View Article

Abstract

Gas Geyser Syndrome is a rare but preventable condition characterized by acute hypoxic-ischemic encephalopathy due to carbon monoxide exposure from incomplete combustion of liquefied petroleum gas in poorly ventilated bathrooms. Its nonspecific symptoms can make early diagnosis difficult, thus heightening the risk of severe neurological consequences. A case study involving a 53-year-old female found unconscious in her bathroom highlighted the syndrome. She exhibited altered sensorium and restlessness, with a Glasgow Coma Scale score of E2V3M5. Neuroimaging revealed acute infarctions in the right cerebellar hemisphere and bilateral medial temporal lobes, as well as ischemic changes in small vessels. Arterial blood gas analysis indicated a mixed acid-base disorder, and carotid Doppler studies were normal. The patient received supportive care, including oxygen therapy, leading to recovery and regaining consciousness within 24 hours. The findings align with carbon monoxide-induced hypoxic-ischemic encephalopathy, which primarily affects areas of the brain that are metabolically active, including the basal ganglia, hippocampus, cerebral cortex, white matter, and cerebellum. Effective early detection and timely supportive care are essential in preventing long-term neurological damage. This case underscores the risk of Gas Geyser Syndrome as a significant but avoidable household danger, reinforcing the need for public awareness, proper ventilation, and cessation of gas geyser use in confined spaces to mitigate CO poisoning risks.

Keywords

Gas Geyser Syndrome, Carbon monoxide poisoning, Hypoxic-Ischemic Encephalopathy, Magnetic Resonance Imaging of brain, Neurological sequelae

Introduction

× Popup Image

Gas Geyser Syndrome illustrates the hidden danger in which carbon monoxide from residential water heaters causes rapid collapse and serious neurological consequences. [1] Liquefied petroleum gas (LPG) geysers are widely utilized to heat water in developing nations like India. These geysers are simple, affordable in terms of faster water heating, and are utilized in bathrooms for bathing purposes. In developing countries, the electrical supply is inconsistent; as a result, cheaper alternatives such as gas geysers are used to heat water for bathing. [2] CO poisoning usually results in bilateral globus pallidus damage, with cortical gray matter injury being less prevalent. A magnetic resonance imaging (MRI) of the brain performed during the first 24 hours may not reveal all of the damage, thus a follow-up MRIis recommended within 3-7 days for a more accurate assessment. [3] The case study intends to spread awareness among readers about the life threatening but preventable medical illness. Furthermore, this case emphasizes the importance of complete cessation of gas geyser use in household settings in order to prevent similar incidents.

