View Article

Abstract

This research developed and evaluated a herbal hair mask combining Moringa pulp, flaxseeds, and rice water for hair conditioning and smoothing. Flaxseeds, rich in omega-3 fatty acids, saponins, flavonoids, and mucilage, provide conditioning benefits. Rice water offers shine and conditioning through its starch, amino acids, vitamins (B, C, E), and inositol, forming a natural coating on hair. Moringa pulp's properties are attributed to its high nutrient content. The formulation included 2-6 ml of Moringa pulp, 0.1-0.3 ml rice water, and 5 ml flaxseed extract in a carbopol 934 gel base. Among 13 formulations tested, F12 showed optimal performance. The study involved phytochemical analysis, DOE, texture, solid content, spreadability, microscopy, and evaluations, demonstrating the potential of integrating Ayurvedic principles into cosmetics. This polyherbal mask leverages traditional ingredients' benefits, offering a natural, protein-, vitamin-, mineral-, and antioxidant-rich hair conditioning option with promising cosmetic applications.

Keywords

Moringa pulp (Moringa oleifera), flaxseed (Linum usitatissimum), Rice water((Oryza sativa), carbopol, hair mask

Introduction

Hair is a keratinized filamentous structure originating from hair follicles located in the dermis. It plays a vital role in protection, thermoregulation, and sensory perception. Composed primarily of keratin, hair consists of three structural layers: the cuticle (outer layer), the cortex (middle layer), and the medulla (core). These layers collectively contribute to hair's strength, texture, and overall appearance, making hair an important subject in cosmetic, biomedical, and forensic sciences. Hair also serves as a biological indicator, reflecting an individual’s health, environmental exposure, and treatment history. However, it is often subjected to various issues, such as dandruff, dryness, split ends, hair loss, and damage caused by heat or chemical treatments. To address these concerns, a wide range of hair care products—such as shampoos, conditioners, oils, serums, and hair masks—are used to maintain and restore hair health. Hair masks are among the most effective treatments, offering deep nourishment, hydration, and damage repair. In particular, herbal hair masks are gaining attention for their safety, efficacy, and natural composition. These masks incorporate Ayurvedic herbs, essential oils, and botanical extracts that support scalp health, reduce frizz, and improve hair texture and strength. Despite their benefits, herbal masks remain underutilized compared to synthetic alternatives.

This study focuses on the formulation, development, and evaluation of a natural herbal hair mask using Moringa, Flaxseed, and Rice water—ingredients known for their conditioning, anti-frizz, and strengthening properties. The aim is to optimize a safe, effective formulation that can nourish, hydrate, and repair hair. By integrating these ingredients into a single product, the research highlights the potential of herbal masks to address common hair issues while promoting sustainable and natural hair care practices.

2. MATERIALS AND METHODS-

2.1 Materials- Moringa obtained from local vegetable shop, Nashik. Flaxseeds obtained from Pariwar grocery shop, Nashik. Rice arranged from Local girnare farmer, Nasik. Triethanolamine, PVP K30, Methyl paraben, Glycerin, Polyrtheylene glycol 6000, Carbopol 934 are all arranged from pharmaceutics laboratory of MVPS college of pharmacy, Nashik.

Instruments- Weighing balance model Shimadzu AUX220, Heating mantle model Coslab India, Homogenizer model Remi RQ-127 A/D, pH meter Analab, Remi Hot plate, Brookfield viscometerDVE II, Biotechnics India sonicator.

2.2 METHODS-

2.2.1 Collection and Authentication of Materials

All the herbal ingredients used in the formulation were sourced from reliable and reputed suppliers. Moringa (Drumstick) was obtained from the local vegetable market, flaxseed extract was purchased from the Pariwar shop, and rice water was procured from a local Girnare farmer. Each ingredient was authenticated by evaluating its organoleptic features and standard physical characteristics.7

2.2.2 Extraction

1. Moringa pulp extraction-  Drumsticks were cleaned for any impurities and cut into small pieces. 100ml of distilled water was measured. Cut drumsticks added to the beaker containing water. It was heated at 40 0C until concentrated extract obtained, After cooling it was strained using a cheese cloth.

