View Article

Abstract

The present research was aimed at preparing norfloxacin floating microspheres by the ionic gelation method with the aim of increasing the gastric residence time and for controlled release. The microspheres were prepared using sodium alginate and okra gum as natural polymers, and sodium bicarbonate and citric acid were used as gas forming agents. The prepared floating microspheres were evaluated with respect to micromeritic properties, floating behaviour, drug content, entrapment efficiency, morphology, and invitro release study. The optimum formulation was evaluated and identified for drug-excipient compatibility using Fouier Transform- Infrared Spectroscopy (FT-IR). The micromeritic properties demonstrated the prepared microspheres were discrete and freely floating with a particle size range of 1.47 ± 0.0258 mm. Optimum buoyancy properties, % yield, and drug entrapment efficiency were achieved. These results indicated that the release rate was found to decrease with an increase in the concentration of coating material, and formulation F3 showed 69.22 % drug release at 12hrs. Kinetics of drug release was found to depend on diffusion and erosion mechanisms best fitted with Korsmeyer’s model, and release exponent (n) was shown to be between 1.3815 and 1.4329. FT-IR showed no interaction between norfloxacin and polymers. The SEM result revealed that the particle size of floating microspheres was found to be regular and spherical shape with rough and uneven surface.

Keywords

Norfloxacin, Okra gum, Floating microspheres, Sodium alginate, ionic gelation technique

Introduction

The oral route of drug administration is widely used due to its ease and flexibility in dosage form design, but its effectiveness is often hindered by the variable physiology of the gastrointestinal tract (GIT), leading to unpredictable bioavailability and therapeutic effects. Successful oral controlled release systems require good drug absorption throughout the GIT, especially from the small intestine. However, polar drugs are poorly absorbed in the large intestine, making the small intestine the primary site for absorption. Gastro-retentive systems, which prolong gastric residence time (GRT), are beneficial for improving absorption, bioavailability, and reducing variability in drug release. These systems are particularly useful for drugs that have a narrow absorption window or are poorly soluble in high pH environments. They can also be effective for drugs acting locally in the stomach or those absorbed primarily in the upper small intestine. Microspheres have been investigated broadly for their utilization in the development of formulations and explored as potential carriers in the segment of novel drug delivery. Microspheres allude to the microparticulate polymer-based frameworks with a normal size 1–1000?μm 1, 2. Microspheres bearer frameworks for drug delivery applications offer advantages such as limited fluctuation of plasma profile within a therapeutic range, reduction in side effects, decreased dosing frequency and improved patient compliance3. In the recent years, naturally occurring biodegradable polymers have appealed considerable deliberation for to control the release of drug4. Among these biodegradable polymers, sodium alginate, aloe mucilage, guar gum, linseed mucilage, and tamarind gum are widely utilized polymer applicants for the designing and advancement of different drug delivery systems5. Alginates have been used extensively to control the release of drug for longer period of time because of its hydrogel properties and less processing requirements 6, 7. However, an ultimate sustained release property was not attained with alginate microspheres because through the ion exchange calcium ions were released with sodium ions in the medium and due to the electrostatic repulsion among the carboxylate anions increased the swelling and break down of gels8. Consequently, there were many attempts to overcome this problem like coating alginate microspheres by polymers such as HPMC; chitosan, Eudragit RS 30D or poly-l-lysine has been examined for the controlled release of drug 9, 10. Recently natural polymers have been recognized as a great interest in controlled drug delivery systems for the reason that biopolymers are biodegradable, compatible and non-toxic. Among natural polymers, okra mucilage from the pods of Abelmoschus esculentus is one of the advantageous polysaccharide that is presently being studied in the pharmaceutical field 11, 12. It is a polysaccharide composed of d-galactose, l-rhamnose and l-glactonoric acid and the repeating units of the gum were found to be (1-2)-rhamnose and (1-4)-galacturonic acid residues with disaccharide side chains and a degree of acetylation i.e. DA?=?5813. When extracted with water these polysaccharides produce highly viscous solution with slimy appearance and it is one of the advantageous polysaccharides that are currently being studies in pharmaceutical field 14. It is safe, economical, chemically inert, and widely harvested and does not require toxicological studies15. Though, few studies have been carried out for the analysis of blending of alginate with okra mucilage16.  Norfloxacin is a synthetic broad-spectrum antibacterial drug used in the treatment of respiratory, biliary and urinary tract infections. Norfloxacin has short half-life of 3 to 4 hrs requires multiple administration of drug leads to fluctuations in plasma concentration. Based on dose related, renal toxicity, seizures, nausea and vomiting with Norfloxacin make it an appropriate candidate for the controlled release. The objective of the present study was to design microspheres using alginate and okra gum through inotropic gelation technique for controlled release of Norfloxacin. The microspheres were then characterized for drug loading, entrapment efficiency, recovery of microspheres, SEM (Scanning electron microscope), FTIR (Fourier transform infrared spectroscopy) and rheological properties.

MATERIALS AND METHOD

Norfloxacin was obtained as a gift sample from Anant Pharmaceuticals Pvt. Ltd. Ambernath. Sodium alginate, Sodium bicarbonate, Calcium chloride, Citric acid, Acetone, concentrated hydrochloric acid, Alcohol and Dimethyl sulfoxide, used were  of analytical grade, purchased from AR scientific systems Raichur. Okra was purchased from local market.

Preparation of Okra Gum

Okra gum is a sticky, mucilaginous, and pale yellowish coloured gum. The preparation of the gum is consisting of the four steps. The final step is quite lengthy and it takes up to weeks to complete.