CASE REPORT

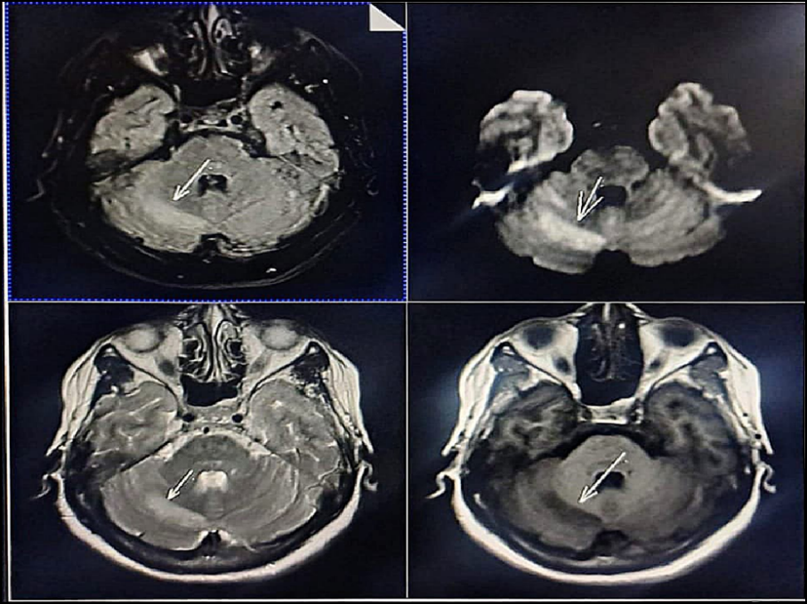
A 53-year-old-female presented to the emergency medical ward with chief complaints of sudden fall and was found unconscious in the bathroom around 2 PM with a gas geyser in use. On admission the patient exhibited altered sensorium, accompanied by irritability and restlessness with no prior medical history. Systemic examination was normal overall, with dyspnea noted on respiratory examination, sedation/drowsy and unsteadiness on neurological assessment and weakness on musculoskeletal evaluation. The Glasgow Coma Score (GCS) was E2V3M5, vitals were stable and the patient was afebrile. Random blood glucose (GRBS) was elevated at 338 mg/dL following which HbA1C, CBC and MRI investigations were ordered. The HbA1C level was 5.6 %, CBC was normal with increase in WBC count (14030 mcL), and MRI findings revealed subacute infarcts involving bilateral, medial, temporal lobes and in the right cerebellar hemisphere as shown in figure no 01. On the day following admission, the patient was conscious as well as oriented (E4V5M6) and a carotid doppler examination was conducted which demonstrated normal color uptake, flow velocities and spectral waveforms in both carotid and vertebral arteries, with no evidence of hemodynamically significant stenosis. On admission day, Arterial Blood Gas (ABG) report shows mixed acid-base disorder characterized by primary metabolic-acidosis with superimposed respiratory alkalosis, associated with severe hyponatremia, hyperkalemia, severe ionized hypocalcemia, and borderline lactic acidosis, with preserved oxygenation. After one day of inpatient care the ABG report shows mild metabolic acidosis with partial respiratory compensation. Based on the above subjective and objective evidence the patient was diagnosed with hypoxic ischemic encephalopathy secondary to gas geyser syndrome. Management include treatment with Inj. Pantoprazole 40mg for 8 days (OD), Inj. Ondansetron 4mg for 2 days (TID), Inj. Ceftriaxone 1gm for 8 days (BD), Inj. Piracetam 100mg for 8 days (BD) and Inj. Levetiracetam 1gm STAT f/b 500mg for 8 days (BD).

 

Table 01. Explains about variations in ABG with Electrolyte’s parameters during Hospital stay.

 

PARAMETERS

DAY 1

DAY 2

NORMAL RANGE

pH

7.3

7.3

7.35-7.45

pCO2

24.9 ↓

36

35-45mmHg

pO2

169 ↑

151 ↑

80-100mmHg

TCO2

15.9 ↓

18.2 ↓

23-27mmol/L

Sodium

105 ↓

137

137-145mmol/L

Potassium

5.8 ↑

4.3

3.5-5.1mmol/L

Chloride

84 ↓

110

98-107mmol/L

Calcium- Ionized

0.45 ↓

0.96 ↓

1.19-1.25mmol/L

 

 

 

Figure 01: MRI scan with subacute infarcts and features of small-vessel ischemic change

 

