Nandkumar Shinde College of Pharmacy Vaijapur, Maharashtra: 423701
Psoriasis is a common inflammatory skin condition that can affect any region of the body and is characterised by red, scaly plaques. It mostly affects every body part, with the hands, feet, and limbs being most affected. In contrast to only 1-3% of contemporary medications, skin diseases are treated using almost one-third of all ancient treatments. While conventional treatments exist, many patients seek alternative natural therapies. This systematic review evaluates the efficacy and safety of dietary interventions, herbal remedies, mind-body therapies, and topical natural treatments for psoriasis. Herbal Remedies: Turmeric/Curcumin, Neem, Aloe vera, Tea tree oil, Mahonia aquifolium Mind-Body. Therapies: 1. Meditation/mindfulness 2. Yoga 3. Acupuncture 4. Hypnosis Topical Natural Treatments:1. Coconut oil 2. Olive oil3. Dead Sea salts4. Mud therapy5. Phototherapy (UVB, narrowband UVB)Herbal Remedies: 1. Turmeric/Curcumin2. Neem 3. Aloe vera4. Tea tree oil5. Mahonia aquifolium Mind-Body Therapies:1. Meditation/mindfulness 2. Yoga 3. Acupuncture 4.Hypnosis Topical Natural Treatments: 1. Coconut oil 2.Olive oil 3.Dead Sea salts 4.Mud therapy 5.Phototherapy (UVB, narrowband UVB) There are two categories for skin diseases: acute and chronic. Although there is usually no cure for chronic skin diseases, they can be controlled with medication. However, a great deal of medicinal plants are also utilized to cure skin condition.
Psoriasis is a long-term, non-communicable, autoimmune inflammatory condition affecting the skin and joints. The Greek word Psora, which meaning itching, is where the name "psoriasis" originates.[1] The autoimmune disease psoriasis is a chronic, non-contagious condition marked by patches of defective skin. These areas are scaly, dry, itchy, and red, pink, or purple. Although there isn't a permanent cure for this chronic illness, there are some treatments that can be used to manage its symptoms. An autoimmune skin condition known as psoriasis, which affects 1-3% of people worldwide, is hyperproliferative Both men and women can get psoriasis, but women and those with a family history are more likely to develop it earlier in life. Most people believe that psoriasis is a hereditary condition brought on by environmental triggers. Although there isn't a recognized cure for psoriasis, there are treatments that can help manage the symptoms. Among these treatments are lotions containing steroids, vitamin D3, UV radiation, immunosuppressive medications like methotrexate and cyclosporins, and herbal remedies like aloe vera. Greek medical texts mention psoriasis as an illness, and patients with it were shunned by their communities. People's misunderstanding that psoriasis was an infectious disease was the primary cause of this. In addition to this misperception, psoriasis was not acknowledged by medical professionals in earlier times as a chronic, non-infectious dermatological condition.[2] Psoriasis is a chronic ailment that cannot spread to other parts of the body, yet it can affect skin. The severity of psoriasis can vary from quite mild to extremely significant. Psoriasis cannot currently be cured, although it can be effectively managed with a variety of treatments.[3] The incidence of the illness is 4.6% in developed nations worldwide.[4]
What organs are impacted by psoriasis?
On your skin, a psoriasis rash may appear anywhere.
Psoriasis frequently affects your:
Elbows
Lower back
Fingernails
Toenails
Face and inside your mouth
Chop
The hands and feet
Psoriasis causes include :
stress,
skin injuries
infections like strep throat
dry weather
heavy alcohol use
alterations in harmonic balance
smoking
skin injuries including cuts, scrapes, Insect bites
sunburns
Medications, including blood pressure medication
antimalarial medications
lithium and other mood stabilizer
antibiotic and NSAIDs
The signs of psoriasis
Individuals could encounter:
Joints: the source of pain
Skin: redness, fissures, rashes, and dryness
Additionally typical:
Depression
Itching
Minor nail dents
Burning or painless
Psoriasis Complication :
Psoriasis can lead to several issues. When you receive the diagnosis, ask your physician:
Eye disorders such as pinkeye
Certain malignancies; psoriatic arthritis
Heart illness
Obesity
Psoriasis Types :
There are different kinds of psoriasis.