  1. Washing - For the extraction of the mucilaginous gum from the okra, the 1Kg okra was obtained from the local market and it was washed completely to remove the soil and dirt particles. Then it was dried to remove water. The okra was thinly sliced or it was chopped into the small pieces. The seeds were removed from the okra because it does not consist of mucilage.
  2. Filtration - After the cutting of the okra, the smaller pieces were soaked into the water overnight to extract out the mucilage. After thickening of the mucilage, the gummy material was filter out from rest part of okra by using muslin cloth.
  3. Precipitation - In the third step the precipitation of the gum was done. For the precipitation of the gum, the acetone was added at a ratio of 3 parts of acetone to one part of gum extract. This results in the precipitation of the gummy material.
  4. Drying - After the complete precipitation of the gum it was separated and then it was dried in hot air oven at 60ºC, then the gum was stored in air tight container to avoid contamination and preserved in desiccator containing anhydrous Calcium chloride.

Physiological properties of okra gum

From Okra pods 0.46% w/w of mucilage was collected. The presence of mucilage in Okra was confirmed by the development of purple to violet colour ring and pink colour (positive) upon the treatment of Molisch’s reagent and Ruthenium red test respectively.

Evaluation

Swelling index - The swelling index of the gum was carried out to find out the swelling capacity of the okra gum. The Swelling index of Okra gum was determined by placing one gram of powder in a measuring cylinder. The initial volume of the powder in a measuring cylinder was noted and then the volume was made up to 100 ml mark with 0.1N HCI (pH 1.2) at room temperature. The cylinder was stoppered shaken gently and set aside for some time .

SI=wt-wowt×100

where, SI= Swelling index,

            Wt = Height occupied by swollen gum after 24hrs,

            Wo = Initial height of the powder in graduated cylinder.

Preparation of Norfloxacin microspheres

The floating microspheres containing Norfloxacin were prepared by employing ionic gelation method by dissolving sodium alginate and okra gum as natural polymers at different concentrations in distilled water.  To above dispersion the required quantity of Sodium bicarbonate and citric acid was added in a suitable proportion and mixing continued. The active  drug substance Norfloxacin (100mg) was dispersed in dimethyl sulfoxide and mixed uniformly with sodium alginate and okra gum. Aqueous polymer dispersion with drug solution was added in a drop wise at the rate of 1ml/min in a 100 ml of 5% w/v of calcium chloride solution through a syringe with needle no-23(0.63×25mm). Further the medium was stirred for 20 mins at 600 rpm to complete the curing reaction and to produce spherical rigid microspheres. The microspheres were collected by decantation and washed twice with distilled water. The product was dried at 40ºC for 12 hours in an oven and stored in desiccator. The dried microspheres formulation details are given in Table 1.

Table 1: Formulation of Norfloxacin  floating microspheres

Ingredient (mg)

F1

F2

F3

F4

Norfloxacin(mg)

100

100

100

100

Sodium alginate(mg)

200

200

200

200

Okra gum(mg)

75

100

150

200

Sodium bicarbonate (mg)

100

100

100

100

Citric  acid (mg)

10

10

10

10

Calcium chloride (%)

5

5

5

5

RPM

600

600

600

600

EVALUATION OF NORFLOXACIN FLOATING MICROSPHERES

The microspheres prepared were evaluated for the following parameters:

Micromeritic properties

The floating microspheres were characterized by numerous tests to detect their properties that obey USP standards.

Particle size analysis

The floating microspheres were separated into different size fractions by sieving for 10 min through a series of standard sieves, #40, #60, #80, and #100, and the particle size of 50 floating microspheres was calculated using an optical microscope and the mean particle size was calculated.17

Bulk Density

A weighed quantity of floating microspheres was poured into a graduated cylinder (10 mL). Bulk density was established by a ratio of the mass of floating microspheres to bulk volume.18

Bulk density = Weight of microspheresBulk volume

Tapped density

A weighed quantity of floating microspheres was introduced into a graduated cylinder (10 mL) and the cylinder was tapped from a height of 2 cm for 100 standard taps until there was no more diminution in the density and the volume of the microspheres was calculated 19.

Tapped density = Weight of microspheresTapped volume

Carr’s compressibility index

The compressibility index of microparticles has been anticipated to be a subsidiary measure of the bulk density, size, and shape, surface area, moisture content, and cohesiveness of materials.20

Carr’s index =(Tapped density -Bulk density) Tapped density×100

Hausner’s ratio

The Hausner ratio of the floating microspheres was confirmed by associating the tapped density with the bulk density as shown in the following equation. 21

Hausner ratio = Tapped densityBulk density

Angle of Repose

Angle of repose helps to evaluate powder flowability by assessing interparticulate friction. In general, the higher is the angle of repose poor is the flowability of powder. The angle of repose of each powder blend was determined by glass funnel method, using following equation.22

tan θ = h/r

θ = tan-1 (h/r

)

Where, θ = Angle of repose,

             h = Height of the pile,

             r = Radius of the cone made by powder blend.