 2. Flaxseed Gel Extraction-  Flaxseeds were cleaned for any impurities. 10 gm of flaxseeds were weighed. 100ml of   distilled water was measured. Flaxseed were added to the beaker containing water. It was heated at 70° for 30 mins. After cooling the flaxseed extract was strained using a cheese cloth.

3. Rice water-

Rice were cleaned. 5 gm of rice were weighed and triturate it . Add it into 10 ml water and keep it for 24 hr for soaked and filter it. This rice water was used for formulation.

Flaxseed extract

Moringa pulp

Muslin cloth filtration

Rice water

2.2.3 Formulation of hair mask:

1. Preparation of Gel Base: Weighed quantities of triethanolamine, PVP, methylparaben, glycerin at predetermined amounts, as specified by the experimental design, polyethylene glycol, and distilled water were gathered .The mixture was stirred at 20 rpm using a mechanical stirrer to ensure uniform blending.

2. Preparation of Carbopol 934 Solution: Carbopol 934 (2% concentration) was soaked in water for 24 hours to hydrate and dissolve.After soaking, the hydrated Carbopol 934 was re-weighed for accurate measurement.

3. Incorporation of Active Drug Constituent:

The (Moringa pulp, Flaxseed extract, Rice water) were added at predetermined amounts, as specified by the experimental design to the stirred gel base mixture. The mixture was continuously stirred at 20 rpm to achieve homogeneity.

4. Final Mixing and Homogenization:

Once the gel base was fully incorporated with the active drug constituents, Carbopol 934 was added slowly to the mixture. Continuous stirring at 20 rpm ensured thorough dispersion and homogenization of Carbopol 934 within each formulation.

3. Formulation table- Based on the result of preliminary formulations. The experiment was designed using the Design Expert software (Design Expert 13.0 stat-ease).  Box- behnken design was applied in the present study.  In this design 3 factors were evaluated, each at 3 level, and experiment trials were performed at all possible combinations. The amount of moringa pulp, rice water and glyerin were selected as a independent variables.

Table 3- Formulation table

Batches

Moringa pulp

(ml)

Rice water

(ml)

Triethanola-mine

(gm)

PVP K30

(gm)

Methyl paraben

(gm)

Glycer-in

(gm)

PEG

gm

Carbopol934

%

Flaxseed extract

(ml)

Water

(ml)

F1

4

0.3

0.5

0.005

0.75

2

6.25

2

5

15

F2

4

0.1

0.5

0.005

0.75

4

6.25

2

5

15

F3

4

0.2

0.5

0.005

0.75

3

6.25

2

5

15

F4

6

0.2

0.5

0.005

0.75

2

6.25

2

5

15

F5

4

0.1

0.5

0.005

0.75

2

6.25

2

5

15

F6

4

0.3

0.5

0.005

0.75

4

6.25

2

5

15

F7

6

0.3

0.5

0.005

0.75

3

6.25

2

5

15

F8

6

0.1

0.5

0.005

0.75

3

6.25

2

5

15

F9

2

0.1

0.5

0.005

0.75

3

6.25

2

5

15

F10

2

0.2

0.5

0.005

0.75

2

6.25

2

5

15

F11

6

0.2

0.5

0.005

0.75

4

6.25

2

5

15

F12

2

0.2

0.5

0.005

0.75

4

6.25

2

5

15

F13

2

0.3

0.5

0.005

0.75

3

6.25

2

5

15

4. Evaluation of hair mask-

4.1 Physical appearance-

Appearance and Texture of formulated hair mask were studied.

4.2  pH-

After the preparations of different hair gel formulations its pH was determined.1gm of hair gel was dissolved in 100ml of distilled water and kept for 2 hrs. after 2hrs pH was noted. The pH was determined 2 times for each herbal hair gel formulation.1

4.3 Viscosity-

Viscosity of the formulation is determined by Brookfield Viscometer at 100 rpm, room temperature (25 ± 2°C), using spindle no.64.6 Viscosity values are expressed in centipoise(cp).

