar, Akash Vitthal Kaulange, Vikram Jaysingh P...
Assessment of Drug Prescribing Pattern in Pregnanc...
Malavika S., Shaimol T., Shahana C. P., ...
Next-Generation PROTACs and Molecular Glues: Expan...
Shrey Parmar , Dr. Yuvraj Singh Sarngdevots, Sadaf Ashraf , ...
Phytochemical Composition and Antidiabetic Potential of Clitoria Ternatea: A Sc...
Sapna More , Rutuja Jogdande , Ajit Patil , Dr. Amol Sherikar , ...
From Ancient Remedies to Modern Neuroscience: The Potential of Citrus Medica Lin...
Prathamesh Kurane, Dr. Smt. Tabassum Patwegar, Swapnil Mainkar, Sayali Hogade, Vaishnavi Kumbhar, Pr...
A Comprehensive Review on Transungual Drug Delivery: From Nail Anatomy to Treatm...
Monika Nijhawan, Samyuktha Kypa, Nandini Kongara, Bhavana Pappala, Rajeswari Aleti, Sailaja Gunnam, ...
Related Articles
Allelopathic Effects of Guizotia Abyssinica On Seed Germination of Horse Gram...
Dr. S. Shamshad, M. Suseelamma, R. R. Venkata Raju, ...
A Review on Techniques Use in Microencapsulation of Drug Molecules ...
Rakesh Bhute, Twinkal Revatkar, Ashish Lande, Vijay Chaudhari, Aadeshkumar Meshram, ...
A Review Of Transdermal Patch For Management Of Pain...
Himani sahni, Prabhudatta Panda, Sachin Kumar, ...
Stability Indicating Assay Method Development and Validation of HPTLC Method for...
Chandan Nakum, Harpal Makwana, Vaishali Karkhanis, Hina Bagada, ...
Review Of Tuberculosis Caused By Bacteria...
Tekchand Manohar Pawar, Akash Vitthal Kaulange, Vikram Jaysingh Pansare, Yogesh Ankush Narute , ...
More related articles
Review Of Tuberculosis Caused By Bacteria...
Tekchand Manohar Pawar, Akash Vitthal Kaulange, Vikram Jaysingh Pansare, Yogesh Ankush Narute , ...
Assessment of Drug Prescribing Pattern in Pregnancy...
Malavika S., Shaimol T., Shahana C. P., ...
Next-Generation PROTACs and Molecular Glues: Expanding the Druggable Proteome...
Shrey Parmar , Dr. Yuvraj Singh Sarngdevots, Sadaf Ashraf , ...
Review Of Tuberculosis Caused By Bacteria...
Tekchand Manohar Pawar, Akash Vitthal Kaulange, Vikram Jaysingh Pansare, Yogesh Ankush Narute , ...
Assessment of Drug Prescribing Pattern in Pregnancy...
Malavika S., Shaimol T., Shahana C. P., ...
Next-Generation PROTACs and Molecular Glues: Expanding the Druggable Proteome...
Shrey Parmar , Dr. Yuvraj Singh Sarngdevots, Sadaf Ashraf , ...