Drug content and Drug entrapment efficiency

50 mg of beads were weighed and crushed in a pestle mortar and the crushed material was dissolved in 25 ml of 0.1 N Hydrochloric acid. The solution was kept for 24 hrs. Volume of this solution was made up to 50 ml with washings of mortar. Then it was filtered. The filtrate was assayed by spectrophotometrically using a UV spectrophotometer at 278 nm. (Shimadzu, UV, 1800). The drug content and the entrapment efficiency were determined. The amount of drug entrapped in the microspheres was calculated by the following formula.23

%Drug Entrapment Efficiency = Practical drug content Theoretical drug concentration×100

Floating lag time and floating time

The formulated bead sample (n=20) were placed in a beaker filled with 0.1N HCl (pH 1.2) solution. Temperature was maintained at 37 0C. The floating time of beads were observed for 12 hrs. The preparation was thought of to possess buoyancy in the test solution only when all the beads floated in it. The time the formulation took emerge on the surface of the medium (floating lag time) and the time for which the formulation remains floating on the surface of the medium (floating time) were noted.24

Swelling Index

A 100 mg quantity of floating microspheres was soaked in 20 mL 0.1N HCL for 30 min. After 30 min, the microspheres were then removed and excess 0.1N HCL was wiped using a dry filter paper and their final weights were determined25. Then the swelling ratio was calculated as per the following formula:

% Swelling index= Weight of wet microspheres-Weight of dried microspheresWeight of dried microspheres×100

Scanning electron microscopy (SEM)

The surfaces and cross-section morphologies of the floating microspheres were observed using a scanning electron microscope (SEM) operated at an acceleration voltage of 25 kV. The microspheres were made conductive by sputtering thin coat of platinum under vacuum using Jeol JFC-1600 autofine coater and then the images were recorded at different magnifications. The formulation F3 was subjected to SEM studies.26

In-vitro drug release study

The drug release study from floating microsphere (equivalent to 100 mg) was performed using USP dissolution apparatus Type II in 900 ml 0.1N HCL dissolution media at 100 rpm and 37 °C. 5 ml of sample was withdrawn at every 1 h and study was continued up to 12 h. During sampling same volume of fresh medium was replaced to maintain sink condition. Withdrawn samples were assayed spectrophotometrically at 278 nm.27

Kinetic study

In order to analyze the release mechanism, several release models were tested such as:

Zero order: Qt = Qo + Kot.............. (11)

Where Qt is the amount of drug released at time t, Ko is the apparent dissolution rate constant or zero order release constant and Qo is the initial concentration of the drug in the solution resulting from a burst effect; in this case the drug release runs as a constant rate.

First order: lnQt = lnQo + K1t……… (12)

Where K1 is the first order release constant; in this case the drug released at each time is proportional to the residual drug inside the dosage form.

Higuchi: Qt = KH√t …………. (13)

Where Qt is the amount of drug released at time t and KH is the higuchi release rate constant; this is the most widely used model to describe drug release from pharmaceutical matrices.

Korsmeyer-Peppas: Qt/Q¥ = Kktn…………. (14)

Where Kk is a constant incorporating structural and geometric characteristic of the drug dosage form and n is the release exponent, indicative of the drug release mechanism.

The value of n for a formulation, n = 0.45 for Fickian (Case I) release, >0.45 but <0.89 for non-Fickian (Anomalous) release and 0.89 for Case II (Zero order) release and >0.89 for super case II type of release. Case II transport generally refers to the dissolution of the polymeric matrix due to the relaxation of the polymer chain and anomalous transport (non-Fickian) refers to the summation of both diffusion and dissolution-controlled release.28

Fourier transformer infrared spectroscopy (FTIR) study

The compatibility between drug, polymer and other excipients was detected by FTIR spectra. The pellets were prepared on KBr-press. The spectra were recorded over the wave number range of 4000 to 400 cm-1. The FTIR spectra support the identification of the functional groups present in the compound. The FTIR spectra are also used in comparing with a standard FTIR spectrum of the pure drug to detect any physicochemical incompatibility between the drug and different excipients. FTIR of pure drug, okra gum, sodium alginate  and optimum formulation were carried out.29

Figure 1: FTIR Spectra of pure drug Norfloxacin

Figure 2: FTIR Spectra of Okra gum

Figure 3: FTIR Spectra of Sodium alginate

Figure 4: FTIR Spectra of Formulation F3

RESULTS AND DISCUSSION

Micromeritics properties

From the study of the micromeritics properties of the formulation it was found that the bulk density of all the formulation lies within range of 0.761 – 0.812 g/ml, tapped density within range of 0.835 - 0.890 g/ml. Floating microsphere of Norfloxacin prepared  with in the increased concentration of  okra gum (F3&F4) showed a decrease in bulk density and tapped density. Formulation of floating microspheres representing increase in okra gum concentration (F3 & F4) showed a high level of bulk and tapped density. This is related to the high porosity in the sphere matrix, which increases the medium flowability directly in the floating microspheres making them denser30. The Carr’s index lies within range of 6.76 – 11.70 and Hausner’s ratio within range of 1.2658 – 1.1277 which indicates that the prepared formulation has good flow property (Table 2). The Hausner ratio was measured to indicate the cohesion between the microsphere’s particles. The values of all the formulation were below 1.25 as shown in Table 2, Thus indicating good flow properties was easy handling during processing31