4.4  Washability-

Washability of hair mask was tested by applying it on dorsal surface of left hand and held under running water to observe.7

 4.5 Homogeneity-

A clean, dry object glass was coated with the herbal hair mask, and visual examination under light was conducted to assess its homogeneity and the presence of coarse particles. The sample was evaluated for lumps, flocculates, or aggregates to determine its uniformity.6

4.6 Spreadability- (Spreadability apparatus)  5 gm hair mask was positioned on the underside of the block, followed by the placement of the upper movable slide on to the hair mask. The time taken for the upper slide to separate 5 cm from the assembly was then recorded.2

Spreadability= m×l/t

m= weight attached to the upper slide

l= Distance travelled by upper slide

t= Time taken to separate slide

4.7 Solid content-

A clean, dry evaporating dish was weighed, along with 4 grams of hair mask added to it. Once the liquid JCLMM 2/11 (2023) |994–1006 portion of the hair mask was evaporated, the right weight of the hair mask was determined and the evaporating dish with hair mask was placed on the recent plate. After drying, the weight of the hair mask (solids content) was precisely determined.2

  1. Evaporating dish-weight
  2. add 4 gm hair mask in to dish
  3. allow to liquid evaporate
  4. measured dry weight of sample 

Solid content (%) = Weight of dry sample/ Weight of wet sample × 100

4.8 Irritancy test-

The Skin irritation test was evaluated using the patch test method. A small amount the optimized formulation was applied to the hair and scalp and left for 48 hours. The scalp was checked for any signs of irritation and inflammation.2

  4.9 Conditioning effect-

 4.9.1 Optical microscopy-

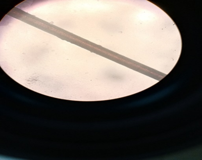
 Optical microscopy of hair is a simple, non-destructive method used to examine hair structure and surface features such as the cuticle, medulla, and signs of damage. It helps identify differences in hair type, origin, and treatment effects like dyeing or heat exposure. Commonly used in forensic, cosmetic, and dermatological studies, this technique provides useful visual details using bright-field or specialized light techniques. Though limited in resolution, it is efficient and cost-effective for routine hair analysis.

4.9.2 Evaluation of hair mask conditioning performance via blind touch test-

A segment of hair collected from volunteer, was divided into three sections approximately 10 cm long. One section, which was not washed, served as the control. The other two sections were washed with hair mask following the same procedure. In each cycle, each section was shaken with a mixture of 10 grams of hair mask sample and 10 ml of water in a conical flask for 2 minutes, then rinsed with water. After washing, the hair was air-dried at room temperature. The washing process was repeated up to a maximum of five cycles for one week. The conditioning effectiveness—such as smoothness and softness—of the hair mask was assessed by 10 volunteers through a blind touch test. The volunteers, blindfolded, were asked to touch the hair samples labeled with random codes. One sample was the untreated control, while the other two had been treated with the shampoos. They rated the conditioning performance on a scale from 1 to 4, where 1 indicated poor, 2 satisfactory, 3 good, and 4 excellent.5

Table 4

Scale

 

1

Poor

2

Satisfactory

3

Good

4

Excellent

5. RESULT AND DISCUSSION

Phytochemical analysis of Flaxseed-

Table 5- Phytochemical analysis of flaxseed

Herbs

Phytochemical

test

Observation

Inference

Flaxseed Extract

Tannin

Braymers test

Brownish –green precipitate

Positive

 

Saponin

Foam test

Foam observed

Positive

 

Phenols

Iodine test

Transient red color

Positive

Phytochemical analysis of Moringa pulp-

Table 6- Moringa pulp

Herbs

Phytochemical

test

Observation

Inference

Moringa Pulp

Protein

Ninhydrin test

Blue coloration

Positive

Table 7- Rice water

Herbs

Phytochemical

test

Observation

Inference

Rice water

Carbohydrate

Molisch’s test

Purple ring at the interface

Positive

5.1 Physical appearance-

Appearance

Colorless

 

Viscous

Texture

Fine smooth

5.2 pH-

Formulation without herbal ingredients-6.58

Batches

B1

B2

B3

B4

B5

B6

B7

B8

B9

B10

B11

B12

B13

pH

6.70

5.59

6.41

6.71

6.21

5.51

6.61

5.51

6.89

6.12

6.67

6.31

6.50

pH of the herbal hair mask ranges from 5 to 7.2

The pH of all batches of the herbal hair oil mask ranged between 5.5 and 6.8, falling within the mildly acidic to near-neutral range. This pH range was suitable for scalp application, reducing the risk of irritation and preserving the scalp's natural acid mantle.

