View Article

Abstract

This comprehensive review on pancreatic cancer (PC), particularly Pancreatic Ductal Adenocarcinoma (PDAC), examines its rising global incidence and lethality (5-year survival rate \sim 11.5\%) by detailing its anatomy, pathology, diagnosis, and modern treatment. PDAC is strongly linked to modifiable risk factors like smoking, chronic pancreatitis, and diabetes, and is genetically driven by mutations in KRAS (over 90\% of cases) and tumor suppressors like TP53 and SMAD4. Diagnosis often occurs late due to non-specific symptoms, relying primarily on MDCT and EUS-FNA, supplemented by the evolving CA19-9 marker and newer liquid biopsy technologies like the PAC-MANN test. While surgical resection (e.g., the Whipple procedure) remains the only curative option, most patients require systemic therapy, with FOLFIRINOX being the highly effective but toxic mainstay for metastatic disease. The trend is shifting towards neoadjuvant chemotherapy to downstage tumors and precision oncology, highlighted by the success of PARP inhibitors for BRCA1/2-mutated tumors and emerging KRAS-targeted therapies, offering hope for improved stage-dependent prognoses.

Keywords

Pancreatic cancer, Pancreatic ductal adenocarcinoma (PDAC), KRAS mutation, FOLFIRINOX chemotherapy, Precision oncology

Introduction

Anatomy and Physiology of Pancreas:

The pancreas functions as both an endocrine and exocrine gland. It lacks a well-defined connective tissue capsule and is instead enclosed by a thin layer of loose connective tissue. This tissue extends into the gland as septa, dividing it into numerous lobules.[1]

The pancreas is located retroperitoneally, approximately at the level of the transpyloric plane. Anatomically, it is divided into four regions: the head, neck, body, and tail. The head of the pancreas sits within the C-shaped curve of the duodenum and extends a projection called the uncinate process, which wraps behind the superior mesenteric vessels as they pass from behind the pancreas into the root of the mesentery. Behind the pancreas lie several important structures, including the inferior vena cava, the beginning of the portal vein, the aorta, superior mesenteric vessels, diaphragmatic crura, coeliac plexus, the left kidney, and the left adrenal (suprarenal) gland. The splenic artery, known for its winding path, travels along the upper edge of the pancreas. The splenic vein passes behind the pancreas, where it receives the inferior mesenteric vein and unites with the superior mesenteric vein behind the neck of the pancreas to form the portal vein.[2]

FUNCTIONS OF PANCREAS:

The pancreas serves two main vital roles in the body: an endocrine function, which involves producing hormones that control blood sugar and regulate gland activity, and an exocrine function, which relates to its role in digestion.[3]

The endocrine function of the pancreas is carried out by the islets of Langerhans, which produce hormones such as insulin, proinsulin, amylin, C-peptide, somatostatin, pancreatic polypeptide (PP), and glucagon. Insulin works to decrease blood glucose levels, while glucagon increases them. [4]

SOME DISORDERS OF PANCREAS:

Inflammatory Diseases

Chronic and Acute Pancreatitis

Chronic pancreatitis (CP) is the leading cause of exocrine pancreatic insufficiency (EPI) in adults and is the most prevalent pancreatic disorder. Due to ongoing inflammation, pancreatic cells lose their normal function, and the enzymes meant for digestion activate prematurely, before reaching the small intestine. This inflammation also impairs insulin production, and in severe cases, digestive enzymes may start damaging the pancreas itself and nearby tissues. Without proper treatment, chronic pancreatitis can become life-threatening.[5]

Celiac Disease

Celiac disease is a long-term inflammatory disorder of the intestines, where consuming gluten—a protein present in wheat, barley, and rye—causes damage to the intestinal lining.[6] Even though the pancreas’s exocrine function remains intact in this condition, the reduced release of cholecystokinin—caused by the atrophy of the duodenal villi—leads to poor gallbladder contraction and decreased secretion of pancreatic enzymes. As a result, inflammation and intestinal damage can interfere with the pancreas’s ability to properly release digestive enzymes.[7]

Neoplastic Diseases

Tumors or Cysts

The most severe pancreatic disorders are neoplasms, which include endocrine tumors (pancreatic neuroendocrine tumors) and exocrine tumors (pancreatic cancer). Neuroendocrine tumors are a diverse group of diseases with varied clinical and pathological characteristics, typically progressing more slowly than non-endocrine tumors.[8]

Pancreatic ductal adenocarcinoma (PDAC) makes up more than 90% of all pancreatic cancer cases and is the primary type of exocrine tumor.[9]

The tumor’s distinct microenvironment and aggressive behaviour cause it to respond poorly to standard chemotherapy, resulting in a low overall 5-year survival rate of just 8.5%.[3]

Hereditary disease 

Cystic fibrosis

Cystic fibrosis is a hereditary disorder that damages the pancreatic ducts and is the second most common cause of exocrine pancreatic insufficiency (EPI). In individuals with cystic fibrosis, pancreatic cells deteriorate and become fibrotic, while thick mucus builds up within the pancreatic ducts. This leads to both exocrine and endocrine pancreatic insufficiency. Proper nutrition plays a crucial role in managing cystic fibrosis and EPI. In these conditions, thick, sticky mucus is produced in the lungs and digestive tract, causing blockages in various organs.[10]

Shwachman-Diamond Syndrome

Shwachman-Diamond syndrome (SDS) is an inherited autosomal recessive disorder marked by pancreatic exocrine insufficiency. Its clinical signs include neutropenia, anaemia, and thrombocytopenia [11] Additional symptoms are frequent infections, bone abnormalities, and impaired growth. This syndrome may also increase the risk of developing tumors in the blood-forming (hematopoietic) system. Individuals with SDS often lack the pancreatic cells responsible for producing digestive enzymes.[3]

CANCER AND ITS TYPES:

When normal cells are irreparably damaged, they undergo apoptosis, 

process of programmed cell death. However, cancer cells evade apoptosis and continue to grow uncontrollably. Cancer refers to a group of diseases characterized by the unchecked division of cells and their ability to invade nearby tissues or spread to distant parts of the body through metastasis. This uncontrolled and often rapid cell growth can result in either benign or malignant tumors. Benign tumors remain localized, do not invade other tissues, but may compress surrounding vital structures. In contrast, malignant tumors can infiltrate other organs, spread to distant sites, and pose a serious threat to life.[12]

Figure 1 CANCEROUS CELLS

Cancer can arise in nearly any organ or tissue, including the lungs, colon, breast, skin, bones, and nervous system. There are many factors that can cause cancer, such as radiation, sunlight, tobacco use, certain viruses, benzene, toxic mushrooms, and aflatoxin. However, for many cancers, the exact cause is still unknown. Among all types, lung cancer is the leading cause of cancer-related deaths.[13]

PANCREATIC CANCER:

Pancreatic cancer is a major cause of cancer-related deaths worldwide, with its global impact more than doubling in the past 25 years. The highest rates are seen in North America, Europe, and Australia. While much of this rise is linked to aging populations, several key risk factors that can be modified—such as cigarette smoking, obesity, diabetes, and alcohol consumption—also play a significant role. As these risk factors become more common in many parts of the world, age-adjusted rates of pancreatic cancer are increasing. However, the influence of each risk factor varies by region due to differences in their prevalence and the effectiveness of prevention efforts.[14]

Pancreatic carcinoma is responsible for over 250,000 deaths each year. It ranks as the 13th most commonly diagnosed cancer and the 8th leading cause of cancer-related deaths. It has one of the poorest survival rates of all cancers, with a mortality-to-incidence ratio of 98%.[15]

Surgical removal of the tumor can result in a 5-year survival rate of around 20%, but due to extensive local spread or metastasis, only 10–20% of patients are eligible for pancreatic resection.[16]

Based on SEER data from 2008–2012, pancreatic cancer occurred at a rate of 12.4 new cases per 100,000 people annually. Around 1.5% of men and women are expected to be diagnosed with pancreatic cancer during their lifetime.[17]

Types of Pancreatic Cancer

Pancreatic cancers are generally categorized into two main types:

  1. Exocrine tumors, which are the most common and account for about 95% of cases
  2. Endocrine tumors, also known as pancreatic neuroendocrine tumors (Pannetts)

1. Exocrine Pancreatic Tumors

These tumors originate from the ductal or acinar cells of the pancreas, which are involved in producing digestive enzymes.

A. Pancreatic Ductal Adenocarcinoma (PDAC)

Pancreatic ductal adenocarcinoma (PDAC) is the predominant form of pancreatic cancer, making up about 90% of all pancreatic malignancies. It develops from the ductal epithelial cells of the pancreas, which secrete and transport digestive enzymes into the small intestine. PDAC most commonly arises in the head of the pancreas, which can occasionally result in earlier symptoms like jaundice caused by bile duct obstruction. Nevertheless, PDAC is recognized for its aggressive nature and is usually diagnosed at an advanced stage, leading to a very poor prognosis [18].

B. Adenosquamous Carcinoma

Aden squamous carcinoma of the pancreas is an uncommon type of cancer, representing less than 5% of all pancreatic tumors. It is defined by the coexistence of both adenocarcinoma and squamous cell carcinoma elements within a single tumor, setting it apart from the more prevalent pancreatic ductal adenocarcinoma (PDAC). Clinically, this subtype is regarded as more aggressive than PDAC, typically linked to a worse prognosis, increased risk of metastasis, and diminished response to standard therapies [19].

C. Acinar Cell Carcinoma

Acinar cell carcinoma is an uncommon pancreatic cancer that originates from acinar cells, which specialize in producing digestive enzymes such as trypsin, chymotrypsin, and lipase. This type of tumor represents about 1–2% of all pancreatic neoplasms and is more commonly seen in middle-aged to older adults, with a slight preference for males. Unlike pancreatic ductal adenocarcinoma, acinar cell carcinoma often presents with fewer early symptoms, although it can sometimes cause a unique clinical condition known as lipase hypersecretion syndrome. This syndrome results from the overproduction of pancreatic enzymes, especially lipase, leading to symptoms such as subcutaneous fat necrosis, painful skin nodules, joint pain resembling arthritis, and elevated serum lipase levels. Although acinar cell carcinoma is generally viewed as less aggressive than pancreatic ductal adenocarcinoma, it can still exhibit local invasion and metastasis, often necessitating a combination of surgery and systemic therapy [20].

D. Pancreatoblastoma

Pancreatoblastoma is an uncommon pancreatic tumor that mainly affects children, usually those under 10 years old. Histologically, it is marked by distinctive squamoid nests—clusters of epithelial cells showing squamous differentiation—encased by acinar or ductal structures. In contrast to the more common and aggressive pancreatic ductal adenocarcinoma (PDAC), pancreatoblastoma typically has a more favourable prognosis, particularly when identified early and treated with surgical removal, often combined with chemotherapy. Although rare, timely diagnosis is essential, as delays can result in local spread or distant metastasis [21].

E. Colloid Carcinoma

Colloid carcinoma of the pancreas, also referred to as mucinous non-cystic carcinoma, is an uncommon pancreatic cancer subtype that usually develops from intraductal papillary mucinous neoplasms (IPMNs), especially those classified as the intestinal type. Histologically, colloid carcinoma is distinguished by abundant extracellular mucin that forms large mucin-filled spaces containing scattered clusters of cancerous epithelial cells. Unlike typical pancreatic ductal adenocarcinoma, colloid carcinoma usually exhibits a less invasive, more expansive growth pattern and is linked to a more favourable prognosis, with better survival outcomes when identified early and surgically treated [22].

F. Cystic Neoplasms

Pancreatic cystic neoplasms are a category of tumors that are frequently precancerous or exhibit low-grade malignancy, with their likelihood of advancing to invasive cancer depending on their specific type and histological characteristics.

Serous cystadenomas are generally benign tumors most commonly seen in older women. On imaging, they display a characteristic “honeycomb” or sponge-like pattern caused by many small cysts filled with clear, serous fluid. These tumors have a very low chance of becoming malignant and typically do not need surgical removal unless they cause symptoms related to their size or location.[23]

2. Endocrine Tumors (PanNETs)

They arise from the pancreatic islet cells and represent less than 5% of all pancreatic tumors.

A. Functioning PanNETs

Some pancreatic tumors are functional neuroendocrine neoplasms that release hormones, causing specific clinical syndromes depending on the hormone secreted.

Insulinomas are tumors that produce excessive insulin, leading to hypoglycaemic episodes marked by symptoms like sweating, confusion, weakness, and, in severe instances, loss of consciousness.[24]

B. Non-functioning PanNETs

Non-functioning pancreatic neuroendocrine tumors do not produce active hormones and therefore usually do not present with hormone-related symptoms. As a result, they often remain symptom-free until they enlarge enough to cause symptoms from pressure on surrounding structures, such as abdominal pain, jaundice, or digestive problems. These tumors are often discovered incidentally during imaging tests conducted for other reasons or while investigating vague symptoms. Early detection is difficult, and diagnosis typically depends on imaging methods like CT scans, MRI, or endoscopic ultrasound [25].

Etiology and risk factors

Non-Hereditary Genetic Alterations

Pancreatic cancer (PC) develops due to the buildup of somatic genetic mutations, which include activating mutations in proto-oncogenes like KRAS and inactivating mutations in tumour suppressor genes such as CDKN2A/p16, TP53/p53, SMAD4, BRCA2, and several others. Additionally, changes affecting gene promoters, microRNA (miRNA) expression patterns, and chromatin structure have been observed in pancreatic cancer. Such changes may involve methylation-driven activation of oncogenes, as well as methylation-induced silencing of tumor suppressor genes and DNA repair genes. Many genes have been found to undergo hypermethylation in pancreatic cancer. Repeated somatic mutations have been detected in genes responsible for regulating the epigenome in PC, notably those involving the SWI/SNF complex and the histone-lysine N-methyltransferase 2 (KMT2) family. Such DNA methylation changes can be present in pancreatic fluid, suggesting their potential use as biomarkers for the early diagnosis of pancreatic cancer [26].

Modifiable risk factors

a. Cigarette smoking.

Smoking cigarettes is a widely recognized contributor to the development of pancreatic cancer [27,28]. A meta-analysis evaluating smoking as a risk factor for pancreatic cancer reported that current smokers have 1.74 times higher odds (95% CI 1.61–1.87) of developing the disease compared to individuals who have never smoked [29]. The likelihood of developing pancreatic cancer increases with the number of cigarettes smoked daily, with individuals consuming over 35 cigarettes per day having an odds ratio of 3.0 (95% CI 2.2–4.1) compared to non-smokers [30]. Stopping smoking significantly lowers the risk, with former smokers having an odds ratio of 1.2 (95% CI 1.11–1.29) for pancreatic cancer relative to those who have never smoked [31]. Notably, the longer a person has quit smoking, the more their risk declines, eventually reaching the same level as non-smokers within 10–20 years of cessation [32,33]. While most studies in the meta-analysis were conducted in Europe, combined data from Japanese cohort studies showed consistent results [34]. Extensive research has not found a clear link between second-hand smoke exposure or parental smoking habits and pancreatic cancer risk among non-smokers [35,36]. Certain studies suggest that non-smokers who use other tobacco products, particularly cigars, may have a higher risk of pancreatic cancer [37]; however, other research has not confirmed this association [38,39].

b. Diabetes mellitus.

Diabetes mellitus can act as both a predisposing factor for pancreatic cancer and a result of the disease, with numerous newly diagnosed patients experiencing either the development of diabetes or a deterioration of their existing condition. Having diabetes for more than three years is linked to a 1.5–2.4 times higher likelihood of developing pancreatic cancer [40,41]. While certain studies report no additional risk of pancreatic cancer in people living with diabetes for over 15–20 years [41,42], other research suggests that the increased risk persists even after 20 years of diabetes [43]. A significant number of pancreatic cancer patients experience new-onset diabetes in the months before diagnosis, and those who have the cancer surgically removed frequently see their diabetes improve or disappear afterward [44].

c. Alcohol.

While certain studies suggest that heavy alcohol consumption raises the risk of pancreatic cancer, others have found no statistically significant link. Data pooled from 5,585 cases and 11,827 controls in the PanC4 study showed a statistically significant 1.6-fold higher risk (95% CI 1.2–2.2) of pancreatic cancer among individuals consuming nine or more drinks daily, compared to those drinking less than one drink per day [45]. Combined data from North America, Australia, and Europe reported a 1.22 times greater risk (95% CI 1.03–1.45) of pancreatic cancer in people consuming more than 30 g of alcohol daily, compared to non-drinkers, with no notable difference between men and women [46]. The NIH-AARP Diet and Health study, involving over 430,000 participants (1,149 diagnosed with pancreatic cancer), found a 1.45-fold increased risk (95% CI 1.17–1.80) among those who consumed over three drinks daily [47]. A separate analysis from the American Cancer Society Cancer Prevention Study II, focusing on non-smokers, revealed a 1.32-fold higher risk (95% CI 1.10–1.57) of pancreatic cancer among people drinking three or more liquor drinks daily versus non-drinkers [48].

d. Pancreatitis

Similar to diabetes, pancreatitis increases the risk of pancreatic cancer since the inflammation and tissue damage it causes can contribute to cancer formation; however, pancreatitis itself may also arise due to an existing pancreatic cancer [49]. Data from the PanC4 consortium revealed that 6% of pancreatic cancer patients had a prior history of pancreatitis, compared to 1% of healthy controls [50]. When considering the time since pancreatitis diagnosis, individuals diagnosed within the past two years had a 2.71-fold increased risk of developing pancreatic cancer (95% CI 1.96–3.74) [50]. A large Danish population-based case–control study reported similar findings regarding the link between pancreatitis and pancreatic cancer. Unlike PanC4, this Danish study used hospital-based diagnoses, comparing 41,669 patients with newly diagnosed acute pancreatitis to 208,340 individuals without the condition. Within two years of an acute pancreatitis diagnosis, the relative hazard of pancreatic cancer was found to be 19.28 times higher (95% CI 14.62–25.41) compared to people without pancreatitis.

e. Obesity

Obesity is closely linked to eating patterns, leading to excess fat storage in adipose tissue as a result of consuming more calories than needed. The buildup of fat in the abdominal region is particularly significant as a risk factor for pancreatic cancer (PC). Findings from an American Cancer Society (ACR) study indicated that obese men and women had twice the risk of pancreatic cancer compared to those with a healthy BMI [51]. A European population cohort study (EPIC) found that weight gain leading to higher BMI was associated with an increased risk of several cancers, including pancreatic cancer in men. A meta-analysis of multiple cohort studies showed that every 5 kg/m² rise in BMI was linked to a 12% higher risk of pancreatic cancer [53].