Table 2: Micromeritics properties of the formulation

Batch code

Bulk density (gm/ml) ± SD

Tapped density (gm/ml) ± SD

Carr’s index ± SD

Hausner’s ratio ± SD

F1

0.0048 ± 0.0045

0.5563 ± 0.0049

6.76 ± 0.0357

1.1277 ±0.0010

F2

0.3920 ± 0.0013

0.4693 ± 0.0021

11.70 ± 0.0578

1.1904 ±0.0085

F3

0.4312 ± 0.0020

0.5182 ± 0.0016

9.22 ± 0.0441

1.1834 ±0.0058

F4

0.3604 ±0.0011

0.4569 ± 0.0025

8.10 ± 0.0482

1.2658 ±0.0011

Drug content / Drug entrapment efficiency

Drug content is actual amount of drug entrapped in the microspheres. The percentage drug content of the all formulations of Norfloxacin floating microspheres was found between 95.21 ± 0.57 % to 96.87 ± 0.27 % (Table 3). The drug content for Norfloxacin floating microspheres prepared using different ratio of sodium alginate and okra gum (F3) was found 96.22 ± 0.79% Overall the drug content was uniform and reproducible in each batch of microspheres prepared. The method used to develop microspheres resulted in satisfactory entrapment of drug in polymer. Using sodium alginate and okra gum as natural polymer, the drug entrapment efficiency increases with polymer concentration. The entrapment efficiency has enhanced slightly with increase in cross linking time, whereas increase in cross linking concentration does not influence in drug loading process. Formulation F4 containing increasing concentration of okra gum showed slightly less drug content due to the diffusion of the drug in to the calcium chloride solution during the formation of the microspheres.

Table 3: Drug content of the formulations

Sr. No

Batch code

Drug Contents (%) ± SD

1

F1

96.87 ± 0.2743

2

F2

96.84 ± 0.8369

3

F3

96.22 ± 0.7968

4

F4

95.21 ± 0.5750

Percentage yield

All formulations F1 – F4 found percentage yield 97.14 – 95.20% which lied in the normal range in (Table 4). The percentage yield of floating microsphere was examined to determine the polymer effect (i.e. okra gum and sodium alginate) on the formulations. The percentage yield of all formulation F1& F4 range shown in Table 4. It’s obvious that the increment in polymer concentration led to an increase in % yield. This effect can be explained by the that as the concentration of alginate and okra gum increases the quantity of polymer becomes adequate to cover the Norfloxacin particles completely. In addition, microsphere become well distributed, discrete, and spherical and have no clumping giving a good % yield32.

Table 4: Percentage yield of the formulations

Sr. No

Batch code

Percentage yield (%)

1

F1

97.14

2

F2

96.84

3

F3

95.65

4

F4

95.20

Floating lag time and floating time

Floating lag time in the range of 1.21 – 1.76 min. and floating time >12hr for all formulations F1-F4. (Table 5). Floating lag time of all the formulation were calculated and it was found that all the formulations were able to float on the dissolution medium (0.1N HCl, pH 1.2) for 12hrs. The floating lag time at F1 formulation showed more as 1.76 min, it may be due to calcium chloride with a polymer responsible for producing a more viscous matrix, which may block the pores on the surface of microspheres. Thus due to high degree of cross-linking and thereby increasing the floating lag time. Moreover, the increase in the concentration of okra gum, formulation F3 & F4 resulted in decrease in floating lag time. This was due to the immediate cross-linking of the microsphere matrix as an outcome of polysaccharide composed of d-galactose, 1-2 rhamnose, 1-4 galacturonic acid groups in the okra gum which allows a certain degree of cross inking polymer in 0.1N HCl (pH1.2).

Table 5: Floating lag time and floating time of formulation

Sr No

Batch

code

Floating lag time             (min)

Floating time (hrs)

1

F1

1.76 ± 0.04630

>12

2

F2

1.35 ± 0.09391

> 11

3

F3

1.21 ± 0.00707

>12

4

F4

1.25 ± 0.04221

>12

Swelling studies

For all prepared batches (F1-F4), percent swelling ratio was found to be in the range of 10 – 20.66 %. The F1 batch showed the maximum swelling index. This is because of the hydrophilic nature of natural polymers which affected the swelling of the beads. (Table 6). This indicated that the swelling index of Norfloxacin microspheres increases with increase in the concentration of polymer. Sodium alginate is a hydrophilic polymer and along with okra gum forms mucilage. When the concentration of sodium alginate and okra gum increases, there are more hydrophilic sites available to attract and hold water molecules, leading to greater swelling.

Table 6: Swelling Index of formulations

Sl. No

Batch code

Swelling Index ± SD

1

F1

20.66 ± 0.02471

2

F2

15.3 ± 0.05241

3

F3

14.66 ± 0.0254

4

F5

10 ± 0.01679

Particle size determination

 Formulation F1-F4 batches of Norfloxacin floating microspheres were found average particle size in the range of 1.21-1.52 mm. (Table 7). Formulation F1to F4 particle size decreases with increasing concentration of okra gum. Formulation F1 to F2 representing an increase in concentration of okra gum which requires high energy for breaks of droplets and is more difficult to disperse due to enhancement of interfacial tension and diminished shearing efficiency, leading to the formation of large droplets of floating microspheres during the addition of polymer solution33   .

Table 7: Particle size determination of the formulations.

SI No

Batch code

Particle size (mm) ± SD

1

F1

1.51 ± 0.0251

2

F2

2.00 ± 0.0163

3

F3

1.46 ±0.0258

4

F4

1.27 ±0.0355

Surface characterization

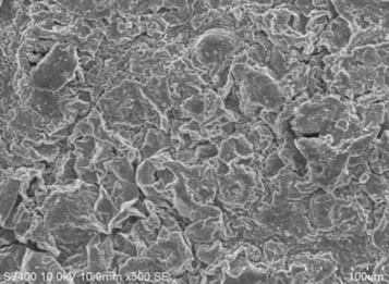
Shape and surface characteristic of optimised formulation F3 Norfloxacin floating microspheres examine by scanning electron microscopy. The SEM result showed that the particle size of formulation was found to have regular and spherical shape with rough and uneven surface (Figure 5).