5.3 Viscosity-

Batches

Viscosity (Cp)

1

15450

2

16530

3

15520

4

16650

5

16050

6

15250

7

15110

8

16656

9

16051

10

16560

11

15990

12

15420

13

15450

The viscosity of batch 12 was found to be 15420 Cp.

The viscosity test evaluates the resistance of the herbal hair mask to flow, which directly influences application, retention, and spreadability. A higher value indicates a thicker formulation. An ideal viscosity ensures the product is neither too runny nor too thick, supporting ease of use and effective scalp coverage.

5.4 Washability

Sr.no

Formulaion

Batches(B1 – B13 )

1

Washability

Easy

The washability of all batches of the herbal hair mask was assessed to determine the ease of removal from hair and scalp application. Results indicated that all batches were easily washable with water. This attribute is significant for user convenience, particularly for individuals with busy schedules or sensitive scalps. Viscosity was measured using a Brookfield viscometer at room temperature (25 ± 2°C), with values expressed in poise; higher values denoted a thicker formulation. An optimal viscosity was maintained to ensure the product was neither excessively runny nor overly viscous, facilitating ease of application and uniform scalp coverage. The formulation contained emulsifiers that promoted efficient cleansing while maintaining conditioning effects.

5.5 Homogeneity-

Visual examination of the hair mask confirmed good homogeneity, with no lumps, flocculates, or aggregates observed.

5.6 Spreadability-

Batches

1

2

3

4

5

6

7

Spreadability (gm.cm/sec)

15.27

2.39

18.73

15.27

2.59

52.98

31.39

 

8

9

10

11

12

13

 

 

6.47

3.78

6.67

8.17

19.58

34.89

 

The spreadability of the hair mask was generally within the range of 13.89 to 24.83 g·cm/sec. The spreadability of the marketed product was determined to be 20.61 g.cm/sec. Based on these observations, the spreadability of Batch 12 was considered to be satisfactory.

5.7 Solid content-

Batches

1

2

3

4

5

6

7

Solid content (%)

10.82

9.5

9.5

15.62

12.5

12.5

8.8

 

8

9

10

11

12

13

Marketed product

 

10.57

7.57

9.3

11.85

10.5

10.6

20.61

DISCUSSION-

The hair mask with a high solid content was found to be difficult to rinse and handle during application. The solid content of the prepared hair batch 12 was determined to be 10.5%. The high solid content increased the viscosity of the mixture, rendering it more difficult to distribute evenly across the hair strands. Consequently, the mask exhibited reduced ease of rinsing, as the higher solid concentration impeded thorough removal from the hair surface.

5.8 Irritancy test-

No signs of irritation or inflammation were observed during the examination

5.9 Conditioning effect-

5.9.1   Optical microscopy-

Optical microscopy of hair involves using light microscopes to examine the surface and structural features of hair fibers at various magnifications. This technique provides visual insights into surface texture, cuticle condition, and overall hair morphology, helping to assess damage, smoothness, and the effects of treatments or environmental factors.

(A)  Sample A

Control A

Test A

Discussion- The optical microscopy image of the hair from the test group post-application shows a visibly smoother and more uniform surface compared to untreated hair. The coating appears to fill in surface irregularities and reduce roughness, which suggests that the applied sample effectively adheres to the hair shaft and forms a protective or reparative layer. The absence of surface damage or fraying indicates that the treatment may help in sealing the cuticle, thereby enhancing hair’s structural integrity and aesthetic qualities such as shine and smoothness. These observations support the hypothesis that the applied sample improves the surface morphology of hair, which could translate into increased resilience against environmental damage and better overall hair health. This microscopic evidence provides a compelling visual confirmation of the treatment's efficacy in repairing and protecting hair fibres at the surface level.

(B) Sample B

Control B

Test B

Discussion- The optical microscopy image of the control hair sample, which did not undergo any treatment or application of a hair mask, reveals a surface that appears relatively rough and irregular. Unlike the treated sample, which shows a smoother and more uniform coating likely resulting from the applied sample, the control hair exhibits signs of surface damage or natural wear, such as uneven cuticle layers or potential fraying. These features suggest that untreated hair is more susceptible to environmental stressors and mechanical damage, leading to surface roughness and potential vulnerability. The comparison underscores the importance of conditioning treatments or masks in improving hair surface integrity. The untreated hair serves as a baseline, highlighting the visible benefits of the applied sample in enhancing surface smoothness and potentially restoring the hair's natural protective barrier. This microscopic evidence supports the hypothesis that treatments can significantly improve hair surface morphology, contributing to healthier and more resilient hair fibres.