1) Psoriasis plaque
Between 85% and 90% of people have plaque psoriasis, which is the most prevalent kind of the condition. It results in skin that is patchy and thick. Usually, they show up on the lower back, knees, elbows, etc. Usually, it has red areas with white scaling.
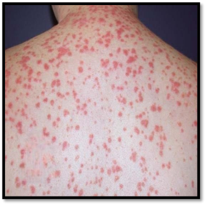
Dermatitis guttate
Eruptive psoriasis, also known as guttate psoriasis, is frequently observed in children following an upper respiratory tract infection and streptococcal pathogen infection. It mostly affects the trunk and back, where it manifests as erythematous, scaly lesions shaped like raindrops
3) Psoriasis in reverse
One skin disorder that affects the folds on your skin is called inverse psoriasis. In specific areas, you may notice red, glossy patches if you have inverse psoriasis. Skin folds beneath your breast, between your buttocks, and around your genital area, just like it does under your armpits. The skin may have cracks that are itchy, smell bad, or both. It may also be wet and macerated. Intertriginous psoriasis and flexural psoriasis are other names for inverse psoriasis.

Fig.no 4 : Inreverse Psoriasis
Psoriasis pustular
One kind of psoriasis that results in pus-filled blisters on plaque is called pustular psoriasis. You may have pustular psoriasis on your hands and feet. There are two varieties: generalised and localised. Hypocalcaemia is linked to generalised pustular psoriasis, which manifests as sterile pustules on an erythematous plaque that covers the entire body.
Psoriasis erythrodermicum
A rare skin disorder called erythrodermic psoriasis results in a crimson rash that covers much of your body. Erythrodermic psoriasis, the least prevalent kind of psoriasis, can cause a peeling rash that might burn or itch all over the body. Psoriasis can be either acute or persistent. When erythrodermic psoriasis occurs, more than 90% of the body is covered in exfoliated skin and erythema, a widespread kind of inflammation. Severe discomfort, swelling, and itching are linked to it.

Fig.no 6 : Erythrodermicum Psoriasis
6) Nail psoriasis
Psoriasis can affects your nails,too. When it does it’s called nail psoriasis. Nail psoriasis also known as psoriatic nail dystrophy. Fingernails and toenails can be affected by nail psoriasis. It causing abnormal nail growth and discoloration. Nail changes in psoriasis are seen as pitting, oil spots, subungual
hyperkeratosis, nail dystrophy, and anchylosis. If you have Psoriasis, it’s important to check your Fingernails and toenails for signs of nail psoriasis.
Common signs includes:
• Tiny dents in your nails
• White, yellow, or brown discoloration
• Crumbling nails
• Nail (s) separating from your finger
• Build up beneath your nail
• Blood under your nail
Pathophysiology:
The study of the pathophysiology of psoriasis has significantly advanced our understanding of skin biology in general. Over the last fifteen years, advances in our knowledge of the pathophysiology of psoriasis have resulted in very successful, targeted therapies that have given us a better understanding of the pathophysiology of chronic inflammatory illnesses that are dominated by the IL-23/Th17 axis

Fig no. 8 : Pathophysiology of Psoriasis
Dendritic cells are recognized to be important during the early phases of illness. Professional antigen- presenting cells are dendritic cells. It's unclear exactly how they are activated in psoriasis, though. The identification of antimicrobial peptides (AMPs), which are overexpressed in psoriatic skin and released by keratinocytes in reaction to damage, is one of the hypothesized processes. The most researched AMPs linked to psoriasis include S100 proteins, ?-defensins, and LL37. It has been suggested that LL37 or cathelicidin plays a pathogenic function in psoriasis. injured keratinocytes release it, and it then combines with self-genetic material from other injured cells to form complexes. Toll-like receptor (TLR) 9 in plasmacytoid dendritic cells (pDCs) is stimulated by LL37 coupled to DNA.