A: 500mµ

B: 500µm

C: 2.00mm

D: 100µm

E: 50.0mm

F: 30.0mm

Figure 5: scanning electron microscopy for F3 represents different magnifications

In vitro drug release

The effect of different concentration of sodium alginate and okra gum on drug release in F1-F4 was significant (P<0.05). The release of norfloxacin from the prepared polymer mixture of alginate and okra gum microsphere was distinguished by an initial phase of high release followed by the second phase of moderate release and later its sustained release. This biphasic manner of release is a distinctive feature of matrix diffusion kinetics. A significant decrease in drug release was noted with an increment in the drug / polymer ratio in the prepared floating microspheres and is related to an increment in the density of the polymer matrix and in the diffusional path length that the drug molecule must transverse. Formulation F1 showed higher drug release 81.17% at end of 12hrs. This may be due to less concentration of okra gum with sodium bicarbonate and citric acid become more porous and the drug is released in faster manner. Further drug release in case of formulations F2 to F3   (72.10%  and 69.22 %) found  be decreased within increase in polymer concentration. This was described to the gelling property of the polymer which could sustain the drug release from its matrix as well as the ability to wet. The gel matrix which swells and withstands erosion under acidic conditions to maintain a constant diffusion pathlength, forming a highly cross-linked complex with minimum porosity.

Formulation F4 showed 64.53% drug release at the end of the 12hrs. This is attributed to the formulation of tight junction between drug and okra gum residue of sodium alginate with the calcium ion, which in turn decrease the swelling capacity of the microspheres. Therefore, Norfloxacin cannot be readily release from the microspheres as the surface roughness and porosity increase and stearic entanglement comprise a strong barrier; thus, poor entry of dissolution medium into the polymer matrix may delay drug release.

Figure 6: In Vitro release of Norfloxacin from various floating microspheres formulations (F1 to F4)

Kinetic study

The invitro drug release data of the Norfloxacin floating microspheres were subjected to the goodness of fit test by linear regression analysis. According to zero order and first order kinetics equation in order to determine mechanism of drug release. The kinetic results revealed that the selected formulations followed zero order, as correlation-coefficient (r2) values (0.9215 - 0.9889) of zero order are higher than that of first order values (0.1794 - 0.7529). When the data was plotted as per Higuchi kinetics, fairly linear plots were obtained with correlation coefficient values (r2) ranging from (0.9212 - 0.9524) for all the formulations. The drug release was proportional to square root of time indicating that the drug release from Norfloxacin floating microspheres was diffusion controlled. The release data obtained was also put in Korsmeyer peppas model in order to find out n values, which describe the drug release mechanism. The n values of Norfloxacin microspheres were found in the range of (1.3815– 1.4329) indicating the mechanism of drug release was non-fickian diffusion super case II type which is indicative of drug release mechanism involving combination of diffusion and chain relaxation mechanism. The above observations led us to conclude that, all the Norfloxacin microspheres followed diffusion controlled zero order kinetics. (Table 8)

Table 8: Release kinetics of Norfloxacin floating microspheres (F1-F4)

Formulation code

Zero order

First order

Higuchi

Korsmeyer peppas

R2

R2

R2

N

R2

F1

0.9754

0.672

0.9514

1.4226

0.9865

F2

0.9215

0.6317

0.9524

1.4329

0.9844

F3

0.9553

0.1794

0.9326

1.3935

0.9577

F4

0.9889

0.7529

0.9212

1.3815

0.9393

CONCLUSION:

Floating microspheres of Norfloxacin were successfully formulated using okra gum and sodium alginate by ionic gelation method. The resulting microspheres demonstrated good buoyancy, sustained drug release, and acceptable entrapment efficiency, indicating their potential for improved oral bioavailability and prolonged gastric retention of Norfloxacin.

ACKNOWLEDGEMENT:

We gratefully acknowledge the financial support provided by Rajiv Gandhi University of Health Sciences (RGUHS), Bengaluru, for this research project. The funding received under the UG Research Grant Scheme was instrumental in the successful execution of our work.