Non-modifiable risk factors

Risk factors that are not modifiable include gender, age, ethnicity, family history of pancreatic cancer, genetic factors, chronic infections, blood group.

a. Gender

The occurrence of pancreatic cancer is higher in men compared to women. Worldwide, the incidence rate of pancreatic cancer is 5.5 cases per 100,000 men and 4.0 cases per 100,000 women [54]. The higher prevalence of pancreatic cancer in men may be linked to environmental and workplace exposures, along with lifestyle habits like heavy smoking and high alcohol consumption. However, there may also be unknown genetic factors that affect cancer incidence and mortality differently between men and women.

b. Age

According to the SEER Cancer Statistics review, pancreatic cancer primarily affects older individuals, with most patients being over 50 years old [55]. The likelihood of developing pancreatic cancer rises with advancing age, reaching its highest incidence between 60 and 80 years [56,57]. Cases of pancreatic cancer are uncommon before age 40, and the average age at diagnosis for over 50% of pancreatic adenocarcinoma patients is 71 years. The exact cause of this late onset of pancreatic cancer remains unclear. One possible explanation is that after a pancreatic lesion or inflammation develops, it might take many years to progress into a malignant tumor. Nonetheless, additional research is required to better understand this phenomenon

c. Ethnicity

Numerous studies have reported notable variations in pancreatic cancer incidence among different racial groups [58,59]. The rate of pancreatic cancer is higher among African-Americans compared to Caucasians, whereas Asian-Americans and Pacific Islanders have the lowest incidence [60]. Overall, Black individuals face a significantly greater risk of developing pancreatic cancer than people from other racial backgrounds [61]. These racial disparities in pancreatic cancer rates may partly be explained by modifiable risk factors, including poor diet, alcohol consumption, smoking, and vitamin D deficiency. However, certain population-based studies suggest that these differences cannot be fully accounted for by the currently known or suspected risk factors.

d. Family history

Approximately 5–10% of pancreatic cancer patients report having a family history of the disease [62,63]. Most research defines familial pancreatic cancer as cases occurring in families where at least two first-degree relatives (such as a parent, sibling, or child) are diagnosed with the disease. Studies tracking affected families indicate that first-degree relatives of those with familial pancreatic cancer face a nine times greater risk of developing the disease compared to the general population [64]. The risk doubles when two first-degree relatives are affected [65] and escalates to a 32-fold increase in families with three or more first-degree relatives diagnosed with pancreatic cancer [66]. Research suggests that families with early-onset cases of pancreatic cancer (diagnosed before age 50) have the highest risk levels, compared to families without such early-onset cases [67]. Individuals with familial pancreatic cancer tend to have a greater number of precancerous pancreatic lesions than patients with sporadic cases [63], and they also face a higher risk of developing cancers in other organs [68].

e. ABO blood group

ABO antigens are present not only on red blood cell membranes but also on the surfaces of various normal and abnormal cells and tissues. Since the initial clinical observations over six decades ago, researchers have extensively studied the link between ABO blood type and cancer, and it is now well established that ABO antigens influence the risk of several cancers, including pancreatic cancer [86]. Research conducted in the UK [69] and across six countries [70] found that individuals with blood group A have a higher likelihood of developing pancreatic cancer. Research conducted in the UK [69] and across six countries [70] found that individuals with blood group A have a higher likelihood of developing pancreatic cancer. Research conducted in the UK [69] and across six countries [88] found that individuals with blood group A have a higher likelihood of developing pancreatic cancer. An Italian study [71] reported a higher pancreatic cancer risk in people with blood type B, while a US cohort study [72] revealed that individuals with blood types A, B, or AB had a greater risk compared to those with blood type O. The “Panscan I” genome-wide association study [73] identified a link between non-O blood types and pancreatic cancer, which was later confirmed by Rizzato et al [74].

Hereditary risk factors

Li Fraumeni syndrome:

Li-Fraumeni syndrome (LFS) is a genetic disorder that significantly increases the risk of various cancers, many of which develop at an early age. The five most common cancers linked to LFS are adrenocortical carcinoma, breast cancer, tumours of the central nervous system, osteosarcoma, and soft-tissue sarcoma [75]. LFS is also linked to several other cancers, such as leukaemia, colorectal, stomach, lung, melanoma, paediatric head and neck cancers, pancreatic cancer, and prostate cancer. Individuals who survive one cancer associated with LFS are at a heightened risk of developing new primary cancers or secondary cancers caused by prior treatments. People with classic LFS have a lifetime cancer risk of about 90% for women and 70% for men, with half of these cancers appearing before the age of 40.

Pathophysiology

Pancreatic ductal adenocarcinoma (PDAC) is among the deadliest solid tumours in humans, characterized histologically by a distinct and highly active tumor microenvironment (TME) that changes dynamically as the cancer progresses [76].

The TME is made up of various non-cancerous cells, including cancer-associated fibroblasts, immune cells, endothelial cells, and nerve cells.

In addition, the TME is rich in extracellular matrix elements like collagen, hyaluronic acid, and matricellular proteins, which together form a constantly changing, low-blood-supply environment where cellular and non-cellular components interact, fostering tumor growth and resistance to treatment.

Recent extensive research has greatly advanced knowledge about the biology and mechanisms of the TME in PDAC, leading to the development of new stroma-targeted therapeutic strategies that could potentially improve the currently poor survival rates of PDAC patients.

Despite promising findings in laboratory studies, no anti-stromal therapies have yet been approved for clinical use, as there remains a significant gap between preclinical success and clinical trial failures.

Moreover, new evidence indicates that some components of the TME may actually inhibit tumor growth, making the development of precise, effective therapies even more complex.[77]

Clinical features:

Symptoms:

Central abdominal pain: Pain is common symptom and is usually incessant and gnawing, epigastric, radiate from the upper abdomen to the back, increasing on lying down and relieved by sitting up or bending forwards. Weight loss, obstructive jaundice and steatorrhea are often found. The pain results invasion of the celiac plexus.[78]

Others: Loss of weight and cachesia. Symptoms depend upon the site of the tumor.

Carcinoma of the head of pancreas: They present early because of the obstruction to the common bile duct by the tumor produces obstructive jaundice (due to obstruction of bile flow), often with severe pruritus (secondary cholestasis). Other symptoms include clay-colored stools with or without melena or silver stools. Obstruction of the pancreatic duct may cause episodes of pancreatitis. Carcinoma of the body and tail of the pancreas: May be silent till quite large and widely disseminated. [79]

Physical Signs:

General:

Pallor, jaundice and weight loss may be present. Scratch marks and erythema ab igne is seen.

Abdominal mass: A mass may be felt in the epigastrium; the liver may be enlarged (hepatomegaly) due to biliary obstruction or secondary involvement (hepatic metastasis). [81]

Courvoisier's law: A distended non-tender gallbladder may be palpable in a jaundiced patient due toistal biliary obstruction by a pancreatic cancer.

Due to spread of tumors with peritoneal involvement and ascites, shifting dullness and fluid thrill can be elicited. On per rectalumination nodules (Blumer's shelf) or peritoneal fluid may be felt. [80]

Involvement of the left supraclavicular node (Virchow's node) and umbilicus (Sister Mary Joseph's node) indicates advanced carcinoma

Other presenting physical signs: Migratory thrombophlebitis recurrent venous thrombosis (Trousseau sign), diabetes polyarthritis, paraneoplastic syndromes (Cushing syndrome), skin nodules (secondary to localized fat necrosis and associated inflammation) and hypercalcemia may be seen in some cases. [82]

Diagnosis

Patients with pancreatic cancer often exhibit vague symptoms like abdominal pain and weight loss, which can lead to delays in diagnosis. However, even when the disease is identified shortly after symptoms appear, most cases are already at an advanced stage [83]. In recent years, advancements in diagnostic imaging methods—such as multi-detector-row computed tomography (MDCT), magnetic resonance imaging (MRI), and endoscopic ultrasound (EUS)—have improved the detection of pancreatic cancer, although certain limitations still persist.

Laboratory tests

In 1979, Koprowski identified a monoclonal antibody derived from colorectal carcinoma cells that targets antigenic sites on a sialylated Lewis A blood group oligosaccharide. He later named this antibody serum carbohydrate antigen 19-9 (CA19-9) [84,85]. Research on the clinical usefulness of CA19-9 for diagnosing pancreatic cancer has involved small-scale studies, making meta-analyses essential to obtain significant and reliable findings [86]. Several tumor markers have been investigated in relation to pancreatic cancer, such as carbohydrate antigen 19-9 (CA19-9), CA242, and carcinoembryonic antigen (CEA) [87].

Blood Tests

PACC-MANN Test

Pancreatic ductal adenocarcinoma (PDAC) is among the most lethal cancers globally, mainly because it is typically diagnosed at a late stage and progresses rapidly. The five-year survival rate for PDAC is under 10%, as the majority of patients are identified when the disease is already advanced or has metastasized. Detecting pancreatic cancer at an early stage has been a major clinical hurdle, as the disease usually presents no symptoms in its initial phases, and current imaging methods often miss small or early-stage tumors. In this regard, the PAC-MANN test (Pancreatic Adenocarcinoma Multiplexed Analysis of Neoantigens and Nucleic acids) marks a significant breakthrough in non-invasive cancer detection.

The PAC-MANN test is a liquid biopsy performed on blood samples that integrates various molecular techniques to detect pancreatic cancer-related markers in circulating cell-free DNA (cfDNA). Unlike traditional single-analyte methods, PAC-MANN employs a multimodal approach. The test simultaneously examines circulating tumor DNA (ctDNA) for genetic mutations, especially in key oncogenes and tumor suppressors like KRAS, TP53, and SMAD4. It also analyses abnormal methylation patterns that signal malignant changes and studies cfDNA fragmentomics—the size, structure, and distribution of DNA fragments released by tumor cells. This comprehensive, multi-parameter approach offers significantly greater sensitivity and specificity than conventional biomarker tests [88].

Imaging Techniques

Recently, advances in diagnostic imaging methods—including multi-detector-row computed tomography (MDCT), magnetic resonance imaging (MRI), and endoscopic ultrasound (EUS)—have enhanced the detection of pancreatic carcinoma, though certain inherent limitations remain [89]. Detecting cancer early is essential for identifying small tumors and enabling curative surgical treatment [90].

CT

CT is the most commonly used imaging method for detecting and staging pancreatic carcinoma. This cancer is marked by a dense fibrous stroma and low blood supply, which causes the tumor to show less enhancement than the surrounding pancreatic tissue during the early phase of dynamic CT, with gradual enhancement observed in the delayed phase [91]. They reported that the average contrast between the tumor and pancreas during the pancreatic phase (40–70 seconds after intravenous contrast injection at 3 ml/s) was significantly higher than during the hepatic phases (70–100 seconds after injection) by using two-phase helical CT scans performed in both phases. This approach has enhanced the detection of pancreatic adenocarcinoma, which typically shows less enhancement than the surrounding tissue in pancreatic phase images [92].

MRI

Advancements in technology and technique have enhanced MRI’s capability to diagnose pancreatic carcinoma. MRI provides several advantages for pancreatic imaging, including superior soft tissue contrast compared to CT. In a comparison of MR images enhanced with gadolinium versus mangafodipir trisodium in patients suspected of having pancreatic tumors, gradient-recalled echo images enhanced with mangafodipir trisodium were notably better at outlining pancreatic tumors than those enhanced with gadolinium chelates [93].

EUS

EUS provides excellent views of the pancreas from the duodenum or stomach and generates high-resolution images. It is regarded as one of the most precise techniques for detecting focal pancreatic lesions, particularly in patients with small tumors measuring 3 cm or less [94,95]. EUS uniquely allows for tissue sampling through EUS-guided fine-needle aspiration (FNA). Since its introduction in the early 1990s, EUS-FNA has become a safe and reliable imaging method for obtaining tissue diagnoses in patients with pancreaticobiliary conditions, especially those diagnosed with pancreatic cancer [96].

Biopsy

Many leading surgeons hold the view that a pancreatic biopsy should always be performed before proceeding with major surgical interventions [97]. Some surgeons argue that pancreatic biopsy does not provide sufficient information to justify the risks associated with obtaining the specimen [98]. Pancreatic cancer (PC) is typically diagnosed through biochemical tests, imaging studies, and tissue biopsy. However, biochemical tests have low specificity; for example, carbohydrate antigen 19-9 (CA19-9) is the most commonly used biochemical marker for detecting PC, but its diagnostic accuracy is limited, with an area under the curve (AUC) of only 0.7 when distinguishing patients with PC from healthy individuals [99].

CTCs and ctDNA

CTCs are cancer cells originating from solid tumors that enter the peripheral bloodstream. They are released as a result of tumor-induced angiogenesis and travel through normal blood vessels and capillaries [100]. Thus, the presence of CTCs typically indicates invasion and metastasis of the primary tumor. CTCs hold significant prognostic importance for pancreatic cancer patients. However, many researchers question their diagnostic value because of their limited and inconsistent sensitivity, which ranges from 25% to 100%, depending on the stage of pancreatic cancer at diagnosis [101,102]. Furthermore, CTCs have proven to be an effective biomarker for distinguishing between local/regional and metastatic disease, with an area under the curve (AUC) of 0.885 (95% CI: 0.80–0.969, P < 0.001) when the threshold was set at ≥3 CTCs per 4 mL of venous blood [103].

Circulating exosomes

Exosomes are extracellular vesicles (EVs) enclosed by a lipid bilayer, measuring about 30–150 nm in size. They consist of a lipid membrane embedded with various proteins and carry a range of nucleic acids, proteins, and lipids inside [104]. Exosomes are released by all cell types, including tumor cells, and circulate in the bloodstream. Recently, a growing number of studies have emphasized the potential of extracellular vesicles (EVs) or circulating exosomes (crExos) as diagnostic tools for early pancreatic cancer detection. Using multiple plasmonic assays to analyze tumor-derived EVs [105], one study identified a protein marker profile—including EGFR, EpCAM, MUC-1, GPC-1, and WNT2—that achieved an accuracy of 84%, with 86% sensitivity and 81% specificity for detecting PDAC. Among these markers, GPC-1, a cell surface proteoglycan, demonstrated the best diagnostic performance, highlighting its potential for pancreatic cancer detection. Another study employing mass spectrometry found that GPC-1 was specifically enriched on exosomes derived from cancer cells. They reported that circulating exosomes from all pancreatic cancer patients had significantly higher GPC-1 levels compared to healthy controls, with both sensitivity and specificity reaching 100%.

Staging

Pancreatic cancer is staged according to the TNM system and the AJCC (American Joint Committee on Cancer) classification. The primary purpose of staging pancreatic adenocarcinoma is to guide the selection of the most suitable treatment for the patient.

A recent study compared EUS, MDR-CT, MRI, and angiography in evaluating pancreatic cancer staging and respectability. The results showed that MDR-CT had the highest accuracy for determining the extent of the primary tumor (73%), locoregional spread (74%), vascular invasion (83%), distant metastases (88%), tumor TNM stage (46%), and tumor respectability (83%). In contrast, EUS was most accurate in measuring tumor size (r≈0.85) and assessing lymph node involvement (65%). EUS remains the preferred method for diagnosing small tumors that are not detectable by CT [106].