The production of type I IFN (IFN-? and IFN-?) is a hallmark of pDC activation, which is crucial in
initiating the development of psoriatic plaque. Myeloid dendritic cells (mDC) phenotypic maturation is facilitated by type I IFN signaling, which has also been linked to Th1 and Th17 differentiation and function, including the generation of interleukin (IL)-17 and IFN-?, respectively. LL37 coupled to RNA activates pDCs through TLR7, whereas LL37–DNA complexes stimulate pDCs through TLR9. Furthermore, mDCs are impacted by LL37–RNA complexes through TLR8. Tumor necrosis factor (TNF)-?, IL-23, and IL-12 are secreted by activated mDCs when they migrate into draining lymph nodes; the latter two factors influence the differentiation and proliferation of Th1 and Th17 cell subsets, respectively. Additionally, LL37-RNA activation causes slan+ monocytes—important pro-inflammatory cells present in psoriasis skin lesions—to secrete large amounts of TNF-?, IL-12, and IL-23. The maintenance phase of psoriatic inflammation is driven by the activation of the adaptive immune response through the various T cell subsets. In the epidermis, Th17 cytokines, specifically IL-17, IL-21, and IL-22, stimulate keratinocyte growth. Through TNF-?, IL-17, and IFN-?, the inflammatory environment stimulates keratinocyte growth. Additionally, LL37 and DNA stimulate keratinocytes, which significantly boost type I IFN synthesis. Additionally, they actively contribute to the inflammatory cascade by secreting AMP, chemokines, and cytokines (IL-1, IL-6, and TNF-?). The TLR7/8 disease initiation concept is supported by a commonly used psoriasis-like inflammatory animal model that depends on the action of the TLR7/8 agonist imiquimod. Furthermore, mice lacking IL-23 or IL-17R could not respond to imiquimod, indicating that the IL-23/IL-17 axis plays a role in skin inflammation and psoriasis-like pathogenesis. Psoriasis of the plaque type is characterized by the TNF?– IL-23–Th17 inflammatory cascade. There are six members of the IL-17 cytokine family: IL-17A–F. They are crucial modulators of inflammatory responses and are generated by various cell types. As of right now, IL-17A and IL-17F are primarily responsible for the clinically significant signaling in psoriasis; they both operate via the same receptor but have varying potencies. The effects of IL-17A and IL-17F heterodimers are moderate, with IL-17A having a greater effect than IL-17F. The ACT1 adaptor protein is drawn in when IL-17A attaches to its trimeric receptor complex, which is made up of two IL- 17RA subunits and one IL-17RC subunit. A number of intracellular kinases, such as extracellular signal- regulated kinase (ERK), p38 MAPK, TGF-beta-activated Kinase 1 (TAK1), I-kappa B kinase (IKK), and glycogen synthase kinase 3 beta (GSK-3 beta), are activated when ACT1 and the IL-17 receptor complex interact.
The transcription of pro-inflammatory cytokines, chemokines, and antimicrobial peptides is made possible by these kinases through NF?B, AP-1, and C/EBP. While Th17 responses are driven by ACT1 and NF?B, Th1 and Th2 cytokines function via Janus kinase (JAK)-STAT signaling pathways . On the other hand, ?? T cells can generate IL-17A without the IL-23 stimulation . Plaque psoriasis can be effectively managed clinically with medications that target TNF?, IL-23, and IL-17 as well as signaling pathways like JAK/STAT.[5]
Psoriasis and Stress :
Stress and psoriasis have intricate relationships. A review of the research on the connection between stress and psoriasis is suggested in this article. Patients say that stress is a trigger for their psoriasis in 31– 88% of cases. Additionally, those who experienced a stressful incident in the last year reported a higher incidence of psoriasis, indicating that stress may have a role in causing the illness among predisposed individuals. Psoriasis breakouts can also lead to stress. When suggesting treatment to psoriasis sufferers, it is appropriate to address stress because of its function. People with psoriasis have shown success with behavioral and cognitive stress management therapy, biofeedback, hypnosis, and relaxation in a number of controlled studies.[6]
Climatotherapy :
The use of climate therapy Alternative therapeutic approaches known as "climatotherapy" make use of the restorative properties of natural elements such as light, temperature, humidity, air, and barometric pressure.One For thousands of years, people have utilized sea and spa water and items for their therapeutic and restorative qualities. Hippocrates even proposed that an imbalance in bodily fluids is the root cause of all illnesses. He suggested changing routines and surroundings, such as taking a bath, sweating, walking, and getting a massage, in order to achieve equilibrium. Seawater was one of the most popular medicinal substances in the history of the Mediterranean people during the Greek and Roman eras. A well-known quote from one of Euripides' tragedies is "sea water cures all human diseases." 2. Galen (131–201 CE), who lived during the Roman era, also promoted the use of water to heal a number of illnesses.[7]
Another Natural Treatment For Psoriasis :
Herbal remedies do not cause as many adverse effects as synthetic medications do. Herbal remedies are becoming increasingly essential in the treatment of inflammatory diseases of the skin. Herbal remedies are widely accessible. A change in food and lifestyle may help alleviate the symptoms of psoriasis, according to certain research. A few herbal remedies for treating psoriasis naturally and the potential explanation for thair's anti-psoriatic effects.