REFERENCES

  1. Khavare NB, Dasankoppa FS, Najundaswamy NG. A review on key parameters and components in designing of osmotic controlled oral drug delivery systems. Indian J Novel Drug Deliv. 2010;2(4):122-31.
  2. Sungthongjeen S, Paeratakul O, Limmatvapirat S, Puttipupathachorn S. Preparation and in-vitro evaluation of multiple-unit floating drug delivery system based on gas formation technique. Int J Pharm. 2006; 324:136-43.
  3. Sato Y, Kawashima Y, Takenchi H, Yamamoto H. Physicochemical properties to determine the buoyancy of hollow microspheres (microballoons) prepared by the emulsion solvent diffusion method. Eur J Pharm Biopharm. 2003; 55:297-304.
  4. Bairagi PD, Chaudhari PD, Baviskar DT, Suruse PB, Pawar AY. Formulation development and evaluation of floating wax microspheres of Tizanidine Hydrochloride. Asian J Pharm Pharmacol. 2018;4(5):673-9.
  5. Patel RP, Baria AH. Stomach-specific drug delivery of famotidine alginate beads. Int J Pharma Tech Res. 2009; 1:288-91.
  6. United States Pharmacopoeia. Water solid interaction of pharmaceutical systems. Vol. 1. Rockville, MD: USP; 2008. p. 177-9, 710, 1460-2.
  7. Tekade BW, Jadhao UT. Formulation and evaluation of metoclopramide hydrochloride sustained release microsphere. Res Rev J Pharm Pharm Sci. 2014; 1:22-31.
  8. Khan AD, Bajpai M. Formulation and evaluation of floating beads of verapamil hydrochloride. Int J PharmaTech Res. 2011; 3:1537-46.
  9. Jaiswal D, Bhattacharya A. Formulation and evaluation of oil entrapped floating alginate beads of ranitidine hydrochloride. Int J Pharm Pharm Sci. 2009; 1:128-40.
  10. Gareeb MM, Radhi ZA. Formulation and in-vitro evaluation of trimetazidine dihydrochloride floating beads. Int J Pharm Pharm Sci. 2014; 6:456-60.
  11. Fursale RA, Patil GB. Study of multiparticulate floating drug delivery system prepared by emulsion gelation technique. Int J ChemTech Res. 2009; 1:162-7.
  12. Khan AD, Bajpai M. Formulation and evaluation of floating beads of verapamil hydrochloride. Int J PharmaTech Res. 2011; 3:1537-46.
  13. Gupta R, Bajpai M. Influence of formulation parameter on Tizanidine hydrochloride nanoparticle. Int J Pharm Bio Sci. 2013;4(2):1056-78.
  14. Pavia DL, Lampman GM, Kriz GS. Spectroscopy. 9th ed. New Delhi: Cengage Learning   Pvt. Ltd.; 2007. p. 23–93.
  15. International Conference on Harmonisation (ICH). Stability testing of new drug substances and products Q1A(R2) and evaluation for stability data Q1E. 2003 Feb 6.
  16. Sammour OA, El-Ghamry HA, El-Nahas HM, Barakat W. Development and characterization of controlled release ketoprofen microspheres.J App Pharm Sci. 2012; 2:60-7.
  17. Wasnik S, Parmar P, Singh D, Ram A. Preparation and characterization of floating drug delivery system of azithromycin. Acta Pol Pharm. 2012; 69:515-22.
  18. Bhardwaj P, Chaurasia D, Singh R, Swarup A. Development and characterization of novel site specific hollow floating microspheres bearing 5-FU for stomach targeting. Sci World J. 2014; 2014:1-11.
  19. Jagtap Y, Ranade A, Ranpise N, Bhujbal R. Effect of various polymers concentrations on physicochemical properties of floating microspheres. Indian J Pharm Sci. 2012; 74:512-20.
  20. Kusuma D, Krishnan KS, Sri S, Sree V. Formulation and evaluation of floating microspheres of acebutolol. Int J Pharm Sci Rev Res. 2017; 46:31-6.
  21. Dhanalakshmi G, Lakshmikanth M, Veena R. Design and characterization of itopride HCl floating microspheres. Int J Invent Pharm Sci. 2013; 1:70-80.
  22. Rane BR, Gujarathi NA, Patel JK. Preparation and in vitro characterization of floating microspheres of nateglinide. Int J Pharm Sci Res. 2012; 3:4306-13.
  23. Negi M, Shukla VK, Easwari TS. Preparation and evaluation of ofloxacin sustained released gastro-retentive floating microspheres. UK J Pharm Biosci. 2014; 2:19-24.
  24. Murthy TEGK, Sravanthi P. Study of formulation variables affecting pioglitazone loading and its release from floating microspheres. Inventi Rapid Pharma Tech. 2011;2(1):156-60.
  25. Hrsoliya MS, Patel VM, Pathan JK, Chhatralia A, Meenakshi P, Ali M. Formulation of floating microspheres of ritonavir by cross linking-effect of NaHCO3 as gas forming agent. Int J Pharm Bio Arch. 2012;3(1):108-11.
  26. Yamada T, Onishi H, Machida Y. Sustained release ketoprofen microparticles with ethyl cellulose and carboxymethylethylcellulose. J Control Release. 2001; 75:271-82.
  27. Subbarao K, Suresh G. Development and evaluation of sustained release floating microspheres containing ropinirole HCl. Int J Pharm Sci Drug Res. 2018;10(3):158-64.
  28. Hamdy A, Ossama YA, Salem H. Formulation of controlled-release baclofen matrix tablets II: Influence of some hydrophobic excipients on the release rate and in-vitro evaluation. AAPS PharmSciTech. 2008;9(2):675-83.
  29. Kameswara RS, Yusuf MD, Saraswathi P, Rao CRR, Murali P, Vijayakumar V. Formulation and evaluation of Oro dispersible enalapril maleate tablets: A comparative study on natural and synthetic super disintegrants. Int J Adv Sci Res. 2015; 1:313-21.
  30. Garcia JG, Ghaly ES. Preliminary evaluation of glipizide spheres and compacts from spheres prepared by cross-linking technique. P R Health Sci J. 2001; 20:25-30.
  31. Lohani A, Singh G, Bhattacharya SS, Hegde RR, Verma A. Tailored-interpenetrating polymer network beads of κ-carrageenan and sodium carboxymethyl cellulose for controlled drug delivery. J Drug Deliv Sci Technol. 2016; 31:53-64.
  32. Shadab M, Ahuja A, Khar RK, Baboota S, Chuttani K, Mishra AK, et al. Gastroretentive drug delivery system of acyclovir-loaded alginate mucoadhesive microspheres: Formulation and evaluation. Drug Deliv. 2011; 18:255-64.
  33. Chouhan M, Chundawat AVS, Chauhan CS. Development and characterization of floating microspheres of esomeprazole magnesium trihydrate by solvent evaporation method. Int J Pharm Sci Res. 2017; 8:686-97.