TREATMENT APPROACHES:

Surgical interventions:

Pancreatic adenocarcinoma continues to be one of the most difficult cancers to treat, with limited treatment options and a poor prognosis, primarily because it is typically detected at an advanced stage. [107] This is partly due to the fact that early-stage pancreatic cancer usually causes no symptoms or only vague, nonspecific ones, making early diagnosis particularly difficult. [108]

Surgical intervention is considered the most effective and the only potentially curative treatment for pancreatic cancer. However, due to the stage at diagnosis, only about 20% of patients are eligible for surgery.[109] Among those who undergo resection, up to 80% eventually experience a recurrence. Compared to other solid tumors that are surgically removed, pancreatic cancer has the worst outcomes. Patients who have had surgery are typically selected for adjuvant treatment, either with chemotherapy alone or combined with radiation. Despite this, the median survival following surgery and adjuvant therapy is approximately 2 years, [110] and only about 20% of patients survive beyond 5 years.  [111]

Pancreaticoduodenectomy (Whipple Procedure):

The standard Whipple procedure, also known as pancreaticoduodenectomy, involves the surgical removal of the pancreatic head, along with the duodenum, gallbladder, common bile duct, and part of the stomach. This is followed by reconstructing the digestive tract through a series of anastomoses. It is the primary surgical approach used for treating tumors located in the head of the pancreas. [112]

A modified version of the procedure, called pylorus-preserving pancreaticoduodenectomy (PPPD), retains the pylorus of the stomach to help minimize symptoms associated with stomach removal. Research indicates that PPPD provides comparable survival outcomes to the traditional Whipple procedure, while also resulting in reduced blood loss and a shorter duration of surgery. [113]

Distal pancreatectomy:

For intraductal papillary mucinous neoplasms (IPMNs) situated in the pancreatic body or tail that require removal, distal pancreatectomy is the preferred surgical approach. When the condition is malignant, such as in pancreatic cancer, the procedure is typically performed alongside splenectomy to achieve complete removal and address possible lymph node metastases. [114]

Distal pancreatectomy is the preferred surgical treatment for both benign and malignant conditions affecting the pancreatic body and tail. Traditionally, this operation has been performed together with splenectomy. However, in the past decade, combining splenectomy with other major upper abdominal organ resections has been linked to higher postoperative morbidity—particularly an increased risk of infections. As a result, spleen preservation is now regarded as the standard approach whenever feasible in patients undergoing gastric or colorectal surgery. [115],[116],[117]

Total pancreatectomy:

Total pancreatectomy (TP) was originally introduced with two main objectives. First, surgeons believed that removing the entire pancreas could lower postoperative morbidity and mortality, based on the idea that complications often stemmed from pancreatic juice leaking from the remaining gland. Second, because recurrence rates after partial pancreatectomy were high, TP was viewed as a more radical option for managing pancreatic cancers. However, outcomes proved disappointing — cancer prognosis did not improve, and postoperative morbidity and mortality remained largely unchanged. While the procedure eliminated the risk of pancreatic fistula, it introduced new challenges, such as brittle, hard-to-control insulin-dependent diabetes and severe malabsorption from the loss of exocrine function. As a result, TP fell out of favor and was nearly abandoned. [118]

Venous resection (portal vein / superior mesenteric vein)

Although pancreatectomy combined with vascular resection and reconstruction is now an established approach for treating locally advanced pancreatic adenocarcinoma, this strategy is not yet widely accepted for locally advanced pancreatic neuroendocrine neoplasms (panNENs). [119]

Arterial resection (SMA, celiac axis, common hepatic artery)

Arterial invasion continues to represent one of the most challenging scenarios in the management of pancreatic cancer. [120]

Management of arterial involvement in pancreatic cancer primarily relies on two surgical strategies: peri-adventitial dissection (also known as arterial divestment) and arterial resection. Peri-adventitial dissection involves fully skeletonizing the artery by removing, and if necessary, resecting, the lymphoneural sheath surrounding the adventitia. This approach is endorsed as a standard technique in pancreatic surgery, even for earlier disease stages, by the American College of Surgeons [121] and it can eliminate the need for arterial resection in up to 49% of patients who appear to have arterial involvement on imaging. [122]

Chemotherapy:

Following surgical resection, adjuvant chemotherapy with either gemcitabine or 5-fluorouracil may be administered to patients who are in adequate physical condition, typically after a recovery interval of one to two months. [123]

First-Line Chemotherapy for Metastatic PDAC:

Modified FOLFIRINOX

FOLFIRINOX is a combination chemotherapy regimen used in the treatment of advanced pancreatic cancer. It consists of four agents:

  • FOL – folinic acid (leucovorin), a vitamin B derivative that boosts the activity of 5-fluorouracil (5-FU).
  • F – fluorouracil (5-FU), a pyrimidine analog and antimetabolite that incorporates into DNA and disrupts its synthesis.
  • IRIN – irinotecan (Camptosar), a topoisomerase inhibitor that blocks DNA uncoiling and replication.
  • OX – oxaliplatin (Eloxatin), a platinum-based chemotherapeutic that impairs DNA repair and/or synthesis. [124]

FOLFIRINOX is a potent but potentially highly toxic chemotherapy combination, associated with significant side effects, and is therefore recommended only for patients with good performance status. [125]

FOLFIRINOX is employed as a neoadjuvant treatment to shrink tumors in patients with “borderline” or locally advanced disease, with the aim of making surgical removal possible. [126]

Gemcitabine plus nab-Paclitaxel (AG)

Gemcitabine received approval from the United States Food and Drug Administration (FDA) in 1997, following a clinical trial that demonstrated both enhanced quality of life and an approximate five-week increase. [127]

For roughly ten years, gemcitabine monotherapy remained the standard treatment, as multiple trials combining it with other agents did not show meaningful improvement in outcomes. However, pairing gemcitabine with erlotinib was found to provide a modest survival benefit, leading to FDA approval of erlotinib for pancreatic cancer in 2005. [128]

The four-drug FOLFIRINOX regimen has been shown to be more effective than gemcitabine, but its considerable side effects limit its use to patients with good performance status. The same applies to protein-bound paclitaxel (nab-paclitaxel), which received FDA approval in 2013 for combination use with gemcitabine in pancreatic cancer treatment. [129]

By late 2013, both FOLFIRINOX alone and the combination of gemcitabine with nab-paclitaxel were considered effective options for patients able to withstand their side effects, while gemcitabine monotherapy remained suitable for those who could not. Treatment modifications during this time extended survival by only a few months. [130]

Modified FOLFIRINOX (PRODIGE-24/ACCORD-24 Trial)

As a first-line treatment for metastatic pancreatic cancer, the combination of fluorouracil, leucovorin, irinotecan, and oxaliplatin (FOLFIRINOX) has been shown to produce longer overall survival compared to gemcitabine. [131]

A modified FOLFIRINOX regimen, omitting the bolus dose of fluorouracil, has been implemented to reduce the frequency and severity of hematologic toxicity and diarrhoea, and evidence indicates that this adjustment does not compromise treatment effectiveness in patients with advanced disease. [132]

Prognosis: Overview of Pancreatic Cancer

An analysis of 393 patients enrolled in the Gastrointestinal Tumor Study Group (GITSG) trials for pancreatic cancer revealed critical insights into survival outcomes and clinical characteristics based on disease stage. Patients were divided into three categories:

  • Group I (21 patients) had tumors considered operable with potential for curative surgery. Tumor size was smallest here (median area 9 cm²), with 90% located in the pancreatic head. Painless jaundice appeared in over half of these cases.
  • Group II (182 patients) included individuals with non-metastatic but surgically unresectable tumors under 400 cm². These tumors, also mainly in the head of the pancreas (83%), had a median size of 36 cm². Pain was present in 80% and jaundice in 62% of cases.
  • Group III (190 patients) had advanced, metastatic disease. Tumors in this group were more frequently located in the body and tail of the pancreas, showing increased size and spread compared to earlier stages.

Key prognostic indicators in Pancreatic Cancer

  1. Overall, 5-Year Survival

Pancreatic cancer remains among the most challenging cancers to treat, with an overall 5-year survival rate of just 11.5%. This low figure reflects both the aggressive nature of the disease and the difficulty in detecting it early.

  • Improvements in survival over the years—from roughly 6% in the early 2000s to current levels—are largely credited to better surgical techniques, advanced chemotherapy, and enhanced supportive care.
  • The majority of cases (over 90%) involve pancreatic ductal adenocarcinoma (PDAC), the most common subtype. [133]
  1. Early-Stage Resectable Tumors

Patients diagnosed at Stage I, where tumors are still confined to the pancreas and resectable, have a much better prognosis. Surgery followed by adjuvant chemotherapy (particularly FOLFIRINOX) significantly improves outcomes.

  • FOLFIRINOX shows greater efficacy than gemcitabine in extending disease-free survival (21.6 vs. 12.8 months).
  • Achieving a complete (R0) resection is the most crucial factor for long-term survival. [134]
  1. Locally Advanced (Unresectable) Tumors

In Stage III cases, the tumor typically involves major nearby blood vessels (such as the SMA or SMV), making immediate surgery unviable. Treatment focuses on systemic therapy, with the potential for downstaging the tumor to make surgery possible.

  • Chemotherapy regimens like FOLFIRINOX or gemcitabine + nab-paclitaxel can convert tumours to resectable status in about 20% of patients.
  • 5-year survival remains limited at 12–15%, even with aggressive treatment. [135]
  1. Metastatic Pancreatic Cancer

Once cancer spreads to distant sites like the liver, lungs, or peritoneum (Stage IV), the prognosis is especially grim. Chemotherapy remains the mainstay, aiming to prolong life and control symptoms.

  • The FOLFIRINOX regimen has been shown to increase median overall survival to around 11.1 months, compared to 6.8 months with gemcitabine.
  • The 5-year survival rate in metastatic cases is only about 3%. [136]
  1. Eligibility for Surgical Treatment

Only 15–20% of patients are candidates for surgery at diagnosis. This is mainly due to:

  • Non-specific symptoms (like abdominal discomfort or fatigue) delaying diagnosis.
  • Absence of effective screening tests for early detection.

Eligibility is assessed based on tumour size, vascular involvement, and absence of metastases. [137]

  1. Post-Surgery Recurrence

Even in patients who undergo complete (R0) resection, the risk of recurrence remains high. Approximately 70–80% of individuals experience a relapse within two years, with the liver being the most common site.

  • Adjuvant chemotherapy and routine imaging are critical for early detection of recurrence. (138,139]
  1. FOLFIRINOX Regimen in Metastatic Cases

FOLFIRINOX has proven to be one of the most effective regimens for advanced pancreatic cancer, both in adjuvant and metastatic cases.

  • It extends median survival to 11–18 months, depending on patient health and tumor response.
  • However, it’s more toxic and usually reserved for patients under 75 years old with ECOG performance status 0–1. [140]
  1. Gemcitabine Monotherapy

Gemcitabine is often used in patients who are not fit for more aggressive regimens due to age or comorbidities.

  • Offers a median survival of about 5.6 months.
  • Lower toxicity makes it a preferred option for palliative care in frail patients. [141]
  1. Targeted Treatments and PARP Inhibitors

About 5–7% of pancreatic cancer patients carry germline BRCA1 or BRCA2 mutations, making them potential candidates for PARP inhibitors like Olaparib.

  • The POLO trial showed that maintenance Olaparib after platinum-based chemo significantly extended progression-free survival (7.4 vs. 3.8 months).
  • This represents a shift toward precision oncology in PDAC. [142]

Survival Rate

Pancreatic Cancer: Survival Overview and Prognostic Insight

Pancreatic cancer continues to be one of the most lethal forms of cancer globally. Its mortality-to-incidence ratio stands at a staggering 98%, making it the deadliest among common cancers. The global five-year survival rate averages around 6%, though estimates range between 2% and 9%, depending on the quality and completeness of data across countries. Interestingly, unlike many other cancer types, there is minimal difference in pancreatic cancer survival rates between developed and developing nations. [143]

Numerous factors influence survival outcomes in pancreatic cancer patients. These include the cancer subtype, stage at diagnosis, tumour size, serum albumin levels, and the type of treatment received. Additional influences involve healthcare system capacity, the patient’s age, general health, sex, and lifestyle habits, as well as the accuracy of cancer registries and follow-up systems. [144]

Stage-Specific 5-Year Survival Rates

  1. Stage I (localized disease)

At this earliest stage, pancreatic cancer is confined solely to the pancreas without any spread to nearby tissues or lymph nodes. Most tumours in Stage I are potentially resectable, meaning they can be removed surgically with curative intent. This stage offers the best prognosis due to the possibility of complete surgical resection, often followed by adjuvant chemotherapy (e.g., gemcitabine or FOLFIRINOX) to reduce recurrence risk.

  • Key point: Survival outcomes are significantly higher (up to 44%) because of the lack of metastasis and potential for curative surgery. [145]
  1. Stage II (locally advanced, potentially resectable)

In Stage II, cancer may have spread to nearby lymph nodes or adjacent tissues (e.g., duodenum, bile duct) but remains potentially resectable in some patients. This stage often requires multimodal treatment, which includes surgery, chemotherapy, and in select cases, radiation therapy.

  • Complexity: Surgical success becomes more variable due to the involvement of regional structures, increasing the risk of incomplete resection (R1 margin).
  • Treatment: Neoadjuvant chemotherapy is increasingly used to downstage tumors and assess operability.
  • Survival range: 5-year survival varies between 15% and 20%. [146]
  1. Stage III (unresectable disease)

Stage III pancreatic cancer is typically unresectable due to tumor involvement of major blood vessels (e.g., superior mesenteric artery or portal vein). Although the disease has not metastasized to distant organs, its local advancement precludes curative surgery.

  • Therapy focus: Palliative intent with chemotherapy (e.g., FOLFIRINOX, gemcitabine + nab-paclitaxel) and possible chemoradiation to control local disease and symptoms.
  • Outcome: The 5-year survival rate is significantly lower, around 12%, and mostly limited to exceptional responders.
  1. Stage IV (Metastatic Cancer)

At this most advanced stage, cancer has spread to distant organs such as the liver, lungs, or peritoneum. Curative options are no longer viable, and management is aimed at prolonging survival and improving quality of life through systemic therapies.

  • Median survival: 6–11 months, even with treatment.
  • Treatment: First-line chemotherapy (e.g., FOLFIRINOX or gemcitabine + nab-paclitaxel), supportive/palliative care, and potential clinical trial participation.
  • Survival rate: 5-year survival is around 3%, reflecting the highly aggressive nature of metastatic pancreatic cancer. [147]

Overall Survival across all stages

The average 5-year survival rate for pancreatic cancer, when accounting for all stages and patient demographics, is around 11.5% as of 2024. This figure highlights the aggressive nature of the disease, often diagnosed late due to non-specific early symptoms like jaundice, weight loss, or abdominal pain.

  • Challenges: Lack of early detection tools, resistance to chemotherapy, and late presentation.
  • Progress: While survival rates have improved modestly (from 6% in the early 2000s), the prognosis remains poor compared to other cancers. [148]

Recent Advances in Pancreatic Cancer Research (2025)

Pancreatic ductal adenocarcinoma (PDAC) remains among the most treatment-resistant cancers, but 2025 has brought meaningful progress in targeting its molecular drivers, improving early detection, and developing novel therapeutic approaches. Below is a concise summary of major breakthroughs:

  1. KRAS-targeted therapies

KRAS mutations are present in approximately 90–95% of PDAC cases, particularly the G12D variant, making it a key therapeutic target.

RMC-6236

  • This pan-RAS inhibitor has shown promising activity in a Phase 1 trial (NCT05379985), with a median overall survival (OS) of 14.5 months and progression-free survival (PFS) of around 8.5 months in previously treated PDAC.
  • A Phase 3 trial (RASolute 302) began in late 2024, enrolling over 450 patients to evaluate RMC-6236 monotherapy against standard second-line regimens.
  • Preclinical data supports combining RMC-6236 with chemotherapy or immune checkpoint inhibitors to enhance tumor suppression.

RMC-9805 (Zoldonrasib)

  • A G12D-selective inhibitor, currently in Phase 1/1b trials, demonstrated a 30% objective response rate and 80% disease control in KRAS G12D-mutant tumors. [149]

Emerging KRAS inhibitors

  • Other early-stage candidates include MRTX1133, ASP3082, HRS-4642, and ERAS-4, with promising preclinical results.
  • Studies suggest that combining KRAS blockade with immunotherapy extends disease control, reinforcing a multimodal treatment paradigm. [150]
  1. Immunotherapy and Vaccine based approaches

KRAS inhibitor with immunotherapy

  • Research from the University of Pennsylvania highlighted that dual KRAS and immune checkpoint inhibition prolongs tumor suppression compared to monotherapy.

mRNA Neoantigen vaccine

  • Autogene cevumeran (BioNTech/Genentech) has entered Phase 2 trials as an adjuvant strategy post-surgery in KRAS-mutated PDAC to reduce recurrence risk. [151]

Nanoparticle Vaccines

  • A nanoparticle-based vaccine developed by Case Western and the Cleveland Clinic eradicated over half of tumors in animal studies and generated immune memory, paving the way for human trials.