Aloe vera
Family - Liliaceae
Common name: Kathalai
aloes plant parts: leaf
Aloe Vera is a well-known plant that is used to treat thermal damage and cosmetic concerns. The green to grey-green leaves are meaty and thick. In theory, aloe vera gel may aid in reducing inflammation, which causes psoriasis symptoms on the skin and joints. Salicylic acid, steroids, antraquinones, and saponins are found in aloe vera and have antibacterial properties. The active ingredients have strong anti-inflammatory, analgesic, and wound-healing properties. Its anti- inflammatory characteristics, supporting the idea that aloe vera is a useful treatment for psoriasis.[8,9]
Angelica sinensis
Family: Apiaceae
Common Name : Chinese
angelica Utilised plant parts: root
People refer to it dung quay. Angelicas are members of the Apiaceae family and are either biennials or short-lived perennials. When oral treatment with these plant extracts was administered to psoriasis patients, two thirds of the patients experienced total alleviation from their condition (Koo & Arain, 1998).[10,11,12]
Azadirachta indica
Family : Meliaceae
Common name: Veppam, neem
Used plant parts : stem, bark, and leaves.
Burning the stem bark leaves ash that is applied topically on boils. A leaf decoction bath is used to cure Infections on the body. The same condition is also treated by taking its decoction orally. The oil from the seeds is used to cure dandruff and eradicate lice.[13]The bark and leaves possess antiviral and antibacterial qualities.
Zingiberaceae, or Alpinia galanga
Family: zingiberaceae
Common name: Akkulati, Thai
Ginger Plant parts used : Rhizome
The leaves of Thai ginger grow up to around five feet in height. Galanga has long been used in traditional medicine to treat a variety of conditions, such as psoriasis, inflammation, and microbial infections. It also functions as an anti-inflammatory and anti-cancer agent. The anti- psoriatic properties of the plants Annona squamosa, curcuma longa, and Alpinia galanga were reported by Chanachai et al. (2009).[14]
Curcuma Longa
Family: Zingiberaceae Common name
Termeric Used plant parts: rhizome
As a rhizomatous herb, tarragon can reach a height of three to five feet. The section of the rhizome that the herb that has therapeutic uses. Additionally, it has been found that decreased phk activity in groups treated with curcumin and calciumpotriol correlated with decreased keratinocyte transferrin receptor expression, as well as decreased densities of epidermal CD8+T cells and parakeratosis severity.[15]
Matricaria recutita
Family: Asteraceae
Common name: mookuthi poo, chamomile Plant parts used: Flower
M. chamomilla had long, narrow leaves and an upright, smooth, branching stem. There is evidence to suggest that psoriasis plaques are associated with elevated LTB4 development. [16,17]
Mahonia aquifolium
Family: Berberidaceace
Common name: oregon grape
Plant parts used – stem and leaves
Mahonia aquifolium is a flowering plant that comes from the mahonia shrub. It is very popular plant used in skin disorders, especially in psoriatic plaques. It is also called as barberry or oregon grape. The stem and leaves of the plant can be ground into a powder or distilled into an extract that is then used to manufacture a topical skin lotion. Mahonia aquifolium includes berberine, which may help to decrease some of the inflammation that psoriasis generates. Additionally, the herb exhibited antiproliferative properties, which means that it can inhibit skin cell proliferation.