5.9.2 Evaluation of hair mask Conditioning performance via blind touch test-

Sr. No

Participant ID

Scale

 

1

TAN

2

Satisfactory

2

AISH

2

Satisfactory

3

PIU

2

Satisfactory

4

SAU

3

Good

5

BHA

2

Satisfactory

6

SHU

2

Satisfactory

7

SAY

3

Good

8

SON

3

Good

9

VISH

2

Satisfactory

10

VEN

2

Satisfactory

DISCUSSION-

The blind touch test results show that the hair mask treatment generally improved hair conditioning, with most volunteers rating the treated samples as satisfactory (2) or good (3). Specifically, the untreated control was not rated, but the treated samples received consistent ratings, suggesting the efficacy of the hair mask in enhancing smoothness and softness. The majority of participants (7 out of 10) rated the treated samples as satisfactory or good, demonstrating a positive effect. Conclusion, the hair mask appears to have a beneficial conditioning effect, making hair feel smoother and softer after treatment. These results validate the potential of the formulation in hair conditioning applications.

CONCLUSION

"Formulation and Evaluation of Herbal Conditioning Hair Mask" was successfully carried out with the aim of developing a safe, effective, and natural hair care product using herbal ingredients. The formulation was based on Moringa pulp, Flaxseed extract, and Rice water—each selected for their known conditioning and strengthening properties. A total of thirteen batches were prepared and evaluated using a scientifically designed Box-Behnken Design under Response Surface Methodology (RSM) to optimize key variables. Among the evaluated batches, formulation F12 was found to be the most effective based on parameters like spreadability, solid content, texture, pH, washability, and viscosity. The optimized formulation showed excellent homogeneity, was non-irritating to the scalp,  Advanced studies like optical microscopy clearly demonstrated that the herbal mask improved the hair’s surface smoothness, reduced cuticle damage, and enhanced conditioning performance. The blind touch test confirmed the sensorial benefits, showing that users experienced improved softness and manageability of hair. Overall, the study successfully proves that a poly-herbal hair mask using natural ingredients can provide effective conditioning without the side effects associated with synthetic products. The formulation holds great potential for commercial development as a natural, Ayurvedic-based hair care solution.

REFERENCES

  1. Bhanu MS, Krishna SH, Kumar KS, Sri SB, Bhanu SG, Sruthi YS. FORMULATION AND EVALUATION OF HERBAL HAIR MASK CONTAINING LINUM USITATISSIMUM.
  2. Aundhia C, Dhruvi M, Parmar G, Talele C, Shah M. Fabrication and Evaluation of Herbal Hair Mask. Journal of Coastal Life Medicine. 2024;11:994-1006.
  3. Madne A, Vora M, Bajpai N, Wasule D. Multipurpose ingredient for cosmetics: Rice (Oryza sativa). International Journal of Novel Research and Development. 2022 Jul;7(7):124-32.
  4. Jadhav AP, Wakale MM, Telangi GM, Warpe PV. Formulation and Evaluation of Herbal Anti Dandruff Hair Mask. International Journal of Scientific Research in Science and Technology. 2022 May;9(3):557-64.
  5. Gokhale S, Pawshe AH, Patil SP, Pitambare RM, Pawar PS. Evaluation of moringa herbal shampoo. International journal of advance research. 2020.
  6. Jadhav AG, Dhotre BG. Study on Formulation and Evaluation of Herbal Hair Serum. International Journal of Sciences and Innovation Engineering. 2025 Jun 2;2(6):99-104.
  7. https://www.ijpsjournal.com/article/Formulation+And+Evaluation+of+Herbal+Hair
  8. https://doi.org/10.22271/phyto.2024.v13.i3b.14945
  9. https://ijcrt.org/papers/IJCRT2308130.pdf
  10. Arpitha G, Shubha DB, Chinthana HB, Brunda S. Formulation and Evaluation of Polyherbal Hair Dye
  11. Gonçalves S, Gaivão I. Revitalizing the hair ends: Formulation and evaluation of the elderflower (Sambucus nigra) hair mask for enhanced hair health. Our Dermatology Online/Nasza Dermatologia Online. 2024 Jan 1;15(1).
  12. Agusriani A, Hamilatussa'diyah HD, Azizah L, Fitrianingsih F. Effectiveness of an Organic Mask of Moringa Leaves (Moringa oleifera) and Turmeric (Curcuma longa) for Facial Care. Jurnal Kefarmasian Indonesia. 2024 Aug 31:137-46.
  13. Gupta P, Tiwari S, Kaushal A. DEVELOPMENT AND ASSESSMENT OF A HERBAL HAIR MASK FOR SCALP AND HAIR HEALTH.
  14. Shetty S, Naik S, Suvarna L. Mexican Mint (Coleus amboinicus) Emulgel: Natural Solution for Antidandruff Hair Care. Journal of Pharmaceutical Research. 2024 Jul;23(3):165.
  15. Shukla MK, Srivastava S, Srivastava H, Gupta N, Yadav R. Development and Assessment of An Anti-Dandruff Herbal Hair Mask.
  16. More MG, Somani MS. A review on hair care cosmetics and Indian medicinal plants for hair. Int J Multidiscip Res. 2023;5.
  17. Wakale MM, Jadhav MA, Varpe MP, Telangi MG, Lokhande MR. A Review on Herbal Anti Dandruff Hair Mask
  18. Kamath K, Naik V, Shabaraya AR. Review on-Polyherbal Hair Gel.
  19. Kharde MA, Omkar MK, Shrikant MK, Kakde M, Bankar S. Rice water: A Natural Remedy For Hair Health.