Zenocutuzumab (Bizengri)

  • This bispecific HER2/HER3 antibody, approved by the FDA in December 2024, targets tumors with NRG1 fusions, including a rare PDAC subset. [152]
  1. Non-KRAS targets and combination strategies

Dual FGFR2/EGFR Inhibition

  • Scientists at Cold Spring Harbor showed that blocking FGFR2 and EGFR pathways concurrently slowed PDAC development in mouse models, suggesting early-intervention potential. [153]

Tumour Treating Fields (TTF)

  • Novocure’s noninvasive electrical field therapy, when used alongside chemotherapy, extended median OS to 16.2 months, compared to 14.2 months with chemo alone, and improved 2-year survival by 33%. [154]
  1. Innovation in Early Detection and Imaging

PAC-MANN Blood Test

  • Developed at Oregon Health & Science University, this test combines protease biomarkers with CA19-9, delivering 85–98% diagnostic accuracy at low cost, less than ?1 per test. [155]

Ga-68 Trivehexin PET Imaging

  • A novel PET tracer targeting alpha-v beta-6 integrin demonstrated strong tumor uptake and minimal background interference, improving detection rates.
  1. Radiotherapy and Artificial Intelligence Integration

Irreversible Electroporation (IRE)

  • A nonthermal ablation technique, IRE improves survival to 12–18 months in locally advanced PDAC when used with chemotherapy. [156]

AI-Enhanced CT Analysis

  • An AI-powered deep learning model developed in 2025 achieved a 0.926 AUROC in detecting pancreatic tumors on CT scans. It won the PANORAMA challenge, signalling new frontiers in radiological diagnostics. [157]

Primary Prevention for Individuals at Risk of Pancreatic Cancer

At present, there are no concrete strategies for preventing pancreatic cancer in individuals considered at high risk. It is not advisable to remove the pancreas purely based on statistical likelihood.[158] However, some lifestyle recommendations can be made for certain individuals. These include quitting smoking, consuming a diet abundant in fruits and vegetables, engaging in regular physical activity, achieving weight loss where necessary, and potentially increasing vitamin D intake to more than 600 IU, if deemed beneficial.[159]

Lifestyle Modifications

Lifestyle medicine, a healthcare discipline, emphasizes evidence-backed lifestyle changes to prevent, treat, and potentially reverse chronic illnesses. It focuses on six main areas: consuming primarily whole-food, plant-based diets; engaging in physical activity; getting restorative sleep; managing stress effectively; avoiding harmful substances; and maintaining strong social ties. These pillars play an essential role in reducing the likelihood and progression of chronic diseases.

Figure 2. The six pillars of lifestyle medicine

Screening

The Cancer of the Pancreas Screening (CAPS) consortium defines effective screening as the identification and treatment of early-stage pancreatic cancer (T1N0M0 with clear surgical margins) or the detection of advanced precancerous conditions, such as PanIN-3, IPMN with high-grade dysplasia, or MCN with high-grade dysplasia.

Who Should Be Screened

Routine pancreatic cancer screening is not suitable for all high-risk individuals due to a lack of proven benefits in reducing mortality, and potential harms may outweigh advantages. [160] Several risk factors—such as aging, obesity, smoking, diabetes, and chronic pancreatitis—are associated with higher cancer incidence but lack specificity. For instance, pancreatic cancer risk increases significantly after age 45. Overweight and obesity raise this risk, with odds ratios of 1.8 in men and 1.22 in women.[244] Current and recent former smokers also have elevated risk (OR: 1.71 and 1.78 respectively). Diabetes, particularly new-onset, may signal early pancreatic cancer (OR: 1.76). Additionally, individuals with chronic pancreatitis have a risk over twice that of the general population (OR: 2.23).[161]

When to Screen

In patients with hereditary pancreatitis, the likelihood of developing pancreatic cancer at a younger age is higher. For those with PRSS1 mutations, screening is usually initiated at age 40.[162] However, for other high-risk groups, no standard recommendation exists for when to begin or stop screening.[163]

Case Studies

Case 1: Early Detection in New-Onset Diabetes

A 62-year-old male consulted his doctor with newly diagnosed diabetes and a recent 4 kg weight loss. Although he experienced mild, persistent epigastric discomfort, he showed no signs of jaundice. Lab tests showed elevated blood sugar but normal liver function. Due to his symptoms, a contrast-enhanced CT scan was done, revealing a 2.5 cm mass in the pancreatic head. This finding was confirmed via endoscopic ultrasound and biopsy, which identified it as pancreatic ductal adenocarcinoma. The patient underwent a Whipple procedure (pancreaticoduodenectomy) and received adjuvant chemotherapy with gemcitabine. Three years post-treatment, he remained free of disease. This case highlights the importance of investigating new-onset diabetes in older adults as a possible early sign of pancreatic cancer.[164]

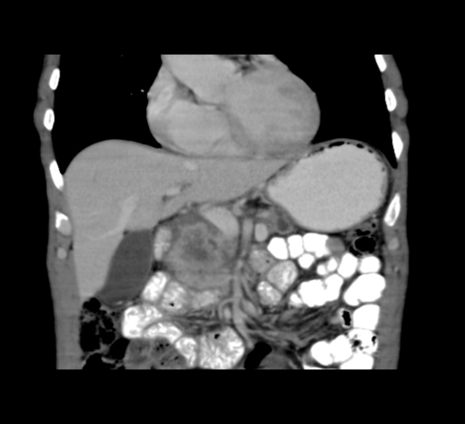
Figure 3 Coronal C+ portal venous phase

Case 2: Locally Advanced Tumor Presenting with Jaundice

A 55-year-old woman came in with two weeks of painless jaundice, darkened urine, and skin itching. Physical examination revealed jaundice and an enlarged, non-tender liver. Liver tests indicated cholestasis. CT scans revealed a 4.5 cm tumor in the pancreatic head surrounding more than 180° of the superior mesenteric arteries, making it inoperable. There was no distant spread, but the bile ducts were dilated. A biopsy confirmed pancreatic ductal adenocarcinoma. The patient began neoadjuvant chemotherapy with FOLFIRINOX. While the tumor reduced slightly in size, it remained unresectable due to vascular involvement. She received a stent to manage jaundice and lived for 16 months after diagnosis. This case illustrates the complex challenges involved in treating locally advanced pancreatic cancer.[165]

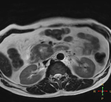
Figure 4 Tumor encasing SMA: Radiopaedia Case – Pancreatic adenocarcinoma vascular involvement

CONCLUSION

While pancreatic cancer (PC), predominantly Pancreatic Ductal Adenocarcinoma (PDAC), remains a formidable challenge with a low survival rate due to late-stage diagnosis and complex biology, the future is trending toward personalized and proactive intervention, offering a definitive path to better outcomes. The management strategy relies on a combined effort of improving public health to address modifiable risk factors (like smoking and obesity) and translating scientific breakthroughs into clinical practice, particularly in high-risk patients. The two main pillars of this advancement are precision oncology, highlighted by the development of direct KRAS-targeted therapies (e.g., RMC-6236) and personalized mRNA neoantigen vaccines, and the promise of non-invasive early detection via sophisticated liquid biopsy tests (like PAC-MANN), which are finally moving the needle toward diagnosing the disease in its earliest, most curable stages.