Nigella sativa
Family: Ranunculaceae
Common name: Karunjiragam, Black
Cumin Used portion of plant: seeds
The seeds are administered externally to promote skin eruption. The seeds are traditionally used to treat psoriasis tropicalus, which causes patches to appear and generalised pain.[18]
Pharmacological studies on the seed extract show that it has a variety of properties, including as anti-inflammatory, antibacterial, antifungal, and anthelminthic properties.[19]
Simplex Phyllanthus
family: Phyllanthaceae
Common name: leaf behind the seed
used the entire plant as a plant component
The seed beneath the leaf is a hairless, slender plant that grows to a height of 60 cm and is woody in the lower portion. Tiny blossoms dangle on thin stalks.[20]
Marianum Silibum
Family: Asteraceae
Common name: Vishnu kranti, or milk thistle
Studies on milk thistle have demonstrated its ability to prevent psoriasis-related human T-cell activation.[21] Most people refer to it as milk thistle. It is generally known that this plant has hepatoprotective properties.
Smilax china
Family - smilacaceae
Common name: Parangichekkai, or China root
plant portion used: rhizome
China Smilax Linn. Used to treat a variety of illnesses, including psoriasis, rheumatism, gout, epilepsy, skin conditions, long-term neurological disorders, syphilis, flatulence, dyspepsia, constipation, colic, neuralgia, and seminal weakness.[22,23]
Thespesia populnea
Family : Malvaceae
Common name: Puvarasu, Indian tulip tree
Plant part used: Bark
It has long been believed that the Indian tulip tree, Thespesia populnea, can help with skin conditions like psoriasis, ringworm, dermatitis, and herpes infection. External application of coconut oil-boiled powdered bark is used to treat psoriasis.[24]
Ulmus rubhra Family: Ulmacea
Common name: Slipperyelm
Plant parts used: Barks
It is sometimes referred to as slippery elm, so called because of the mucilage component that comes from the elm's inner bark. Native Americans applied this extract topically on wounds, boils, and plaque-type psoriasis.[25]
Indica Urgenia
Family : Liliaceae
Common name: I Narivengayam, Indian squil Used plant portion: bulbs
has been applied to psoriasis treatment.[26]
Tinctoria Wrightia L. Family: Apocynaceae
Common name: Paalai, delicious Indrajao
When compared to isoretinoic acid as the reference, the hydroalcoholic extract of Wrightia tinctoria leaves was found to have a substantial anti-psoriatic impact in the mice tell test model. Significant orthokeratotic response, strong antioxidant activity in DPPH, nitric oxide, and hydrogen peroxide scavenging assays were seen in the extract.[27,28]
Biosimilars in psoriasis :
The current pharmaceutical arsenal is being revolutionized by the emergence of biosimilars for various diseases. Biosimilar versions of numerous biologics are being developed or are currently on the market as their patents are about to expire. A biosimilar is a biological product that satisfies two criteria: it must be very similar to an approved biologic product and, when compared to the reference product, it must not differ clinically in any significant ways in terms of safety, purity, or potency. The World Health Organization, the FDA, and the European Medicines Agency have all released guidelines for the creation and approval of biosimilars. Currently, Europe has approved two etanercept biosimilars, four infliximab biosimilars, and eight adalimumab biosimilars. Biosimilars have the potential to expand access to biologics by reducing the cost of systemic treatment for psoriasis patients.[29]
Final Verdict (Conclusion)
In the dermatological world, psoriasis is still a common condition, but for a variety of reasons, it is still seen as an underdiagnosed and improperly treated condition. The synthetic medications used to treat it have side effects, and some of them have been observed to cause psoriasis. Then the obvious choice—a herbal natural medicine that is both safe and just as effective as synthetic medications—is the herbal remedy. The majority of contemporary medications originate from plants, either directly or indirectly. This article has emphasised many plant sources based on reports from various studies and traditional knowledge. The publication also mentions the investigative factors, which are the key components for screening for herbal medications. This information should be helpful to researchers studying this topic.
REFERENCES
Mayuri Raut*, Sivprasad Deokar, Dr. Kawade Rajendra M., Alternative Natural Treatment of Psoriasis, Int. J. of Pharm. Sci., 2024, Vol 2, Issue 12, 553-562. https://doi.org/10.5281/zenodo.14282435
10.5281/zenodo.14282435