Reference

  1. Bhanu MS, Krishna SH, Kumar KS, Sri SB, Bhanu SG, Sruthi YS. FORMULATION AND EVALUATION OF HERBAL HAIR MASK CONTAINING LINUM USITATISSIMUM.
  2. Aundhia C, Dhruvi M, Parmar G, Talele C, Shah M. Fabrication and Evaluation of Herbal Hair Mask. Journal of Coastal Life Medicine. 2024;11:994-1006.
  3. Madne A, Vora M, Bajpai N, Wasule D. Multipurpose ingredient for cosmetics: Rice (Oryza sativa). International Journal of Novel Research and Development. 2022 Jul;7(7):124-32.
  4. Jadhav AP, Wakale MM, Telangi GM, Warpe PV. Formulation and Evaluation of Herbal Anti Dandruff Hair Mask. International Journal of Scientific Research in Science and Technology. 2022 May;9(3):557-64.
  5. Gokhale S, Pawshe AH, Patil SP, Pitambare RM, Pawar PS. Evaluation of moringa herbal shampoo. International journal of advance research. 2020.
  6. Jadhav AG, Dhotre BG. Study on Formulation and Evaluation of Herbal Hair Serum. International Journal of Sciences and Innovation Engineering. 2025 Jun 2;2(6):99-104.
  7. https://www.ijpsjournal.com/article/Formulation+And+Evaluation+of+Herbal+Hair
  8. https://doi.org/10.22271/phyto.2024.v13.i3b.14945
  9. https://ijcrt.org/papers/IJCRT2308130.pdf
  10. Arpitha G, Shubha DB, Chinthana HB, Brunda S. Formulation and Evaluation of Polyherbal Hair Dye
  11. Gonçalves S, Gaivão I. Revitalizing the hair ends: Formulation and evaluation of the elderflower (Sambucus nigra) hair mask for enhanced hair health. Our Dermatology Online/Nasza Dermatologia Online. 2024 Jan 1;15(1).
  12. Agusriani A, Hamilatussa'diyah HD, Azizah L, Fitrianingsih F. Effectiveness of an Organic Mask of Moringa Leaves (Moringa oleifera) and Turmeric (Curcuma longa) for Facial Care. Jurnal Kefarmasian Indonesia. 2024 Aug 31:137-46.
  13. Gupta P, Tiwari S, Kaushal A. DEVELOPMENT AND ASSESSMENT OF A HERBAL HAIR MASK FOR SCALP AND HAIR HEALTH.
  14. Shetty S, Naik S, Suvarna L. Mexican Mint (Coleus amboinicus) Emulgel: Natural Solution for Antidandruff Hair Care. Journal of Pharmaceutical Research. 2024 Jul;23(3):165.
  15. Shukla MK, Srivastava S, Srivastava H, Gupta N, Yadav R. Development and Assessment of An Anti-Dandruff Herbal Hair Mask.
  16. More MG, Somani MS. A review on hair care cosmetics and Indian medicinal plants for hair. Int J Multidiscip Res. 2023;5.
  17. Wakale MM, Jadhav MA, Varpe MP, Telangi MG, Lokhande MR. A Review on Herbal Anti Dandruff Hair Mask
  18. Kamath K, Naik V, Shabaraya AR. Review on-Polyherbal Hair Gel.
  19. Kharde MA, Omkar MK, Shrikant MK, Kakde M, Bankar S. Rice water: A Natural Remedy For Hair Health.