REFERENCES

  1. Human Anatomy and physiology (Volume 1) Dr. C C Chatterjee. Clinical Anatomy Applied Anatomy for Students and Junior Doctors Harold Ellis and Vishy Mahadevan.
  2. Yamamoto, T., Yagi, S., Kinoshita, H., Sakamoto, Y., Okada, K., Uryuhara, K., et al. (2015). Long-term survival after resection of pancreatic cancer: a single-center retrospective analysis. World J. Gastroenterol. 21, 262–268. Doi: 10.3748/wjg.v21.i1.262
  3. de Pretis, N., Amodio, A., and Frulloni, L. (2018). Updates in the field of autoimmune pancre- atitis: a clinical guide. Expert Rev. Gastroenterol. Hepatol. 12, 705–709. doi: 10.1080/17474124.2018.1489230
  4. Finkelberg, D. L., Sahani, D., Deshpande, V., and Brugge, W. R. (2006). Autoimmune pancreatitis. N. Engl. J. Med. 355, 2670–2676. doi: 10.1056/NEJMra061200
  5. Celiac Disease Foundation. (2021). What is Celiac Disease? Available online at: https://celiac.org/about-celiac-disease/what-is-celiac-disease/ (accessed January 27, 2021).
  6. Fraquelli, M., Bardella, M. T., Peracchi, M., Cesana, B. M., Bianchi, P. A., and Conte, D. (1999). Gallbladder emptying and somatostatin and cholecystokinin plasma levels in celiac disease. Am. J. Gastroenterol. 94, 1866–1870. doi: 10.1111/j.1572 0241.1999.01221.x
  7. Rinzivillo, M., De Felice, I., Magi, L., Annibale, B., and Panzuto, F. (2020). Occurrence of exocrine pancreatic insufficiency in patients with advanced neuroendocrine tumors treated with somatostatin analogs. Pancreatology 20, 875–879. doi: 10.1016/j.pan.2020.06.007
  8. Gloor, B., Ahmed, Z., Uhl, W., and Büchler, M. W. (2002). Pancreatic disease in the elderly. Best Pract. Res. Clin. Gastroenterol. 16, 159–170. doi: 10.1053/bega.2002.0272
  9. National Institute of Diabetes and Digestive and Kidney Diseases (2021). Zollinger Ellison Syndrome. Available online at: https://www.niddk.nih.gov/health information/digestive-diseases/zollinger-ellison-syndrome (accessed January 27, 2021)
  10. Gokce, M., Tuncer, M., Cetin, M., and Gumruk, F. (2013). Molecular diagnosis of Shwachmann Diamond syndrome presenting with pancytopenia at an early age: the first report from Turkey. Indian J. Hematol. Blood Transfus. 29, 161–163. doi: 10.1007/s12288-012-0163-x
  11. Harsh Madak
  12. Nat Rev Gastroenterol Hepatol . 2021 July ; 18(7): 493–502. doi:10.1038/s41575 021-00457-x.
  13. Zhao, Z., & Liu, W. (2020). Pancreatic Cancer: A Review of Risk Factors, Diagnosis, and Treatment. Technology in Cancer Research & Treatment, 19, 153303382096211
  14. Raimondi S, Maisonneuve P, Lowenfels AB. Epidemiology of pancreatic cancer: an overview. Nat Rev Gastroenterol Hepatol. 2009;6(12):699–708. doi: 10.1038/nrgastro.2009.177. [DOI] [PubMed] [Google Scholar]
  15. SEER Cancer Statistics Factsheets: Pancreas Cancer. National Cancer Institute. Bethesda, MD, http://seer.cancer.gov/statfacts/html/pancreas.html
  16. Rawla P, Sunkara T, Gaduputi V. Epidemiology of Pancreatic Cancer: Global Trends, Etiology and Risk Factors. World J Oncol. 2019;10(1):10–27.
  17. WHO Classification of Tumours Editorial Board. Digestive System Tumours. 5th ed. IARC; 2019.
  18. Holen KD et al. Acinar cell carcinoma of the pancreas: a report of 19 cases and review of literature. J Gastrointest Cancer. 2002;34(2):67–76.
  19. Dhebri AR et al. Pancreatoblastoma: a review of the literature. Eur J Surg Oncol. 2002;28(6):587–590.
  20. Adsay NV et al. Colloid (mucinous noncystic) carcinoma of the pancreas. Am J Surg Pathol. 2001;25(1):26–42.
  21. Tanaka M et al. International consensus guidelines 2012 for the management of IPMN and MCN of the pancreas. Pancreatology. 2012;12(3):183–197.
  22. Bailey P et al. Genomic analyses identify molecular subtypes of pancreatic cancer. Nature. 2016;531(7592):47–52.
  23. Maisonneuve P., Lowenfels A.B. Risk factors for pancreatic cancer: A summary review of meta-analytical studies. Int. J. Epidemiol. 2015;44:186–198. doi: 10.1093/ije/dyu240.
  24. Klein AP. Pancreatic cancer epidemiology: understanding the role of lifestyle and inherited risk factors. Nat Rev Gastroenterol Hepatol. 2021 Jul;18(7):493-502. doi: 10.1038/s41575-021-00457-x. Epub 2021 May 17. PMID: 34002083; PMCID: PMC9265847.
  25. Lynch SM et al. Cigarette smoking and pancreatic cancer: a pooled analysis from the Pancreatic Cancer Cohort Consortium. Am. J. Epidemiol. 170, 403–413 (2009).
  26. Wood, Laura D. MD, PhD; Hruban, Ralph H. MD. Pathology and Molecular Genetics of Pancreatic Neoplasms. The Cancer Journal 18(6):p 492-501, November/December 2012. | DOI: 10.1097/PPO.0b013e31827459b6
  27. Cigarette smoking and pancreatic cancer: an analysis from the International Pancreatic Cancer Case-Control Consortium (Panc4)
  28. Bosetti, C. et al.
  29. Annals of Oncology, Volume 23, Issue 7, 1880 – 1888
  30. Shannon M. Lynch, Alina Vrieling, Jay H. Lubin, Peter Kraft, Julie B. Mendelsohn, Patricia Hartge, Federico Canzian, Emily Steplowski, Alan A. Arslan, Myron Gross, Kathy Helzlsouer, Eric J. Jacobs, Andrea LaCroix, Gloria Petersen, Wei Zheng, Demetrius Albanes, Laufey Amundadottir, Sheila A. Bingham, Paolo Boffetta, Marie Christine Boutron-Ruault, Stephen J. Chanock, Sandra Clipp, Robert N. Hoover, Kevin Jacobs, Karen C. Johnson, Charles Kooperberg, Juhua Luo, Catherine Messina, Domenico Palli, Alpa V. Patel, Elio Riboli, Xiao-Ou Shu, Laudina Rodriguez Suarez, Gilles Thomas, Anne Tjønneland, Geoffrey S. Tobias, Elissa Tong, Dimitrios Trichopoulos, Jarmo Virtamo, Weimin Ye, Kai Yu, Anne Zeleniuch-Jacquette, H. Bas Bueno-de-Mesquita, Rachael Z. Stolzenberg-Solomon, Cigarette Smoking and Pancreatic Cancer: A Pooled Analysis From the Pancreatic Cancer Cohort Consortium, American Journal of Epidemiology, Volume 170, Issue 4, 15 August 2009, Pages 403–413, https://doi.org/10.1093/aje/kwp134
  31. Yuriko N. Koyanagi, Hidemi Ito, Keitaro Matsuo,Yumi Sugawara, Akihisa Hidaka, Norie Sawada, Keiko Wada, Chisato Nagata, Akiko Tamakoshi,Yingsong Lin, Taro Takeuchi,Yuri Kitamura, Mai Utada, Atsuko Sadakane,Tetsuya Mizoue, MarikoNaito,KeitaroTanaka,TaichiShimazu,ShoichiroTsugane,andManamiInoue, for the Research Group for the Development and Evaluation of Cancer Prevention Strategies in Japan
  32. Bao Y, Giovannucci E, Fuchs CS & Michaud DS Passive smoking and pancreatic cancer in women: a prospective cohort study. Cancer Epidemiol. Biomarkers Prev. 18, 2292–2296 (2009).
  33. Zhou J, Wellenius GA & Michaud DS Environmental tobacco smoke and the risk of pancreatic cancer among non-smokers: a meta-analysis. Occup. Env. Med. 69, 853–857 (2012).
  34. Marcon A et al. Trends in smoking initiation in Europe over 40 years: a retrospective cohort study. PLoS ONE 13, e0201881 (2018).
  35. Yang JJ et al. Tobacco smoking and mortality in Asia: a pooled meta-analysis. JAMA Netw. Open 2, e191474 (2019).
  36. Maisonneuve P & Lowenfels AB Risk factors for pancreatic cancer: a summary review of meta-analytical studies. Int. J. Epidemiol. 44, 186–198 (2015).
  37. Everhart J & Wright D Diabetes mellitus as a risk factor for pancreatic cancer. A meta-analysis. JAMA 273, 1605–1609 (1995).
  38. Elena JW et al. Diabetes and risk of pancreatic cancer: a pooled analysis from the Pancreatic Cancer Cohort Consortium. Cancer Causes Control. 24, 13–25 (2013).
  39. Chari ST et al. Probability of pancreatic cancer following diabetes: a population based study. Gastroenterology 129, 504–511 (2005).
  40. Stolzenberg-Solomon RZ et al. Insulin, glucose, insulin resistance, and pancreatic cancer in male smokers. JAMA 294, 2872–2878 (2005).
  41. Pang Y et al. Diabetes, plasma glucose and incidence of pancreatic cancer: a prospective study of 0.5 million Chinese adults and a meta-analysis of 22 cohort studies. Int. J. Cancer 140, 1781–1788 (2017).
  42. Klein AP. Pancreatic cancer epidemiology: understanding the role of lifestyle and inherited risk factors. Nat Rev Gastroenterol Hepatol. 2021 Jul;18(7):493-502. doi: 10.1038/s41575-021-00457-x. Epub 2021 May 17. PMID: 34002083; PMCID: PMC9265847
  43. Genkinger JM et al. Alcohol intake and pancreatic cancer risk: a pooled analysis of fourteen cohort studies. Cancer Epidemiol. Biomarkers Prev. 18, 765–776 (2009).
  44. Jiao L et al. Alcohol use and risk of pancreatic cancer: the NIH-AARP Diet and Health Study. Am. J. Epidemiol. 169, 1043–1051 (2009).
  45. Naudin S et al. Lifetime and baseline alcohol intakes and risk of pancreatic cancer in the European Prospective Investigation into Cancer and Nutrition study. Int. J. Cancer 143, 801–812 (2018).
  46. Yadav D & Lowenfels AB The epidemiology of pancreatitis and pancreatic cancer. Gastroenterology 144, 1252–1261 (2013).
  47. Duell EJ et al. Pancreatitis and pancreatic cancer risk: a pooled analysis in the International Pancreatic Cancer Case-Control Consortium (PanC4). Ann. Oncol. 23, 2964–2970 (2012).
  48. Christakoudi S., Pagoni P., Ferrari P., Cross A.J., Tzoulaki I., Muller D.C., Weiderpass E., Freisling H., Murphy N., Dossus L., et al. Weight change in middle adulthood and risk of cancer in the European Prospective Investigation into Cancer and Nutrition (EPIC) cohort. Int. J. Cancer. 2021;148:1637–1651. doi: 10.1002/ijc.33339
  49. Larsson S.C., Orsini N., Wolk A. Body mass index and pancreatic cancer risk: A meta-analysis of prospective studies. Int. J. Cancer. 2007;120:1993–1998. doi: 10.1002/ijc.22535.
  50. Shyam S., Greenwood D., Mai C.W., Tan S.S., Mohd Yusof B.N., Moy F.M., Cade J. Traditional and Novel Adiposity Indicators and Pancreatic Cancer Risk: Findings from the UK Women’s Cohort Study. Cancers. 2021;13:1036. doi: 10.3390/cancers13051036.
  51. Jiao L., Chen L., White D.L., Tinker L., Chlebowski R.T., van Horn L.V., Richardson P., Lane D., Sangi-Haghpeykar H., El-Serag H.B. Low-fat Dietary Pattern and Pancreatic Cancer Risk in the Women’s Health Initiative Dietary Modification Randomized Controlled Trial. J. Natl. Cancer Inst. 2018;110:49–56. doi: 10.1093/jnci/djx117
  52. Sung H., Ferlay J., Siegel R.L., Laversanne M., Soerjomataram I., Jemal A., Bray F. Global Cancer Statistics 2020: GLOBOCAN Estimates of Incidence and Mortality Worldwide for 36 Cancers in 185 Countries. CA Cancer J. Clin. 2021;71:209–249. doi: 10.3322/caac.21660.
  53. SEER Cancer Statistics Review, 1975-2013 [Internet]. National Cancer Institue, Bethesda, MD. 2016
  54. Bray F, Ferlay J, Soerjomataram I, Siegel RL, Torre LA, Jemal A. Global cancer statistics 2018: GLOBOCAN estimates of incidence and mortality worldwide for 36 cancers in 185 countries. CA Cancer J Clin. 2018;68(6):394–424. doi: 10.3322/caac.21492.
  55. Siegel RL, Miller KD, Jemal A. Cancer statistics, 2018. CA Cancer J Clin. 2018;68(1):7–30. doi: 10.3322/caac.21442.
  56. Bosetti C, Bertuccio P, Negri E, La Vecchia C, Zeegers MP, Boffetta P. Pancreatic cancer: overview of descriptive epidemiology. Mol Carcinog. 2012;51(1):3–13. doi: 10.1002/mc.20785.
  57. Pernick NL, Sarkar FH, Philip PA, Arlauskas P, Shields AF, Vaitkevicius VK, Dugan MC. et al. Clinicopathologic analysis of pancreatic adenocarcinoma in African Americans and Caucasians. Pancreas. 2003;26(1):28–32. doi: 10.1097/00006676 200301000-00006.
  58. Dong M, Nio Y, Tamura K, Song MM, Guo KJ, Guo RX, Dong YT. Ki-ras point mutation and p53 expression in human pancreatic cancer: a comparative study among Chinese, Japanese, and Western patients. Cancer Epidemiol Biomarkers Prev. 2000;9(3):279–284.
  59. Song MM, Nio Y, Dong M, Tamura K, Furuse K, Tian YL, He SG. et al. Comparison of K-ras point mutations at codon 12 and p21 expression in pancreatic cancer between Japanese and Chinese patients. J Surg Oncol. 2000;75(3):176–185. doi: 10.1002/1096-9098(200011)75:3<176::AID-JSO5>3.0.CO;2 W.
  60. Longnecker DS, Karagas MR, Tosteson TD, Mott LA. Racial differences in pancreatic cancer: comparison of survival and histologic types of pancreatic carcinoma in Asians, blacks, and whites in the United States. Pancreas. 2000;21(4):338–343. doi: 10.1097/00006676-200011000-00003.
  61. Parkin DM, Boyd L, Walker LC. 16. The fraction of cancer attributable to lifestyle and environmental factors in the UK in 2010. Br J Cancer. 2011;105(Suppl 2):S77–81. doi: 10.1038/bjc.2011.489
  62. Anand P, Kunnumakkara AB, Sundaram C, Harikumar KB, Tharakan ST, Lai OS, Sung B. et al. Cancer is a preventable disease that requires major lifestyle changes. Pharm Res. 2008;25(9):2097–2116. doi: 10.1007/s11095-008-9661-9.
  63. Shi C, Hruban RH, Klein AP. Familial pancreatic cancer. Arch Pathol Lab Med. 2009;133(3):365–374. doi: 10.5858/133.3.365.
  64. Klein AP, Brune KA, Petersen GM, Goggins M, Tersmette AC, Offerhaus GJ, Griffin C. et al. Prospective risk of pancreatic cancer in familial pancreatic cancer kindreds. Cancer Res. 2004;64(7):2634–2638. doi: 10.1158/0008-5472.CAN-03-3823.
  65. Greer JB, Whitcomb DC, Brand RE. Genetic predisposition to pancreatic cancer: a brief review. Am J Gastroenterol. 2007;102(11):2564–2569. doi: 10.1111/j.1572 0241.2007.01475.x.
  66. Vincent A, Herman J, Schulick R, Hruban RH, Goggins M. Pancreatic cancer. Lancet. 2011;378(9791):607–620. doi: 10.1016/S0140-6736(10)62307-0.
  67. Brune KA, Lau B, Palmisano E, Canto M, Goggins MG, Hruban RH, Klein AP. Importance of age of onset in pancreatic cancer kindreds. J Natl Cancer Inst. 2010;102(2):119–126. doi: 10.1093/jnci/djp466.
  68. Wang L, Brune KA, Visvanathan K, Laheru D, Herman J, Wolfgang C, Schulick R. et al. Elevated cancer mortality in the relatives of patients with pancreatic cancer. Cancer Epidemiol Biomarkers Prev. 2009;18(11):2829–2834. doi: 10.1158/1055 9965.EPI-09-0557.
  69. Anstee DJ. The relationship between blood groups and disease. Blood. 2010;115(23):4635–4643. doi: 10.1182/blood-2010-01-261859
  70. Macafee AL. ABO blood groups and carcinoma of pancreas. Ulster Med J. 1964;33(2):129–131.
  71. Vioque J, Walker AM. [Pancreatic cancer and ABO blood types: a study of cases and controls] Med Clin (Barc) 1991;96(20):761–764.
  72. Wang DS, Wang ZQ, Zhang L, Qiu MZ, Luo HY, Ren C, Zhang DS. et al. Are risk factors associated with outcomes in pancreatic cancer? PLoS One. 2012;7(7):e41984. doi: 10.1371/journal.pone.0041984.
  73. Hakomori S. Antigen structure and genetic basis of histo-blood groups A, B and O: their changes associated with human cancer. Biochim Biophys Acta.
  74. 1999;1473(1):247–266. doi: 10.1016/S0304-4165(99)00183-X.
  75. Schneider K, Zelley K, Nichols KE, et al. Li-Fraumeni Syndrome. 1999 Jan 19 [Updated 2025 May 1]. In: Adam MP, Feldman J, Mirzaa GM, et al., editors. GeneReviews® [Internet]. Seattle (WA): University of Washington, Seattle; 1993 2025. Available from: https://www.ncbi.nlm.nih.gov/sites/books/NBK1311
  76. Kopacova M, Tacheci I, Rejchrt S, Bures J. Peutz-Jeghers syndrome: diagnostic and therapeutic approach. World J Gastroenterol. 2009 Nov 21;15(43):5397-408. doi: 10.3748/wjg.15.5397. PMID: 19916169; PMCID: PMC2778095.
  77. Hessmann E, Buchholz SM, Demir IE, Singh SK, Gress TM, Ellenrieder V, Neesse A. Microenvironmental Determinants of Pancreatic Cancer. Physiol Rev. 2020 Oct 1;100(4):1707-1751. doi: 10.1152/physrev.00042.2019. Epub 2020 Apr 16. PMID: 32297835