Reference

  1. Khavare NB, Dasankoppa FS, Najundaswamy NG. A review on key parameters and components in designing of osmotic controlled oral drug delivery systems. Indian J Novel Drug Deliv. 2010;2(4):122-31.
  2. Sungthongjeen S, Paeratakul O, Limmatvapirat S, Puttipupathachorn S. Preparation and in-vitro evaluation of multiple-unit floating drug delivery system based on gas formation technique. Int J Pharm. 2006; 324:136-43.
  3. Sato Y, Kawashima Y, Takenchi H, Yamamoto H. Physicochemical properties to determine the buoyancy of hollow microspheres (microballoons) prepared by the emulsion solvent diffusion method. Eur J Pharm Biopharm. 2003; 55:297-304.
  4. Bairagi PD, Chaudhari PD, Baviskar DT, Suruse PB, Pawar AY. Formulation development and evaluation of floating wax microspheres of Tizanidine Hydrochloride. Asian J Pharm Pharmacol. 2018;4(5):673-9.
  5. Patel RP, Baria AH. Stomach-specific drug delivery of famotidine alginate beads. Int J Pharma Tech Res. 2009; 1:288-91.
  6. United States Pharmacopoeia. Water solid interaction of pharmaceutical systems. Vol. 1. Rockville, MD: USP; 2008. p. 177-9, 710, 1460-2.
  7. Tekade BW, Jadhao UT. Formulation and evaluation of metoclopramide hydrochloride sustained release microsphere. Res Rev J Pharm Pharm Sci. 2014; 1:22-31.
  8. Khan AD, Bajpai M. Formulation and evaluation of floating beads of verapamil hydrochloride. Int J PharmaTech Res. 2011; 3:1537-46.
  9. Jaiswal D, Bhattacharya A. Formulation and evaluation of oil entrapped floating alginate beads of ranitidine hydrochloride. Int J Pharm Pharm Sci. 2009; 1:128-40.
  10. Gareeb MM, Radhi ZA. Formulation and in-vitro evaluation of trimetazidine dihydrochloride floating beads. Int J Pharm Pharm Sci. 2014; 6:456-60.
  11. Fursale RA, Patil GB. Study of multiparticulate floating drug delivery system prepared by emulsion gelation technique. Int J ChemTech Res. 2009; 1:162-7.
  12. Khan AD, Bajpai M. Formulation and evaluation of floating beads of verapamil hydrochloride. Int J PharmaTech Res. 2011; 3:1537-46.
  13. Gupta R, Bajpai M. Influence of formulation parameter on Tizanidine hydrochloride nanoparticle. Int J Pharm Bio Sci. 2013;4(2):1056-78.
  14. Pavia DL, Lampman GM, Kriz GS. Spectroscopy. 9th ed. New Delhi: Cengage Learning   Pvt. Ltd.; 2007. p. 23–93.
  15. International Conference on Harmonisation (ICH). Stability testing of new drug substances and products Q1A(R2) and evaluation for stability data Q1E. 2003 Feb 6.
  16. Sammour OA, El-Ghamry HA, El-Nahas HM, Barakat W. Development and characterization of controlled release ketoprofen microspheres.J App Pharm Sci. 2012; 2:60-7.
  17. Wasnik S, Parmar P, Singh D, Ram A. Preparation and characterization of floating drug delivery system of azithromycin. Acta Pol Pharm. 2012; 69:515-22.
  18. Bhardwaj P, Chaurasia D, Singh R, Swarup A. Development and characterization of novel site specific hollow floating microspheres bearing 5-FU for stomach targeting. Sci World J. 2014; 2014:1-11.
  19. Jagtap Y, Ranade A, Ranpise N, Bhujbal R. Effect of various polymers concentrations on physicochemical properties of floating microspheres. Indian J Pharm Sci. 2012; 74:512-20.
  20. Kusuma D, Krishnan KS, Sri S, Sree V. Formulation and evaluation of floating microspheres of acebutolol. Int J Pharm Sci Rev Res. 2017; 46:31-6.
  21. Dhanalakshmi G, Lakshmikanth M, Veena R. Design and characterization of itopride HCl floating microspheres. Int J Invent Pharm Sci. 2013; 1:70-80.
  22. Rane BR, Gujarathi NA, Patel JK. Preparation and in vitro characterization of floating microspheres of nateglinide. Int J Pharm Sci Res. 2012; 3:4306-13.
  23. Negi M, Shukla VK, Easwari TS. Preparation and evaluation of ofloxacin sustained released gastro-retentive floating microspheres. UK J Pharm Biosci. 2014; 2:19-24.
  24. Murthy TEGK, Sravanthi P. Study of formulation variables affecting pioglitazone loading and its release from floating microspheres. Inventi Rapid Pharma Tech. 2011;2(1):156-60.
  25. Hrsoliya MS, Patel VM, Pathan JK, Chhatralia A, Meenakshi P, Ali M. Formulation of floating microspheres of ritonavir by cross linking-effect of NaHCO3 as gas forming agent. Int J Pharm Bio Arch. 2012;3(1):108-11.
  26. Yamada T, Onishi H, Machida Y. Sustained release ketoprofen microparticles with ethyl cellulose and carboxymethylethylcellulose. J Control Release. 2001; 75:271-82.
  27. Subbarao K, Suresh G. Development and evaluation of sustained release floating microspheres containing ropinirole HCl. Int J Pharm Sci Drug Res. 2018;10(3):158-64.
  28. Hamdy A, Ossama YA, Salem H. Formulation of controlled-release baclofen matrix tablets II: Influence of some hydrophobic excipients on the release rate and in-vitro evaluation. AAPS PharmSciTech. 2008;9(2):675-83.
  29. Kameswara RS, Yusuf MD, Saraswathi P, Rao CRR, Murali P, Vijayakumar V. Formulation and evaluation of Oro dispersible enalapril maleate tablets: A comparative study on natural and synthetic super disintegrants. Int J Adv Sci Res. 2015; 1:313-21.
  30. Garcia JG, Ghaly ES. Preliminary evaluation of glipizide spheres and compacts from spheres prepared by cross-linking technique. P R Health Sci J. 2001; 20:25-30.
  31. Lohani A, Singh G, Bhattacharya SS, Hegde RR, Verma A. Tailored-interpenetrating polymer network beads of κ-carrageenan and sodium carboxymethyl cellulose for controlled drug delivery. J Drug Deliv Sci Technol. 2016; 31:53-64.
  32. Shadab M, Ahuja A, Khar RK, Baboota S, Chuttani K, Mishra AK, et al. Gastroretentive drug delivery system of acyclovir-loaded alginate mucoadhesive microspheres: Formulation and evaluation. Drug Deliv. 2011; 18:255-64.
  33. Chouhan M, Chundawat AVS, Chauhan CS. Development and characterization of floating microspheres of esomeprazole magnesium trihydrate by solvent evaporation method. Int J Pharm Sci Res. 2017; 8:686-97.