Photo
Sonali Malik
Corresponding author

Pharmaceutics, MVP samaj college of pharmacy, Nashik

Photo
Dr. Mrudula Bele
Co-author

MVP samaj college of pharmacy, Nashik

Dr. Mrudula Bele, Sonali Malik, Formulation and Evaluation of Herbal Conditioning Hair Mask, Int. J. of Pharm. Sci., 2025, Vol 3, Issue 8, 1805-1815. https://doi.org/10.5281/zenodo.16886496

More related articles
Development and Validation of RP-HPLC Method for t...
Mahadevan Nanjaian, Alagar Raja, Shanmuga Sundaram Rajagopal, Uma...
A Simple Review of Analytical Techniques for Deter...
Dinesh Gaikwad, Dr. Prasanna Datar, Dr. Rajkumar Shete, ...
Review on Anti- Inflammatory Activity of Moringa G...
Parag Wankhede, Dr. S. J. Dighade, S. A. Thombre, ...
Synthesis and Evaluation of novel N 6 nitrobenzo d thiazol 2 yl 2 acetamide as A...
Sandip. S. Chaudhari, Prashant P. Nikumbh, Rahulsing U. Khairnar, Tarannum R. Sayyad, Mayur R. Bhura...
Phytoconstituents And Pharmacological Activities of Phyllanthus emblica ...
Vijaya Ambica Durga Bonthu, Bhaskararaju Vatchavai, Tejasri Lakshmi Kunche, Jyothsna Satya Priya Kon...
Related Articles
An Observational Study to Evaluate the Effect of Vildagliptin Compared to Glimep...
Haritha Pasupulati , Swathi Chowdarpally , Preethi Angeel Bolledulla , Tharun Chilukala, ...
Cubosomes as Smart Nanocarriers: Advances in Targeted Drug Delivery and Anticanc...
Navya Sri Devi Rachapalli, Amulya Kandula, Dr. U. Annapurna, ...
Analytical Method Validation for Heavy Metal Detection in Commercially Available...
Mangeshkumar Lilhare, Jagruti B. Shiwankar, Jugnoo S. Chaudhari, Sindhu B. Wairagade, Swati D. Katre...
Development and Validation of RP-HPLC Method for the estimation of vitexin in Co...
Mahadevan Nanjaian, Alagar Raja, Shanmuga Sundaram Rajagopal, Uma Poorani T., ...
More related articles
Development and Validation of RP-HPLC Method for the estimation of vitexin in Co...
Mahadevan Nanjaian, Alagar Raja, Shanmuga Sundaram Rajagopal, Uma Poorani T., ...
A Simple Review of Analytical Techniques for Determination of Vildagliptin ...
Dinesh Gaikwad, Dr. Prasanna Datar, Dr. Rajkumar Shete, ...
Review on Anti- Inflammatory Activity of Moringa Granules...
Parag Wankhede, Dr. S. J. Dighade, S. A. Thombre, ...
Development and Validation of RP-HPLC Method for the estimation of vitexin in Co...
Mahadevan Nanjaian, Alagar Raja, Shanmuga Sundaram Rajagopal, Uma Poorani T., ...
A Simple Review of Analytical Techniques for Determination of Vildagliptin ...
Dinesh Gaikwad, Dr. Prasanna Datar, Dr. Rajkumar Shete, ...
Review on Anti- Inflammatory Activity of Moringa Granules...
Parag Wankhede, Dr. S. J. Dighade, S. A. Thombre, ...