DISCUSSION

Gas Geyser Syndrome is a less widely recognized but preventable form of acute hypoxic-ischemic encephalopathy caused by carbon monoxide exposure by incomplete combustion of liquified petroleum gas in home water gesyers installed in poorly ventilated bathrooms. [4] Several case reports and small case series have described unexpected collapse, altered sensorium, seizures, and long-term neurological sequelae happening in enclosed restroom environments, frequently in patients without preexisting comorbidities. [5] Inadequate ventilation causes complete burning of LPG, resulting in the accumulation of CO poisoning that leads to headache, dizziness, and confusion. [6] Coma or seizures can occur in people with extended exposure. [7] In our patient, the rapid collapse and altered sensorium, in the absence of substantial comorbidities, together with MRI evidence of focal infarctions in metabolically susceptible regions, suggest hypoxic-ischemic damage following CO exposure. CO-induced hypoxia results from carbon monoxide binding to hemoglobin, impairing oxygen delivery, particularly affecting the brain’s high metabolic demand. Key vulnerable regions include the basal ganglia (especially the globus pallidus), cerebral cortex and white matter, hippocampus, and cerebellum, all of which are associated with cognitive dysfunction and neuropsychiatric sequelae following CO exposure. [8] CO impairs myocardial oxygen use, resulting in ischemia, arrhythmias, and cardiac failure. Reduced cardiac output exacerbates systemic hypoxia and raises mortality. Apart from the brain and heart, other organs with a high oxygen demand are impacted. The kidneys and liver may experience hypoxia. Skeletal muscle and other metabolically active tissues can also suffer secondary hypoxia injury. [9-10] The improvement in consciousness within 24 hours, as well as the normal findings on carotid doppler investigations, lend support to a toxic hypoxic rather than vascular occlusive etiology. Early detection and supportive management, such as oxygen therapy and monitoring, are essential, as it can result in irreversible neurological damage or severe consequences. In contrast to the exclusively acute infarcts found in this patient, chronic small-vessel ischemic alterations (white matter hyperintensities) are typically linked to long-term microangiopathic processes rather than acute toxic damage. These alterations are mainly found on T2/FLAIR sequences in older persons, and they are classified as age-related or vascular risk-related small-vessel disease, as opposed to focal gray matter injury caused by acute hypoxia. [11]

Carbon monoxide is a common atmospheric contaminant, primarily from motor vehicle emissions, and gas geysers also emit CO. Urban and suburban inhabitants frequently have measurable CO in their blood, whereas smokers have higher carboxyhemoglobin (COHb) levels. COHb levels above 5% can cause symptoms in healthy people. [12] CO can also impact leukocytes, platelets, and the endothelium, triggering a chain reaction that leads to oxidative injury. COHb levels are useful for verifying CO exposure, but they cannot be used to stratify the severity of poisoning, predict prognosis, or provide a treatment plan. Oxygen therapy is the primary treatment for CO intoxication, and hyperbaric oxygen has been proven to prevent and improve clinical   outcomes in some individuals. [13] Hyperbaric treatment may effectively prevent or treat delayed neurological sequelae caused by CO poisoning, according to current literature. [14]

CONCLUSION

This case highlights the serious neurological consequences of gas geyser syndrome resulting from carbon monoxide poisoning in poorly ventilated bathroom environments, leading to hypoxic-ischemic encephalopathy. The presence of metabolic acidosis, electrolyte imbalance and characteristic MRI findings underscores the importance of Arterial Blood Gas analysis and neuroimaging in confirming the diagnosis of hypoxic injury. The primary objective of this case report is to increase the awareness regarding the complications associated with gas gesyers in indoor bathroom settings, Safer alternatives such as electric or solar water heaters should be preferred. Early recognition of environmental exposure, prompt neurological evaluation and timely medical intervention to prevent potentially fatal outcomes thereby reducing the avoidable morbidity and mortality associated with carbon monoxide poisoning.

ACKNOWLEDGEMENTS: The authors would like to thank the invaluable contributions of Dr. Sanket Patil Neurophysician, DM Neurology in the thorough clinical assessment and clerking of the case presented in this case report.

CONFLICT OF INTEREST: The authors declare no conflict of interest

FUNDING: This case report did not receive any funding from public, commercial, or not-

for-profit organizations.

ETHICS STATEMENT: A single case report is exempt from ethical approval in our institution. Written informed consent was obtained from the patient for the publication of this

report and the accompanying images.

AUTHORS’ CONTRIBUTION: All authors contributed equally to conceptualizing the Case report study, and they collaborated in writing and revising the manuscript. All the authors have read and approved the final version of the manuscript and agreed to be accountable for all aspects of the work.