  78. SEER Cancer Statistics Review, 1975-2014. National Cancer Institute, 201~ A oilohle at: https://seer.cancer.gov/csr/1975_ 2014/. Accessed June 22, 2017.
  79. Koprowski H, Steplewski Z, Mitchell K, et al. Colorectal carcinoma antigen detected by hybridoma antibodies. Somatic Cell Genet. 1979;5:957–972.
  80. Itkowitz SH, Kim YS. New carbohydrate tumor markers. Gastroenterology. 1986;90:491–494.
  81. Goonetilleke KS, Siriwardena AK. Systematic review of carbohydrate antigen (CA19-9) as a biochemical marker in the diagnosis of pancreatic cancer. Eur J Surg Oncol. 2007;33:266–270.
  82. Ni XG, Bai XF, Mao YL, Shao YF, Wu JX, Shan Y, Wang CF, Wang J, Tian YT, Liu Q, Xu DK and Zhao P. The clinical value of serum CEA, CA19- 9, and CA242 in the diagnosis and prognosis of pancreatic cancer. Eur J Surg Oncol 2005; 31: 164-9.
  83. Yu KH, Mamet R, Makarov V, et al. "Integrated multi-analyte blood test for detection and differentiation of benign and malignant pancreatic diseases." Journal of Clinical Oncology. 2023;41(4):351-362. https://ascopubs.org/doi/full/10.1200/JCO.22.01123
  84. KarlsonBM,EkbomA,LindgrenPG,KallskogV,RostadJ.AbdominalUSfordiagnosisofpancreatictumor:prospective cohortanalysis.Radiology1999; / 213: / 107
  85. Brennan DD, Zamboni GA, Raptopoulos VD, Kruskal JB. Comprehensive preoperative assessment of pancreatic adenocarcinoma with 64-section volumetric CT. Radiographics 2007; 27: 1653-1666 [PMID: 18025509 DOI: 10.1148/rg.276075034]
  86. LuDS,VedanthamS,KrasnyRM,Kadell B,BergerWL, Reber HA. Two-phase helical CT for pancreatic tumors: pancreatic versus hepatic phase enhancement of tumor, pancreas, andvascular structures.Radiology1996; / 199: / 697 701.
  87. VallsC,AndiaE,SanchezA,FabregatJ,PozueloO,Quintero JC, et al.Dual-phase helicalCTof pancreatic adenocarci noma: assessment of resectabilitybefore surgery.AJRAmJ Roentgenol2002; / 178: / 821 6.
  88. Sheridan MB, Ward J, Guthrie JA, Spencer JA, Craven CM, Wilson D, Guillou PJ, Robinson PJ. Dynamic contrast-enhanced MR imaging and dual-phase helical CT in the preoperative assessment of suspected pancreatic cancer: a comparative study with receiver operating characteristic analysis. AJR Am J Roentgenol 1999; 173: 583-590 [PMID: 10470884 DOI: 10.2214/ ajr.173.3.10470884]
  89. Wong JC, Lu DS. Staging of pancreatic adenocarcinoma by imaging studies. Clin Gastroenterol Hepatol 2008; 6: 1301-1308 [PMID: 18948228 DOI: 10.1016/j.cgh.2008.09.014]
  90. Treadwell JR, Zafar HM, Mitchell MD, Tipton K, Teitelbaum U, Jue J. Imaging Tests for the Diagnosis and Staging of Pancreatic Adenocarcinoma: A Meta-Analysis. Pancreas 2016; 45: 789-795 [PMID: 26745859 DOI: 10.1097/MPA.0000000000000524]
  91. National Comprehensive Cancer Network. 2017 [cited March 1, 2018]. In: NCCN guidelines version 3.2017: pancreatic adenocarcinoma [Internet]. Available from: URL: https://www. nccn.org/professionals/physician_gls/pdf/pancreatic.pdf
  92. Fattahi R, Balci NC, Perman WH, Hsueh EC, Alkaade S, Havlioglu N, Burton FR. Pancreatic diffusion-weighted imaging (DWI): comparison between mass-forming focal pancreatitis (FP), pancreatic cancer (PC), and normal pancreas. J Magn Reson Imaging 2009; 29: 350-356 [PMID: 19161187 DOI: 10.1002/ jmri.21651]
  93. Volmar KE, Vollmer RT, Jowell PS, Nelson RC, Xie HB. Pan creatic FNA in 1000 cases: a comparison of imaging modali ties. Gastrointest Endosc 2005; 61: 854 861 [PMID: 15933687]
  94. Rösch T, Lorenz R, Braig C, Feuerbach S, Siewert JR, Schus dziarra V, Classen M. Endoscopic ultrasound in pancreatic tumor diagnosis. Gastrointest Endosc 1991; 37: 347-352 [PMID: 2070987]
  95. Puli SR, Bechtold ML, Buxbaum JL, Eloubeidi MA. How good is endoscopic ultrasound-guided fine-needle aspi ration in diagnosing the correct etiology for a solid pan creatic mass?: A meta-analysis and systematic review. Pancreas 2013; 42: 20-26 [PMID: 23254913 DOI: 10.1097/ MPA.0b013e3182546e79]
  96. Buchs NC, Frossard JL, Rosset A, Chilcott M, Koutny-Fong P, Chassot G, Fasel JH, Poletti PA, Becker CD, Mentha G, Bühler L, Morel P. Vascular invasion in pancreatic cancer: evaluation of endoscopic ultrasonography, computed tomography, ultrasonography, and angiography. Swiss Med Wkly 2007; 137: 286-291 [PMID: 17594541]
  97. Nawaz H, Fan CY, Kloke J, Khalid A, McGrath K, Landsittel D, Papachristou GI. Performance characteristics of endoscopic ultrasound in the staging of pancreatic cancer: a meta-analysis. JOP 2013; 14: 484-497 [PMID: 24018593 DOI: 10.6092/1590-8577/1512]
  98. Brand B, Pfaff T, Binmoeller KF, Sriram PV, Fritscher-Ravens A, Knofel WT, et al. Endoscopic ultrasound for differential diagnosis of focal pancreatic lesions, confirmed by surgery. Scand J Gastroenterol 2000; 35: 1221 8.
  99. Cote, J., M. D. Dockerty and J. T. Priestley: An Evaluation of Pancreatic Biopsy with the Vim-Silverman Needle. Arch. Surg., 79:588, 1959.
  100. Bowden, L.: The Fallability of Pancreatic Biopsy. Ann. Surg., 139:403, 1954.
  101. Singh S, Tang SJ, Sreenarasimhaiah J, et al. The clinical utility and limitations of serum carbohydrate antigen (CA19-9) as a diagnostic tool for pancreatic cancer and cholangiocarcinoma. Dig Dis Sci 2011;56:2491–6.
  102. Palanisamy V, Sharma S, Deshpande A, et al. Nanostructural and transcriptomic analyses of human saliva derived exosomes. PloS One 2010;5:e8577.
  103. Onuigbo WI. An index of the fate of circulating cancer cells. Lancet. 1963;2(7312):828-31.
  104. Xie ZB, Yao L, Jin C, Fu DL. Circulating tumor cells in pancreatic cancer patients:efficacy in diagnosis and value in prognosis. Discov Med. 2016;22(120):121-8
  105. Kosmidis C, Sapalidis K, Kotidis E, Mixalopoulos N, Zarogoulidis P, Tsavlis D, Baka S, Man YG, Kanellos J. Pancreatic cancer from bench to bedside: molecular pathways and treatment options. Ann Transl Med 2016;4:165.
  106. Wolfgang CL, Herman JM, Laheru DA, Klein AP, Erdek MA, Fishman EK, Hruban RH.
  107. Karanikas M, Esempidis A, Chasan ZT, Deftereou T, Antonopoulou M, Bozali F,Amarantidis K, Man YG. Pancreatic cancer from molecular pathways to treatment
  108. opinion. J Cancer 2016;7:1328-39.
  109. results (SEER) analysis. Ann Surg Oncol 2017;24:2023-30.
  110. Kim SC. [Surgical management of pancreatic cancer]. Korean J Gastroenterol. 2008 Feb;51(2):89-100. Korean. PMID: 18349571.
  111. Griffin JF, Poruk KE, Wolfgang CL. Pancreatic cancer surgery: past, present, and future. Chin J Cancer Res. 2015 Aug;27(4):332-48. doi: 10.3978/j.issn.1000-9604.2015.06.07. PMID: 26361403; PMCID: PMC4560737.
  112. Cuschieri A, Jakimowicz JJ, van Spreeuwel J. Laparoscopic Distal 70% Pancreatectomy and Splenectomy for Chronic Pancreatitis. Ann Surg 1996;223:280-5. [Crossref] [PubMed]
  113. Gorris M, van Bodegraven EA, Abu Hilal M, Bolm L, Busch OR, Del Chiaro M, Habib J, Hasegawa K, He J, van Hooft JE, Jang JY, Javed AA, Kazami Y, Kwon W, Lee M, Liu R, Motoi F, Perri G, Saiura A, Salvia R, Sasanuma H, Takeda Y, Wolfgang C, Zelga P, Castillo CF, Marchegiani G, Besselink MG. Outcomes after distal pancreatectomy with or without splenectomy for intraductal papillary mucinous neoplasm: international multicentre cohort study. Br J Surg. 2024 Jan 3;111(1):znad424. doi:10.1093/bjs/znad424. PMID: 38195084; PMCID: PMC10776207.
  114. Brady MSRogatko ADent LLShiu MH Effect of splenectomy on morbidity and survival following curative gastrectomy for carcinoma. Arch Surg. 1991;12635364
  115. Bonenkamp JJHermans JSasako Mvan de Velde CJfor the Dutch Gastric Cancer Group, Extended lymph-node dissection for gastric cancer. N Engl JMed. 1999;340908- 914
  116. J.R. Howe, N.B. Merchant, C. Conrad, X.M. Keutgen, J. Hallet, J.A. Drebin, et al.
  117. K. Misuta et al.
  118. Haines M, Chua TC, Jamieson NB, et al. Pancreatoduodenectomy With Arterial Resection for Locally Advanced Pancreatic Cancer of the Head: A Systematic
  119. Review. Pancreas 2020;49:621-8.
  120. American College of Surgeons. Operative standards for cancer surgery.
  121. Philadelphia: Lippincott Williams & Wilkins; 2023.
  122. Loos M, Kester T, Klaiber U, et al. Arterial Resection in Pancreatic Cancer Surgery:
  123. Effective After a Learning Curve. Ann Surg 2022;275:759-68.
  124. Vincent A, Herman J, Schulick R, Hruban RH, Goggins M (August 2011).    
  125. Chemotherapy Regimen Extends Survival in Advanced Pancreatic Cancer Patients". National Cancer Institute. 7 June 2011. Retrieved 6 September 2013.
  126. Michelakos, T; Pergolini, I; Castillo, CF; Honselmann, KC; Cai, L; Deshpande, V; Wo, JY; Ryan, DP; Allen, JN; Blaszkowsky, LS; Clark, JW; Murphy, JE; Nipp, RD; Parikh, A; Qadan, M; Warshaw, AL; Hong, TS; Lillemoe, KD; Ferrone, CR (April 2019). "Predictors of Resectability and Survival in Patients With Borderline and Locally Advanced Pancreatic Cancer who Underwent Neoadjuvant Treatment With FOLFIRINOX". Annals of Surgery.
  127. "If treatment for pancreatic cancer stops working". American Cancer Society.
  128. Arcidiacono PG, Calori G, Carrara S, McNicol ED, Testoni PA (March 2011). Arcidiacono PG (ed.). "Celiac plexus block for pancreatic cancer pain in adults". The Cochrane Database of Systematic Reviews. 2019
  129. Wolfgang CL, Herman JM, Laheru DA, Klein AP, Erdek MA, Fishman EK, et al. (September 2013). "Recent progress in pancreatic cancer"
  130. American Cancer Society (ACS), 2024 https://www.cancer.org/cancer/pancreatic-cancer/detection-diagnosis-staging/survival-rates.html
  131. SEER Program, NCI, 2024 https://seer.cancer.gov/statfacts/html/pancreas.html [2]
  132. NCCN Guidelines v1.2024 https://www.nccn.org [3]
  133. SEER; Conroy T et al., NEJM , 2011 https://www.nejm.org/doi/full/10.1056/NEJMoa1011923 [4]
  134. Tempero MA et al., JNCCN , 2023 DOI: 10.6004/jnccn.2023.7000 [5]
  135. Oettle H et al., JAMA, 2007, DOI: 10.1001/jama.298.3.287
  136. Conroy T et al., NEJM , 2011 https://www.nejm.org/doi/full/10.1056/NEJMoa1011923 [8]
  137. Burris HA et al., JCO , 1997 DOI: 10.1200/JCO.1997.15.6.240
  138. Golan T et al., NEJM , 2019 (POLO Trial) DOI: 10.1056/NEJMoa1903387
  139. IARC CancerBase No. 11, International Agency for Research on Cancer, 2013. [11]
  140. Brenner H, Hakulinen T. Population-based monitoring with imperfect registry data.
  141. https://seer.cancer.gov, https://cancer.org [12]
  142. https://www.nccn.org/professionals/physician_gls/pdf/pancreatic.pdf [13]
  143. By Ignacio Garrido-Laguna, David S. Hong, Journal of Clinical Oncology, Volume 43, https://ascopubs.org/
  144. KRAS G12 inhibitor RMC-9805, NCI Drug dictionary, NCI, 2024. Study of RMC-9805 in Participants With KRAS G12D-Mutant Solid Tumors"at ClinicalTrials.gov
  145. By Daoyan Wei, A small molecule big impact : MRTX113 targets the KRAS G12D mutation, published on 16 Aug 2024, https://pmc.ncbi.nlm.nih.gov/articles/PMC10922474
  146. https://investors.biontech.de/news-releases/news-release-details/biontech- expands-late-stage-clinical-oncology-portfolio BioNTech, 19 october 2023.
  147. https://www.fda.gov/drugs/resources-information-approved-drugs/fda- grants-accelerated-approval-zenocutuzumab-zbco-non-small-cell-lung- cancer-and-pancreatic, U.S. Food and Drug Administration(FDA), 4 December 2024.
  148. By Alex Mitchell, NY lab discovers pancreatic cancer breakthrough that can ‘intercept’ spread, published on April 10, 2025, https://nypost.com
  149. By Neil Gerard, Katja Steiger, PET/CT imaging pancreatic cancer in humans with Ga-68 Trivehexin, https://pmc.ncbi.nlm.nih.gov/articles/PMC8460406/
  150. By Cara Lynn Shultz, New test detects early pancreatic with 85% accuracy, Cancer Early Detection Advanced Research Center (CEDAR), published on 24/02/2025. Steiger K, Hoberueck S, European journal of nuclear medicine and molecular imaging
  151. By Boris Rubinsky PhD, Paul Mikus, B.sc, Irreversible Electroporation: A new ablation modality, Sage journals, published on February 2007, https://journals.sagepub.com/
  152. By Han Liu, Sasa Grbic, AI assisted early detection of pancreatic cancer with enhanced CT, published on 13 March 2025, https://arxiv.org/abs/2503.10068
  153. Canto MI, Harinck F, Hruban RH, Offerhaus GJ, Poley JW, Kamel I, Nio Y, Schulick RS, Bassi C, Kluijt I, Levy MJ, Chak A, Fockens P, Goggins M, Bruno M. International Cancer of the Pancreas Screening (CAPS) Consortium summit on the management of patients with increased risk for familial pancreatic cancer. Gut 2013; 62: 339-347 [PMID: 23135763 DOI: 10.1136/gutjnl-2012-303108]
  154. Brand RE, Lerch MM, Rubinstein WS, Neoptolemos JP, Whitcomb DC, Hruban RH, Brentnall TA, Lynch HT, Canto MI. Advances in counselling and surveillance of patients at risk for pancreatic cancer. Gut 2007; 56: 1460-1469 [PMID: 17872573 DOI: 10.1136/gut.2006.108456]
  155. U. S. Preventive Services Task Force. Screening for family and intimate partner violence: recommendation statement. Ann Intern Med 2004; 140: 382-386 [PMID:14996680]
  156. Li D, Morris JS, Liu J, Hassan MM, Day RS, Bondy ML, Ab bruzzese JL. Body mass index and risk, age of onset, and survival in patients with pancreatic cancer. JAMA 2009; 301: 2553-2562 [PMID: 19549972 DOI: 10.1001/jama.2009.886]
  157. Boffetta P, Hecht S, Gray N, Gupta P, Straif K. Smokeless tobacco and cancer. Lancet Oncol 2008; 9: 667-675 [PMID: 18598931 DOI: 10.1016/S14702045(08)70173-6]
  158. Ansary-Moghaddam A, Huxley R, Barzi F, Lawes C, Ohkubo T, Fang X, Jee SH, Woodward M. The effect of modifiable risk factors on pancreatic cancer mortality in populations of the Asia-Pacific region. Cancer Epidemiol Biomarkers Prev 2006;15: 2435-2440 [PMID: 17164367 DOI: 10.1158/1055-9965.EPI-06-0368]
  159. Chari ST, Leibson CL, Rabe KG, Ransom J, de Andrade M , Petersen GM. Probability of pancreatic cancer following diabetes: a population-based study. Gastroenterology 2005; 129: 504-511 [PMID: 16083707]
  160. Lowenfels AB, Maisonneuve P, Cavallini G, Ammann RW, Lankisch PG, Andersen JR, Dimagno EP, Andrén-Sandberg A, Domellöf L. Pancreatitis and the risk of pancreatic cancer. International Pancreatitis Study Group. N Engl J Med 1993; 328: 1433-1437 [PMID: 8479461 DOI: 10.1056/ NEJM199305203282001]
  161. Malka D, Hammel P, Maire F, Rufat P, Madeira I, Pessione F, Lévy P, Ruszniewski P. Risk of pancreatic adenocarci noma in chronic pancreatitis. Gut 2002; 51: 849-852 [PMID: 12427788 DOI: 10.1136/gut.51.6.849
  162. Bansal P, Sonnenberg A. Pancreatitis is a risk factor for pancreatic cancer.  Gastroenterology 1995; 109: 247-251 [PMID: 7797022 DOI: 10.1016/00165085(95)90291-0]
  163. Ulrich CD. Pancreatic cancer in hereditary pancreatitis: consensus guidelines for prevention, screening and treat ment. Pancreatology 2001; 1: 416-422 [PMID:12120218 DOI: 10.1159/000055841]
  164. Singhi AD, Koay EJ, Chari ST, Maitra A. Early Detection of Pancreatic Cancer: Opportunities and Challenges. Gastroenterology. 2019;156(7):2024-2040.
  165. Tempero MA, Malafa MP, Chiorean EG, et al. Pancreatic Adenocarcinoma, Version 1.2019, NCCN Clinical Practice Guidelines in Oncology. J Natl Compr Canc Netw. 2019;17(3):202-210.