Photo
Dr. Pradnya Patil
Corresponding author

N.E.T. Pharmacy College, Mantralayam Road, Raichur-584103

Photo
Somiyaz Begum
Co-author

N.E.T. Pharmacy College, Mantralayam Road, Raichur-584103

Photo
H. Doddayya
Co-author

N.E.T. Pharmacy College, Mantralayam Road, Raichur-584103

Photo
Sarfraz Md
Co-author

N.E.T. Pharmacy College, Mantralayam Road, Raichur-584103

Photo
Adidurga Rao
Co-author

N.E.T. Pharmacy College, Mantralayam Road, Raichur-584103

Somiyaz Begum, Dr. Pradnya Patil, H. Doddayya, Sarfraz Md, Adidurga Rao, Formulation And Evaluation of Oral Floating Microspheres of Norfloxacin Using Okra Gum, Int. J. of Pharm. Sci., 2025, Vol 3, Issue 6, 5264-5277. https://doi.org/10.5281/zenodo.15754631

More related articles
Analytical Method Development and Validation for S...
Monika Ingale, Shantanu Mane, Gopal Shinde, Ganesh Saraf, ...
Role of Artificial Intelligence in Pharmaceutical ...
Yash Borse , Ayush sawant , Dr. Moreshwar Patil , Dr. Sanjay Kshi...
Fennel-Powered Elegance: Formulation, Evaluation, ...
Tanmayee Zade, Radhika Gupta, Ruchika S. Sawarkar, Dr. Dinesh Biy...
The Cubic Revolution: Cubosomes in Pharma and Cosmetics...
Raslamol K, Remya Bernard, Abhirami, Aleena Shabu, Asika Sathian, Aswathi T B, Chinmaya A B, ...
A Review on Advancement in Inhalation Drug Delivery: “Current Trends and Futur...
Rajeswari. D, Tamizharasu. M, Nandhini. A, Dr. Senthil Rajan. D, ...
Pilot Plant Scale-Up of Oral Solid Dosage Forms Using Quality by Design (QbD)...
Aniket Bisen, Amita Rai, Purvi Yadav, Sakshi Bhosale, Monika Khambalkar, Rahul Waman, ...
Related Articles
Review Article On Organogels Methodology And Types Of Organogelators...
Rushikesh Khemnar, Sonia Singh, Nikhil Sutar, Pallavi Kaple, Avadhut Kulkarni, vitthal Dherange, Pan...
Development and Characterization of Antifungal Cream...
Ghadge Ishwari, Hyalij Shivani, Jadhav Shubham, Sonawane Mitesh, ...
The Intricate Landscape of Performance-Enhancing Drugs and Doping in Sports: Imp...
Arnab Roy, K. Rajeswar Dutt, Mahesh Kumar Yadav, Asfaque Ali, Laxman Kumar Mahto, Aman Sahu, Saurav ...
Use of Potato and Curry Leaves for Anti-Ageing Cream ...
Aayushi Yelgurwar , Chhavi Rahangdale , Divyani Dahake, Harshada Borekar, Mitali Bodhankar , ...
Analytical Method Development and Validation for Simultaneous Estimation of Mont...
Monika Ingale, Shantanu Mane, Gopal Shinde, Ganesh Saraf, ...
More related articles
Analytical Method Development and Validation for Simultaneous Estimation of Mont...
Monika Ingale, Shantanu Mane, Gopal Shinde, Ganesh Saraf, ...
Role of Artificial Intelligence in Pharmaceutical Research ...
Yash Borse , Ayush sawant , Dr. Moreshwar Patil , Dr. Sanjay Kshirsagar, ...
Fennel-Powered Elegance: Formulation, Evaluation, and Future Horizons of Peel-of...
Tanmayee Zade, Radhika Gupta, Ruchika S. Sawarkar, Dr. Dinesh Biyani, Milind Umekar, ...
Analytical Method Development and Validation for Simultaneous Estimation of Mont...
Monika Ingale, Shantanu Mane, Gopal Shinde, Ganesh Saraf, ...
Role of Artificial Intelligence in Pharmaceutical Research ...
Yash Borse , Ayush sawant , Dr. Moreshwar Patil , Dr. Sanjay Kshirsagar, ...
Fennel-Powered Elegance: Formulation, Evaluation, and Future Horizons of Peel-of...
Tanmayee Zade, Radhika Gupta, Ruchika S. Sawarkar, Dr. Dinesh Biyani, Milind Umekar, ...