REFERENCES

  1. Uniyal, Arti; Alhyan, Pinki; Bhaskar, Vikram; Batra, Prerna. Gas Geyser Syndrome: A Silent Killer in the Bathroom. Indian Journal of Public Health 69(3):p 350-352.
  2. Mehta A, Mahale R, John AA, Abbas MM, Javali M, Acharya P, Rangasetty S. Odorless inhalant toxic encephalopathy in developing countries household: Gas geyser syndrome. J Neurosci Rural Pract. 2016 7(2):228-31.
  3. Pandey N, Nigam S. Acute Cortical Blindness Following Acute Carbon Monoxide Intoxication Due to Gas Geyser Syndrome. Cureus. 2024;16(9):e70408. doi: 10.7759/cureus.70408. PMID: 39473665; PMCID: PMC11521395.
  4. Correia P, Agrawal C, Ranjan R. Gas geyser syndrome: An important preventable cause of disabling neurological events. Ann Indian Acad Neurol. 2013;16(2):245-8. doi: 10.4103/0972- 2327.112482. PMID: 23956574; PMCID: PMC3724084.
  5. Hosahally, Jayanth S1; Patil, Varsha2; Chandra, YP Girish2. Fatal Carbon Monoxide Poisoning. Journal of Forensic Science and Medicine 9(2):p 182-185, 2023.
  6. Mehta SR, Das S, Singh SK. Carbon monoxide poisoning. MJAFI (Medical Journal Armed Forces India) 2007;63:362–5.
  7. Ely EW, Moorehead B, Haponik EF. Warehouse worker’s headache: Emergency evaluation and management of 30 patients with carbon monoxide poisoning. Am J Med 1995;98:145–55.
  8. Prockop LD, Chichkova RI. Carbon monoxide intoxication: an updated review. J Neurol Sci. 2007 Nov 15;262(1-2):122-30.
  9. Afzal, M.; Agarwal, S.; Elshaikh, R.H.; Babker, A.M.A.; Choudhary, R.K.; Prabhakar, P.K.; Zahir, F.; Sah, A.K. Carbon Monoxide Poisoning: Diagnosis, Prognostic Factors, Treatment Strategies, and Future Perspectives. Diagnostics 2025, 15, 581.
  10. Wilbur S, Williams M, Williams R, Scinicariello F, Klotzbach JM, Diamond GL, et al. Health effects. Agency for Toxic Substances and Disease Registry; 2012.
  11. Li W, Meng J, Lei J, Li C, Yue W. Carbon monoxide poisoning with hippocampi lesions on MRI: cases report and literature review. BMC Neurol. 2024 11;24(1):159.
  12. Chong CK, Senan P, Kumar GV. Carbon monoxide poisoning from a gas water heater installed and operated in the bathroom. Med J Malaysia. 1997 ;52(2):169-71.
  13. Hardy KR, Thom SR. Pathophysiology and treatment of carbon monoxide poisoning. J Toxicol Clin Toxicol. 1994;32(6):613-29.
  14. Chan MY, Au TT, Leung KS, Yan WW. Acute carbon monoxide poisoning in a regional hospital in Hong Kong:Historical cohort study. Hong Kong Med J 2016;22:46–55.