Reference

  1. Human Anatomy and physiology (Volume 1) Dr. C C Chatterjee. Clinical Anatomy Applied Anatomy for Students and Junior Doctors Harold Ellis and Vishy Mahadevan.
  2. Yamamoto, T., Yagi, S., Kinoshita, H., Sakamoto, Y., Okada, K., Uryuhara, K., et al. (2015). Long-term survival after resection of pancreatic cancer: a single-center retrospective analysis. World J. Gastroenterol. 21, 262–268. Doi: 10.3748/wjg.v21.i1.262
  3. de Pretis, N., Amodio, A., and Frulloni, L. (2018). Updates in the field of autoimmune pancre- atitis: a clinical guide. Expert Rev. Gastroenterol. Hepatol. 12, 705–709. doi: 10.1080/17474124.2018.1489230
  4. Finkelberg, D. L., Sahani, D., Deshpande, V., and Brugge, W. R. (2006). Autoimmune pancreatitis. N. Engl. J. Med. 355, 2670–2676. doi: 10.1056/NEJMra061200
  5. Celiac Disease Foundation. (2021). What is Celiac Disease? Available online at: https://celiac.org/about-celiac-disease/what-is-celiac-disease/ (accessed January 27, 2021).
  6. Fraquelli, M., Bardella, M. T., Peracchi, M., Cesana, B. M., Bianchi, P. A., and Conte, D. (1999). Gallbladder emptying and somatostatin and cholecystokinin plasma levels in celiac disease. Am. J. Gastroenterol. 94, 1866–1870. doi: 10.1111/j.1572 0241.1999.01221.x
  7. Rinzivillo, M., De Felice, I., Magi, L., Annibale, B., and Panzuto, F. (2020). Occurrence of exocrine pancreatic insufficiency in patients with advanced neuroendocrine tumors treated with somatostatin analogs. Pancreatology 20, 875–879. doi: 10.1016/j.pan.2020.06.007
  8. Gloor, B., Ahmed, Z., Uhl, W., and Büchler, M. W. (2002). Pancreatic disease in the elderly. Best Pract. Res. Clin. Gastroenterol. 16, 159–170. doi: 10.1053/bega.2002.0272
  9. National Institute of Diabetes and Digestive and Kidney Diseases (2021). Zollinger Ellison Syndrome. Available online at: https://www.niddk.nih.gov/health information/digestive-diseases/zollinger-ellison-syndrome (accessed January 27, 2021)
  10. Gokce, M., Tuncer, M., Cetin, M., and Gumruk, F. (2013). Molecular diagnosis of Shwachmann Diamond syndrome presenting with pancytopenia at an early age: the first report from Turkey. Indian J. Hematol. Blood Transfus. 29, 161–163. doi: 10.1007/s12288-012-0163-x
  11. Harsh Madak
  12. Nat Rev Gastroenterol Hepatol . 2021 July ; 18(7): 493–502. doi:10.1038/s41575 021-00457-x.
  13. Zhao, Z., & Liu, W. (2020). Pancreatic Cancer: A Review of Risk Factors, Diagnosis, and Treatment. Technology in Cancer Research & Treatment, 19, 153303382096211
  14. Raimondi S, Maisonneuve P, Lowenfels AB. Epidemiology of pancreatic cancer: an overview. Nat Rev Gastroenterol Hepatol. 2009;6(12):699–708. doi: 10.1038/nrgastro.2009.177. [DOI] [PubMed] [Google Scholar]
  15. SEER Cancer Statistics Factsheets: Pancreas Cancer. National Cancer Institute. Bethesda, MD, http://seer.cancer.gov/statfacts/html/pancreas.html
  16. Rawla P, Sunkara T, Gaduputi V. Epidemiology of Pancreatic Cancer: Global Trends, Etiology and Risk Factors. World J Oncol. 2019;10(1):10–27.
  17. WHO Classification of Tumours Editorial Board. Digestive System Tumours. 5th ed. IARC; 2019.
  18. Holen KD et al. Acinar cell carcinoma of the pancreas: a report of 19 cases and review of literature. J Gastrointest Cancer. 2002;34(2):67–76.
  19. Dhebri AR et al. Pancreatoblastoma: a review of the literature. Eur J Surg Oncol. 2002;28(6):587–590.
  20. Adsay NV et al. Colloid (mucinous noncystic) carcinoma of the pancreas. Am J Surg Pathol. 2001;25(1):26–42.
  21. Tanaka M et al. International consensus guidelines 2012 for the management of IPMN and MCN of the pancreas. Pancreatology. 2012;12(3):183–197.
  22. Bailey P et al. Genomic analyses identify molecular subtypes of pancreatic cancer. Nature. 2016;531(7592):47–52.
  23. Maisonneuve P., Lowenfels A.B. Risk factors for pancreatic cancer: A summary review of meta-analytical studies. Int. J. Epidemiol. 2015;44:186–198. doi: 10.1093/ije/dyu240.
  24. Klein AP. Pancreatic cancer epidemiology: understanding the role of lifestyle and inherited risk factors. Nat Rev Gastroenterol Hepatol. 2021 Jul;18(7):493-502. doi: 10.1038/s41575-021-00457-x. Epub 2021 May 17. PMID: 34002083; PMCID: PMC9265847.
  25. Lynch SM et al. Cigarette smoking and pancreatic cancer: a pooled analysis from the Pancreatic Cancer Cohort Consortium. Am. J. Epidemiol. 170, 403–413 (2009).
  26. Wood, Laura D. MD, PhD; Hruban, Ralph H. MD. Pathology and Molecular Genetics of Pancreatic Neoplasms. The Cancer Journal 18(6):p 492-501, November/December 2012. | DOI: 10.1097/PPO.0b013e31827459b6
  27. Cigarette smoking and pancreatic cancer: an analysis from the International Pancreatic Cancer Case-Control Consortium (Panc4)
  28. Bosetti, C. et al.
  29. Annals of Oncology, Volume 23, Issue 7, 1880 – 1888
  30. Shannon M. Lynch, Alina Vrieling, Jay H. Lubin, Peter Kraft, Julie B. Mendelsohn, Patricia Hartge, Federico Canzian, Emily Steplowski, Alan A. Arslan, Myron Gross, Kathy Helzlsouer, Eric J. Jacobs, Andrea LaCroix, Gloria Petersen, Wei Zheng, Demetrius Albanes, Laufey Amundadottir, Sheila A. Bingham, Paolo Boffetta, Marie Christine Boutron-Ruault, Stephen J. Chanock, Sandra Clipp, Robert N. Hoover, Kevin Jacobs, Karen C. Johnson, Charles Kooperberg, Juhua Luo, Catherine Messina, Domenico Palli, Alpa V. Patel, Elio Riboli, Xiao-Ou Shu, Laudina Rodriguez Suarez, Gilles Thomas, Anne Tjønneland, Geoffrey S. Tobias, Elissa Tong, Dimitrios Trichopoulos, Jarmo Virtamo, Weimin Ye, Kai Yu, Anne Zeleniuch-Jacquette, H. Bas Bueno-de-Mesquita, Rachael Z. Stolzenberg-Solomon, Cigarette Smoking and Pancreatic Cancer: A Pooled Analysis From the Pancreatic Cancer Cohort Consortium, American Journal of Epidemiology, Volume 170, Issue 4, 15 August 2009, Pages 403–413, https://doi.org/10.1093/aje/kwp134
  31. Yuriko N. Koyanagi, Hidemi Ito, Keitaro Matsuo,Yumi Sugawara, Akihisa Hidaka, Norie Sawada, Keiko Wada, Chisato Nagata, Akiko Tamakoshi,Yingsong Lin, Taro Takeuchi,Yuri Kitamura, Mai Utada, Atsuko Sadakane,Tetsuya Mizoue, MarikoNaito,KeitaroTanaka,TaichiShimazu,ShoichiroTsugane,andManamiInoue, for the Research Group for the Development and Evaluation of Cancer Prevention Strategies in Japan
  32. Bao Y, Giovannucci E, Fuchs CS & Michaud DS Passive smoking and pancreatic cancer in women: a prospective cohort study. Cancer Epidemiol. Biomarkers Prev. 18, 2292–2296 (2009).
  33. Zhou J, Wellenius GA & Michaud DS Environmental tobacco smoke and the risk of pancreatic cancer among non-smokers: a meta-analysis. Occup. Env. Med. 69, 853–857 (2012).
  34. Marcon A et al. Trends in smoking initiation in Europe over 40 years: a retrospective cohort study. PLoS ONE 13, e0201881 (2018).
  35. Yang JJ et al. Tobacco smoking and mortality in Asia: a pooled meta-analysis. JAMA Netw. Open 2, e191474 (2019).
  36. Maisonneuve P & Lowenfels AB Risk factors for pancreatic cancer: a summary review of meta-analytical studies. Int. J. Epidemiol. 44, 186–198 (2015).
  37. Everhart J & Wright D Diabetes mellitus as a risk factor for pancreatic cancer. A meta-analysis. JAMA 273, 1605–1609 (1995).
  38. Elena JW et al. Diabetes and risk of pancreatic cancer: a pooled analysis from the Pancreatic Cancer Cohort Consortium. Cancer Causes Control. 24, 13–25 (2013).
  39. Chari ST et al. Probability of pancreatic cancer following diabetes: a population based study. Gastroenterology 129, 504–511 (2005).
  40. Stolzenberg-Solomon RZ et al. Insulin, glucose, insulin resistance, and pancreatic cancer in male smokers. JAMA 294, 2872–2878 (2005).
  41. Pang Y et al. Diabetes, plasma glucose and incidence of pancreatic cancer: a prospective study of 0.5 million Chinese adults and a meta-analysis of 22 cohort studies. Int. J. Cancer 140, 1781–1788 (2017).
  42. Klein AP. Pancreatic cancer epidemiology: understanding the role of lifestyle and inherited risk factors. Nat Rev Gastroenterol Hepatol. 2021 Jul;18(7):493-502. doi: 10.1038/s41575-021-00457-x. Epub 2021 May 17. PMID: 34002083; PMCID: PMC9265847
  43. Genkinger JM et al. Alcohol intake and pancreatic cancer risk: a pooled analysis of fourteen cohort studies. Cancer Epidemiol. Biomarkers Prev. 18, 765–776 (2009).
  44. Jiao L et al. Alcohol use and risk of pancreatic cancer: the NIH-AARP Diet and Health Study. Am. J. Epidemiol. 169, 1043–1051 (2009).
  45. Naudin S et al. Lifetime and baseline alcohol intakes and risk of pancreatic cancer in the European Prospective Investigation into Cancer and Nutrition study. Int. J. Cancer 143, 801–812 (2018).
  46. Yadav D & Lowenfels AB The epidemiology of pancreatitis and pancreatic cancer. Gastroenterology 144, 1252–1261 (2013).
  47. Duell EJ et al. Pancreatitis and pancreatic cancer risk: a pooled analysis in the International Pancreatic Cancer Case-Control Consortium (PanC4). Ann. Oncol. 23, 2964–2970 (2012).
  48. Christakoudi S., Pagoni P., Ferrari P., Cross A.J., Tzoulaki I., Muller D.C., Weiderpass E., Freisling H., Murphy N., Dossus L., et al. Weight change in middle adulthood and risk of cancer in the European Prospective Investigation into Cancer and Nutrition (EPIC) cohort. Int. J. Cancer. 2021;148:1637–1651. doi: 10.1002/ijc.33339
  49. Larsson S.C., Orsini N., Wolk A. Body mass index and pancreatic cancer risk: A meta-analysis of prospective studies. Int. J. Cancer. 2007;120:1993–1998. doi: 10.1002/ijc.22535.
  50. Shyam S., Greenwood D., Mai C.W., Tan S.S., Mohd Yusof B.N., Moy F.M., Cade J. Traditional and Novel Adiposity Indicators and Pancreatic Cancer Risk: Findings from the UK Women’s Cohort Study. Cancers. 2021;13:1036. doi: 10.3390/cancers13051036.
  51. Jiao L., Chen L., White D.L., Tinker L., Chlebowski R.T., van Horn L.V., Richardson P., Lane D., Sangi-Haghpeykar H., El-Serag H.B. Low-fat Dietary Pattern and Pancreatic Cancer Risk in the Women’s Health Initiative Dietary Modification Randomized Controlled Trial. J. Natl. Cancer Inst. 2018;110:49–56. doi: 10.1093/jnci/djx117
  52. Sung H., Ferlay J., Siegel R.L., Laversanne M., Soerjomataram I., Jemal A., Bray F. Global Cancer Statistics 2020: GLOBOCAN Estimates of Incidence and Mortality Worldwide for 36 Cancers in 185 Countries. CA Cancer J. Clin. 2021;71:209–249. doi: 10.3322/caac.21660.
  53. SEER Cancer Statistics Review, 1975-2013 [Internet]. National Cancer Institue, Bethesda, MD. 2016
  54. Bray F, Ferlay J, Soerjomataram I, Siegel RL, Torre LA, Jemal A. Global cancer statistics 2018: GLOBOCAN estimates of incidence and mortality worldwide for 36 cancers in 185 countries. CA Cancer J Clin. 2018;68(6):394–424. doi: 10.3322/caac.21492.
  55. Siegel RL, Miller KD, Jemal A. Cancer statistics, 2018. CA Cancer J Clin. 2018;68(1):7–30. doi: 10.3322/caac.21442.
  56. Bosetti C, Bertuccio P, Negri E, La Vecchia C, Zeegers MP, Boffetta P. Pancreatic cancer: overview of descriptive epidemiology. Mol Carcinog. 2012;51(1):3–13. doi: 10.1002/mc.20785.
  57. Pernick NL, Sarkar FH, Philip PA, Arlauskas P, Shields AF, Vaitkevicius VK, Dugan MC. et al. Clinicopathologic analysis of pancreatic adenocarcinoma in African Americans and Caucasians. Pancreas. 2003;26(1):28–32. doi: 10.1097/00006676 200301000-00006.
  58. Dong M, Nio Y, Tamura K, Song MM, Guo KJ, Guo RX, Dong YT. Ki-ras point mutation and p53 expression in human pancreatic cancer: a comparative study among Chinese, Japanese, and Western patients. Cancer Epidemiol Biomarkers Prev. 2000;9(3):279–284.
  59. Song MM, Nio Y, Dong M, Tamura K, Furuse K, Tian YL, He SG. et al. Comparison of K-ras point mutations at codon 12 and p21 expression in pancreatic cancer between Japanese and Chinese patients. J Surg Oncol. 2000;75(3):176–185. doi: 10.1002/1096-9098(200011)75:3<176::AID-JSO5>3.0.CO;2 W.
  60. Longnecker DS, Karagas MR, Tosteson TD, Mott LA. Racial differences in pancreatic cancer: comparison of survival and histologic types of pancreatic carcinoma in Asians, blacks, and whites in the United States. Pancreas. 2000;21(4):338–343. doi: 10.1097/00006676-200011000-00003.
  61. Parkin DM, Boyd L, Walker LC. 16. The fraction of cancer attributable to lifestyle and environmental factors in the UK in 2010. Br J Cancer. 2011;105(Suppl 2):S77–81. doi: 10.1038/bjc.2011.489
  62. Anand P, Kunnumakkara AB, Sundaram C, Harikumar KB, Tharakan ST, Lai OS, Sung B. et al. Cancer is a preventable disease that requires major lifestyle changes. Pharm Res. 2008;25(9):2097–2116. doi: 10.1007/s11095-008-9661-9.
  63. Shi C, Hruban RH, Klein AP. Familial pancreatic cancer. Arch Pathol Lab Med. 2009;133(3):365–374. doi: 10.5858/133.3.365.
  64. Klein AP, Brune KA, Petersen GM, Goggins M, Tersmette AC, Offerhaus GJ, Griffin C. et al. Prospective risk of pancreatic cancer in familial pancreatic cancer kindreds. Cancer Res. 2004;64(7):2634–2638. doi: 10.1158/0008-5472.CAN-03-3823.
  65. Greer JB, Whitcomb DC, Brand RE. Genetic predisposition to pancreatic cancer: a brief review. Am J Gastroenterol. 2007;102(11):2564–2569. doi: 10.1111/j.1572 0241.2007.01475.x.
  66. Vincent A, Herman J, Schulick R, Hruban RH, Goggins M. Pancreatic cancer. Lancet. 2011;378(9791):607–620. doi: 10.1016/S0140-6736(10)62307-0.
  67. Brune KA, Lau B, Palmisano E, Canto M, Goggins MG, Hruban RH, Klein AP. Importance of age of onset in pancreatic cancer kindreds. J Natl Cancer Inst. 2010;102(2):119–126. doi: 10.1093/jnci/djp466.
  68. Wang L, Brune KA, Visvanathan K, Laheru D, Herman J, Wolfgang C, Schulick R. et al. Elevated cancer mortality in the relatives of patients with pancreatic cancer. Cancer Epidemiol Biomarkers Prev. 2009;18(11):2829–2834. doi: 10.1158/1055 9965.EPI-09-0557.
  69. Anstee DJ. The relationship between blood groups and disease. Blood. 2010;115(23):4635–4643. doi: 10.1182/blood-2010-01-261859
  70. Macafee AL. ABO blood groups and carcinoma of pancreas. Ulster Med J. 1964;33(2):129–131.
  71. Vioque J, Walker AM. [Pancreatic cancer and ABO blood types: a study of cases and controls] Med Clin (Barc) 1991;96(20):761–764.
  72. Wang DS, Wang ZQ, Zhang L, Qiu MZ, Luo HY, Ren C, Zhang DS. et al. Are risk factors associated with outcomes in pancreatic cancer? PLoS One. 2012;7(7):e41984. doi: 10.1371/journal.pone.0041984.
  73. Hakomori S. Antigen structure and genetic basis of histo-blood groups A, B and O: their changes associated with human cancer. Biochim Biophys Acta.
  74. 1999;1473(1):247–266. doi: 10.1016/S0304-4165(99)00183-X.
  75. Schneider K, Zelley K, Nichols KE, et al. Li-Fraumeni Syndrome. 1999 Jan 19 [Updated 2025 May 1]. In: Adam MP, Feldman J, Mirzaa GM, et al., editors. GeneReviews® [Internet]. Seattle (WA): University of Washington, Seattle; 1993 2025. Available from: https://www.ncbi.nlm.nih.gov/sites/books/NBK1311
  76. Kopacova M, Tacheci I, Rejchrt S, Bures J. Peutz-Jeghers syndrome: diagnostic and therapeutic approach. World J Gastroenterol. 2009 Nov 21;15(43):5397-408. doi: 10.3748/wjg.15.5397. PMID: 19916169; PMCID: PMC2778095.
  77. Hessmann E, Buchholz SM, Demir IE, Singh SK, Gress TM, Ellenrieder V, Neesse A. Microenvironmental Determinants of Pancreatic Cancer. Physiol Rev. 2020 Oct 1;100(4):1707-1751. doi: 10.1152/physrev.00042.2019. Epub 2020 Apr 16. PMID: 32297835
  78. SEER Cancer Statistics Review, 1975-2014. National Cancer Institute, 201~ A oilohle at: https://seer.cancer.gov/csr/1975_ 2014/. Accessed June 22, 2017.
  79. Koprowski H, Steplewski Z, Mitchell K, et al. Colorectal carcinoma antigen detected by hybridoma antibodies. Somatic Cell Genet. 1979;5:957–972.
  80. Itkowitz SH, Kim YS. New carbohydrate tumor markers. Gastroenterology. 1986;90:491–494.
  81. Goonetilleke KS, Siriwardena AK. Systematic review of carbohydrate antigen (CA19-9) as a biochemical marker in the diagnosis of pancreatic cancer. Eur J Surg Oncol. 2007;33:266–270.
  82. Ni XG, Bai XF, Mao YL, Shao YF, Wu JX, Shan Y, Wang CF, Wang J, Tian YT, Liu Q, Xu DK and Zhao P. The clinical value of serum CEA, CA19- 9, and CA242 in the diagnosis and prognosis of pancreatic cancer. Eur J Surg Oncol 2005; 31: 164-9.
  83. Yu KH, Mamet R, Makarov V, et al. "Integrated multi-analyte blood test for detection and differentiation of benign and malignant pancreatic diseases." Journal of Clinical Oncology. 2023;41(4):351-362. https://ascopubs.org/doi/full/10.1200/JCO.22.01123
  84. KarlsonBM,EkbomA,LindgrenPG,KallskogV,RostadJ.AbdominalUSfordiagnosisofpancreatictumor:prospective cohortanalysis.Radiology1999; / 213: / 107
  85. Brennan DD, Zamboni GA, Raptopoulos VD, Kruskal JB. Comprehensive preoperative assessment of pancreatic adenocarcinoma with 64-section volumetric CT. Radiographics 2007; 27: 1653-1666 [PMID: 18025509 DOI: 10.1148/rg.276075034]
  86. LuDS,VedanthamS,KrasnyRM,Kadell B,BergerWL, Reber HA. Two-phase helical CT for pancreatic tumors: pancreatic versus hepatic phase enhancement of tumor, pancreas, andvascular structures.Radiology1996; / 199: / 697 701.
  87. VallsC,AndiaE,SanchezA,FabregatJ,PozueloO,Quintero JC, et al.Dual-phase helicalCTof pancreatic adenocarci noma: assessment of resectabilitybefore surgery.AJRAmJ Roentgenol2002; / 178: / 821 6.
  88. Sheridan MB, Ward J, Guthrie JA, Spencer JA, Craven CM, Wilson D, Guillou PJ, Robinson PJ. Dynamic contrast-enhanced MR imaging and dual-phase helical CT in the preoperative assessment of suspected pancreatic cancer: a comparative study with receiver operating characteristic analysis. AJR Am J Roentgenol 1999; 173: 583-590 [PMID: 10470884 DOI: 10.2214/ ajr.173.3.10470884]
  89. Wong JC, Lu DS. Staging of pancreatic adenocarcinoma by imaging studies. Clin Gastroenterol Hepatol 2008; 6: 1301-1308 [PMID: 18948228 DOI: 10.1016/j.cgh.2008.09.014]
  90. Treadwell JR, Zafar HM, Mitchell MD, Tipton K, Teitelbaum U, Jue J. Imaging Tests for the Diagnosis and Staging of Pancreatic Adenocarcinoma: A Meta-Analysis. Pancreas 2016; 45: 789-795 [PMID: 26745859 DOI: 10.1097/MPA.0000000000000524]
  91. National Comprehensive Cancer Network. 2017 [cited March 1, 2018]. In: NCCN guidelines version 3.2017: pancreatic adenocarcinoma [Internet]. Available from: URL: https://www. nccn.org/professionals/physician_gls/pdf/pancreatic.pdf
  92. Fattahi R, Balci NC, Perman WH, Hsueh EC, Alkaade S, Havlioglu N, Burton FR. Pancreatic diffusion-weighted imaging (DWI): comparison between mass-forming focal pancreatitis (FP), pancreatic cancer (PC), and normal pancreas. J Magn Reson Imaging 2009; 29: 350-356 [PMID: 19161187 DOI: 10.1002/ jmri.21651]
  93. Volmar KE, Vollmer RT, Jowell PS, Nelson RC, Xie HB. Pan creatic FNA in 1000 cases: a comparison of imaging modali ties. Gastrointest Endosc 2005; 61: 854 861 [PMID: 15933687]
  94. Rösch T, Lorenz R, Braig C, Feuerbach S, Siewert JR, Schus dziarra V, Classen M. Endoscopic ultrasound in pancreatic tumor diagnosis. Gastrointest Endosc 1991; 37: 347-352 [PMID: 2070987]
  95. Puli SR, Bechtold ML, Buxbaum JL, Eloubeidi MA. How good is endoscopic ultrasound-guided fine-needle aspi ration in diagnosing the correct etiology for a solid pan creatic mass?: A meta-analysis and systematic review. Pancreas 2013; 42: 20-26 [PMID: 23254913 DOI: 10.1097/ MPA.0b013e3182546e79]
  96. Buchs NC, Frossard JL, Rosset A, Chilcott M, Koutny-Fong P, Chassot G, Fasel JH, Poletti PA, Becker CD, Mentha G, Bühler L, Morel P. Vascular invasion in pancreatic cancer: evaluation of endoscopic ultrasonography, computed tomography, ultrasonography, and angiography. Swiss Med Wkly 2007; 137: 286-291 [PMID: 17594541]
  97. Nawaz H, Fan CY, Kloke J, Khalid A, McGrath K, Landsittel D, Papachristou GI. Performance characteristics of endoscopic ultrasound in the staging of pancreatic cancer: a meta-analysis. JOP 2013; 14: 484-497 [PMID: 24018593 DOI: 10.6092/1590-8577/1512]
  98. Brand B, Pfaff T, Binmoeller KF, Sriram PV, Fritscher-Ravens A, Knofel WT, et al. Endoscopic ultrasound for differential diagnosis of focal pancreatic lesions, confirmed by surgery. Scand J Gastroenterol 2000; 35: 1221 8.
  99. Cote, J., M. D. Dockerty and J. T. Priestley: An Evaluation of Pancreatic Biopsy with the Vim-Silverman Needle. Arch. Surg., 79:588, 1959.
  100. Bowden, L.: The Fallability of Pancreatic Biopsy. Ann. Surg., 139:403, 1954.
  101. Singh S, Tang SJ, Sreenarasimhaiah J, et al. The clinical utility and limitations of serum carbohydrate antigen (CA19-9) as a diagnostic tool for pancreatic cancer and cholangiocarcinoma. Dig Dis Sci 2011;56:2491–6.
  102. Palanisamy V, Sharma S, Deshpande A, et al. Nanostructural and transcriptomic analyses of human saliva derived exosomes. PloS One 2010;5:e8577.
  103. Onuigbo WI. An index of the fate of circulating cancer cells. Lancet. 1963;2(7312):828-31.
  104. Xie ZB, Yao L, Jin C, Fu DL. Circulating tumor cells in pancreatic cancer patients:efficacy in diagnosis and value in prognosis. Discov Med. 2016;22(120):121-8
  105. Kosmidis C, Sapalidis K, Kotidis E, Mixalopoulos N, Zarogoulidis P, Tsavlis D, Baka S, Man YG, Kanellos J. Pancreatic cancer from bench to bedside: molecular pathways and treatment options. Ann Transl Med 2016;4:165.
  106. Wolfgang CL, Herman JM, Laheru DA, Klein AP, Erdek MA, Fishman EK, Hruban RH.
  107. Karanikas M, Esempidis A, Chasan ZT, Deftereou T, Antonopoulou M, Bozali F,Amarantidis K, Man YG. Pancreatic cancer from molecular pathways to treatment
  108. opinion. J Cancer 2016;7:1328-39.
  109. results (SEER) analysis. Ann Surg Oncol 2017;24:2023-30.
  110. Kim SC. [Surgical management of pancreatic cancer]. Korean J Gastroenterol. 2008 Feb;51(2):89-100. Korean. PMID: 18349571.
  111. Griffin JF, Poruk KE, Wolfgang CL. Pancreatic cancer surgery: past, present, and future. Chin J Cancer Res. 2015 Aug;27(4):332-48. doi: 10.3978/j.issn.1000-9604.2015.06.07. PMID: 26361403; PMCID: PMC4560737.
  112. Cuschieri A, Jakimowicz JJ, van Spreeuwel J. Laparoscopic Distal 70% Pancreatectomy and Splenectomy for Chronic Pancreatitis. Ann Surg 1996;223:280-5. [Crossref] [PubMed]
  113. Gorris M, van Bodegraven EA, Abu Hilal M, Bolm L, Busch OR, Del Chiaro M, Habib J, Hasegawa K, He J, van Hooft JE, Jang JY, Javed AA, Kazami Y, Kwon W, Lee M, Liu R, Motoi F, Perri G, Saiura A, Salvia R, Sasanuma H, Takeda Y, Wolfgang C, Zelga P, Castillo CF, Marchegiani G, Besselink MG. Outcomes after distal pancreatectomy with or without splenectomy for intraductal papillary mucinous neoplasm: international multicentre cohort study. Br J Surg. 2024 Jan 3;111(1):znad424. doi:10.1093/bjs/znad424. PMID: 38195084; PMCID: PMC10776207.
  114. Brady MSRogatko ADent LLShiu MH Effect of splenectomy on morbidity and survival following curative gastrectomy for carcinoma. Arch Surg. 1991;12635364
  115. Bonenkamp JJHermans JSasako Mvan de Velde CJfor the Dutch Gastric Cancer Group, Extended lymph-node dissection for gastric cancer. N Engl JMed. 1999;340908- 914
  116. J.R. Howe, N.B. Merchant, C. Conrad, X.M. Keutgen, J. Hallet, J.A. Drebin, et al.
  117. K. Misuta et al.
  118. Haines M, Chua TC, Jamieson NB, et al. Pancreatoduodenectomy With Arterial Resection for Locally Advanced Pancreatic Cancer of the Head: A Systematic
  119. Review. Pancreas 2020;49:621-8.
  120. American College of Surgeons. Operative standards for cancer surgery.
  121. Philadelphia: Lippincott Williams & Wilkins; 2023.
  122. Loos M, Kester T, Klaiber U, et al. Arterial Resection in Pancreatic Cancer Surgery:
  123. Effective After a Learning Curve. Ann Surg 2022;275:759-68.
  124. Vincent A, Herman J, Schulick R, Hruban RH, Goggins M (August 2011).    
  125. Chemotherapy Regimen Extends Survival in Advanced Pancreatic Cancer Patients". National Cancer Institute. 7 June 2011. Retrieved 6 September 2013.
  126. Michelakos, T; Pergolini, I; Castillo, CF; Honselmann, KC; Cai, L; Deshpande, V; Wo, JY; Ryan, DP; Allen, JN; Blaszkowsky, LS; Clark, JW; Murphy, JE; Nipp, RD; Parikh, A; Qadan, M; Warshaw, AL; Hong, TS; Lillemoe, KD; Ferrone, CR (April 2019). "Predictors of Resectability and Survival in Patients With Borderline and Locally Advanced Pancreatic Cancer who Underwent Neoadjuvant Treatment With FOLFIRINOX". Annals of Surgery.
  127. "If treatment for pancreatic cancer stops working". American Cancer Society.
  128. Arcidiacono PG, Calori G, Carrara S, McNicol ED, Testoni PA (March 2011). Arcidiacono PG (ed.). "Celiac plexus block for pancreatic cancer pain in adults". The Cochrane Database of Systematic Reviews. 2019
  129. Wolfgang CL, Herman JM, Laheru DA, Klein AP, Erdek MA, Fishman EK, et al. (September 2013). "Recent progress in pancreatic cancer"
  130. American Cancer Society (ACS), 2024 https://www.cancer.org/cancer/pancreatic-cancer/detection-diagnosis-staging/survival-rates.html
  131. SEER Program, NCI, 2024 https://seer.cancer.gov/statfacts/html/pancreas.html [2]
  132. NCCN Guidelines v1.2024 https://www.nccn.org [3]
  133. SEER; Conroy T et al., NEJM , 2011 https://www.nejm.org/doi/full/10.1056/NEJMoa1011923 [4]
  134. Tempero MA et al., JNCCN , 2023 DOI: 10.6004/jnccn.2023.7000 [5]
  135. Oettle H et al., JAMA, 2007, DOI: 10.1001/jama.298.3.287
  136. Conroy T et al., NEJM , 2011 https://www.nejm.org/doi/full/10.1056/NEJMoa1011923 [8]
  137. Burris HA et al., JCO , 1997 DOI: 10.1200/JCO.1997.15.6.240
  138. Golan T et al., NEJM , 2019 (POLO Trial) DOI: 10.1056/NEJMoa1903387
  139. IARC CancerBase No. 11, International Agency for Research on Cancer, 2013. [11]
  140. Brenner H, Hakulinen T. Population-based monitoring with imperfect registry data.
  141. https://seer.cancer.gov, https://cancer.org [12]
  142. https://www.nccn.org/professionals/physician_gls/pdf/pancreatic.pdf [13]
  143. By Ignacio Garrido-Laguna, David S. Hong, Journal of Clinical Oncology, Volume 43, https://ascopubs.org/
  144. KRAS G12 inhibitor RMC-9805, NCI Drug dictionary, NCI, 2024. Study of RMC-9805 in Participants With KRAS G12D-Mutant Solid Tumors"at ClinicalTrials.gov
  145. By Daoyan Wei, A small molecule big impact : MRTX113 targets the KRAS G12D mutation, published on 16 Aug 2024, https://pmc.ncbi.nlm.nih.gov/articles/PMC10922474
  146. https://investors.biontech.de/news-releases/news-release-details/biontech- expands-late-stage-clinical-oncology-portfolio BioNTech, 19 october 2023.
  147. https://www.fda.gov/drugs/resources-information-approved-drugs/fda- grants-accelerated-approval-zenocutuzumab-zbco-non-small-cell-lung- cancer-and-pancreatic, U.S. Food and Drug Administration(FDA), 4 December 2024.
  148. By Alex Mitchell, NY lab discovers pancreatic cancer breakthrough that can ‘intercept’ spread, published on April 10, 2025, https://nypost.com
  149. By Neil Gerard, Katja Steiger, PET/CT imaging pancreatic cancer in humans with Ga-68 Trivehexin, https://pmc.ncbi.nlm.nih.gov/articles/PMC8460406/
  150. By Cara Lynn Shultz, New test detects early pancreatic with 85% accuracy, Cancer Early Detection Advanced Research Center (CEDAR), published on 24/02/2025. Steiger K, Hoberueck S, European journal of nuclear medicine and molecular imaging
  151. By Boris Rubinsky PhD, Paul Mikus, B.sc, Irreversible Electroporation: A new ablation modality, Sage journals, published on February 2007, https://journals.sagepub.com/
  152. By Han Liu, Sasa Grbic, AI assisted early detection of pancreatic cancer with enhanced CT, published on 13 March 2025, https://arxiv.org/abs/2503.10068
  153. Canto MI, Harinck F, Hruban RH, Offerhaus GJ, Poley JW, Kamel I, Nio Y, Schulick RS, Bassi C, Kluijt I, Levy MJ, Chak A, Fockens P, Goggins M, Bruno M. International Cancer of the Pancreas Screening (CAPS) Consortium summit on the management of patients with increased risk for familial pancreatic cancer. Gut 2013; 62: 339-347 [PMID: 23135763 DOI: 10.1136/gutjnl-2012-303108]
  154. Brand RE, Lerch MM, Rubinstein WS, Neoptolemos JP, Whitcomb DC, Hruban RH, Brentnall TA, Lynch HT, Canto MI. Advances in counselling and surveillance of patients at risk for pancreatic cancer. Gut 2007; 56: 1460-1469 [PMID: 17872573 DOI: 10.1136/gut.2006.108456]
  155. U. S. Preventive Services Task Force. Screening for family and intimate partner violence: recommendation statement. Ann Intern Med 2004; 140: 382-386 [PMID:14996680]
  156. Li D, Morris JS, Liu J, Hassan MM, Day RS, Bondy ML, Ab bruzzese JL. Body mass index and risk, age of onset, and survival in patients with pancreatic cancer. JAMA 2009; 301: 2553-2562 [PMID: 19549972 DOI: 10.1001/jama.2009.886]
  157. Boffetta P, Hecht S, Gray N, Gupta P, Straif K. Smokeless tobacco and cancer. Lancet Oncol 2008; 9: 667-675 [PMID: 18598931 DOI: 10.1016/S14702045(08)70173-6]
  158. Ansary-Moghaddam A, Huxley R, Barzi F, Lawes C, Ohkubo T, Fang X, Jee SH, Woodward M. The effect of modifiable risk factors on pancreatic cancer mortality in populations of the Asia-Pacific region. Cancer Epidemiol Biomarkers Prev 2006;15: 2435-2440 [PMID: 17164367 DOI: 10.1158/1055-9965.EPI-06-0368]
  159. Chari ST, Leibson CL, Rabe KG, Ransom J, de Andrade M , Petersen GM. Probability of pancreatic cancer following diabetes: a population-based study. Gastroenterology 2005; 129: 504-511 [PMID: 16083707]
  160. Lowenfels AB, Maisonneuve P, Cavallini G, Ammann RW, Lankisch PG, Andersen JR, Dimagno EP, Andrén-Sandberg A, Domellöf L. Pancreatitis and the risk of pancreatic cancer. International Pancreatitis Study Group. N Engl J Med 1993; 328: 1433-1437 [PMID: 8479461 DOI: 10.1056/ NEJM199305203282001]
  161. Malka D, Hammel P, Maire F, Rufat P, Madeira I, Pessione F, Lévy P, Ruszniewski P. Risk of pancreatic adenocarci noma in chronic pancreatitis. Gut 2002; 51: 849-852 [PMID: 12427788 DOI: 10.1136/gut.51.6.849
  162. Bansal P, Sonnenberg A. Pancreatitis is a risk factor for pancreatic cancer.  Gastroenterology 1995; 109: 247-251 [PMID: 7797022 DOI: 10.1016/00165085(95)90291-0]
  163. Ulrich CD. Pancreatic cancer in hereditary pancreatitis: consensus guidelines for prevention, screening and treat ment. Pancreatology 2001; 1: 416-422 [PMID:12120218 DOI: 10.1159/000055841]
  164. Singhi AD, Koay EJ, Chari ST, Maitra A. Early Detection of Pancreatic Cancer: Opportunities and Challenges. Gastroenterology. 2019;156(7):2024-2040.
  165. Tempero MA, Malafa MP, Chiorean EG, et al. Pancreatic Adenocarcinoma, Version 1.2019, NCCN Clinical Practice Guidelines in Oncology. J Natl Compr Canc Netw. 2019;17(3):202-210.

Photo
Falgun Mehta
Corresponding author

Director, Krishna School of Pharmacy & Research, A Constituent School of Drs. Kiran & Pallavi Patel Global University, Varnama, Vadodara, Gujarat, India.

Photo
Deep Parekh
Co-author

Krishna School of Pharmacy & Research, A Constituent School of Drs. Kiran & Pallavi Patel Global University, Varnama, Vadodara, Gujarat, India.

Photo
Aagam Shah
Co-author

Krishna School of Pharmacy & Research, A Constituent School of Drs. Kiran & Pallavi Patel Global University, Varnama, Vadodara, Gujarat, India.

Photo
Heer Patel
Co-author

Krishna School of Pharmacy & Research, A Constituent School of Drs. Kiran & Pallavi Patel Global University, Varnama, Vadodara, Gujarat, India.

Photo
Dev Gandhi
Co-author

Krishna School of Pharmacy & Research, A Constituent School of Drs. Kiran & Pallavi Patel Global University, Varnama, Vadodara, Gujarat, India.

Photo
Dhavan Kothari
Co-author

Krishna School of Pharmacy & Research, A Constituent School of Drs. Kiran & Pallavi Patel Global University, Varnama, Vadodara, Gujarat, India.fm

Falgun Mehta, Deep Parekh, Aagam Shah, Heer Patel, Dev Gandhi, Dhavan Kothari, An Updated Review on Pancreatic Cancer: Advancement, Diagnosis and Treatment, Int. J. of Pharm. Sci., 2026, Vol 4, Issue 3, 4030-4063. https://doi.org/10.5281/zenodo.19339502

More related articles
Formulation And Development Of Bilayer Tablets Of ...
Naumaan Naeem shaikh, Akshaya Aravamudhan, Sanjana Jadhav, Samiks...
Harnessing Artificial Intelligence in Drug Discove...
Chetana Sancheti, Ganesh Basarkar , ...
Contact Dermatitis from Imitation Jewelry: Clinica...
Rachana M. S., Janavi G., Manasa R., ...
Nanostructured Lipid Carriers as Brain-Targeted Drug Delivery Vehicles in Neurod...
Madhuri Sonawane, Vidhya Thorat, Pooja Paliwal, Yashashri Deore, Rohan Sawant, Dr. P. N. Sable, ...
Automatic Pill Identifier An Overview On Identifying, Retrieving And Authenticat...
Nidhi Joshi , Kajal Pradhan , Happy Bhalodiya , Megha Gandhi , Shital Faldu , ...
A Review on HPTLC Method Development and Validation for Quantitative Estimation ...
Drashti Pandya, Dr. Mitali Dalwadi, Kajal Vable, Dr. Priyanka Patil, ...
Related Articles
A Review on Development of Nootropic Adaptogenic Herbal Lozenges for Stress All...
Shweta Ram, Fiza Nazreen, Aayushi Prasad, Dharmesh Koushal, Dr. Gyanesh Kumar Sahu, Suchita Wamankar...
Targeted Nanoparticle-Based Drug Delivery Systems: Enhancing Therapeutic Efficac...
Sharad Dhotre, Achal Dhotre, Siddhesh Aher, Kartiki Deshmukh, Ishika Dargude, ...
A Comprehensive Review on Calotropis Gigantea Plant Extract...
Sakshi Tidke , Ritika Renge , Vijayalaxmi Donadkar , Dr. Renuka Mahajan, ...
Formulation and Evaluation of a Phytosomal Drug Delivery System of Cyperus Rotun...
Role Shital, Mathpathi Avinash, Wattamwar Pragati, Tehre Rushikesh, Parsewar Hrushikesh, ...
Formulation And Development Of Bilayer Tablets Of Cimetidine And Ciprofloxacin H...
Naumaan Naeem shaikh, Akshaya Aravamudhan, Sanjana Jadhav, Samiksha Shinde, Pradnya Palekar Shanbhag...
More related articles
Formulation And Development Of Bilayer Tablets Of Cimetidine And Ciprofloxacin H...
Naumaan Naeem shaikh, Akshaya Aravamudhan, Sanjana Jadhav, Samiksha Shinde, Pradnya Palekar Shanbhag...
Formulation And Development Of Bilayer Tablets Of Cimetidine And Ciprofloxacin H...
Naumaan Naeem shaikh, Akshaya Aravamudhan, Sanjana Jadhav, Samiksha Shinde, Pradnya Palekar Shanbhag...