Reference

  1. Uniyal, Arti; Alhyan, Pinki; Bhaskar, Vikram; Batra, Prerna. Gas Geyser Syndrome: A Silent Killer in the Bathroom. Indian Journal of Public Health 69(3):p 350-352.
  2. Mehta A, Mahale R, John AA, Abbas MM, Javali M, Acharya P, Rangasetty S. Odorless inhalant toxic encephalopathy in developing countries household: Gas geyser syndrome. J Neurosci Rural Pract. 2016 7(2):228-31.
  3. Pandey N, Nigam S. Acute Cortical Blindness Following Acute Carbon Monoxide Intoxication Due to Gas Geyser Syndrome. Cureus. 2024;16(9):e70408. doi: 10.7759/cureus.70408. PMID: 39473665; PMCID: PMC11521395.
  4. Correia P, Agrawal C, Ranjan R. Gas geyser syndrome: An important preventable cause of disabling neurological events. Ann Indian Acad Neurol. 2013;16(2):245-8. doi: 10.4103/0972- 2327.112482. PMID: 23956574; PMCID: PMC3724084.
  5. Hosahally, Jayanth S1; Patil, Varsha2; Chandra, YP Girish2. Fatal Carbon Monoxide Poisoning. Journal of Forensic Science and Medicine 9(2):p 182-185, 2023.
  6. Mehta SR, Das S, Singh SK. Carbon monoxide poisoning. MJAFI (Medical Journal Armed Forces India) 2007;63:362–5.
  7. Ely EW, Moorehead B, Haponik EF. Warehouse worker’s headache: Emergency evaluation and management of 30 patients with carbon monoxide poisoning. Am J Med 1995;98:145–55.
  8. Prockop LD, Chichkova RI. Carbon monoxide intoxication: an updated review. J Neurol Sci. 2007 Nov 15;262(1-2):122-30.
  9. Afzal, M.; Agarwal, S.; Elshaikh, R.H.; Babker, A.M.A.; Choudhary, R.K.; Prabhakar, P.K.; Zahir, F.; Sah, A.K. Carbon Monoxide Poisoning: Diagnosis, Prognostic Factors, Treatment Strategies, and Future Perspectives. Diagnostics 2025, 15, 581.
  10. Wilbur S, Williams M, Williams R, Scinicariello F, Klotzbach JM, Diamond GL, et al. Health effects. Agency for Toxic Substances and Disease Registry; 2012.
  11. Li W, Meng J, Lei J, Li C, Yue W. Carbon monoxide poisoning with hippocampi lesions on MRI: cases report and literature review. BMC Neurol. 2024 11;24(1):159.
  12. Chong CK, Senan P, Kumar GV. Carbon monoxide poisoning from a gas water heater installed and operated in the bathroom. Med J Malaysia. 1997 ;52(2):169-71.
  13. Hardy KR, Thom SR. Pathophysiology and treatment of carbon monoxide poisoning. J Toxicol Clin Toxicol. 1994;32(6):613-29.
  14. Chan MY, Au TT, Leung KS, Yan WW. Acute carbon monoxide poisoning in a regional hospital in Hong Kong:Historical cohort study. Hong Kong Med J 2016;22:46–55.

Photo
Dr. Aishwarya Pattanashetti
Corresponding author

Department of Clinical pharmacology(PHARM-D) Clinical Pharmacologist at HCG-Suchirayu Hospital, Hubballi, Karnataka India.

Photo
Latha Maregouda Goudar
Co-author

Pharm –D intern, HCG– Suchirayu hospital, karnataka India

Photo
Sai Sowmya Bhupathiraju
Co-author

Pharm –D intern, HCG– Suchirayu hospital, karnataka India

Photo
Dr. Sanket Patil
Co-author

Neurophysician, DM Neurology at HCG-Suchirayu hospital, karnataka India.

Dr. Aishwarya Suresh Pattanshetti, Latha Maregouda Goudar, Sai Sowmya Bhupathiraju, Sanket Patil, When A Hot Shower Turns Dangerous: The Hidden Risk of Gas Geysers – A Case Report, Int. J. of Pharm. Sci., 2026, Vol 4, Issue 2, 3216-3220.https://doi.org/10.5281/zenodo.18710814

More related articles
Herbal Based Microneedle Patches for Diabetes Mana...
Dhanasekar J., Snehal P., Nandhakumaran S., Lathamani L., Sudhama...
Formulation And Evaluation of Wound Healing Nanoem...
Sakshi Surwase, Pramod Ingale, Bindu Rani Ram, Samiksha Jadhav...
Formulation And Evaluation of Mucoadhesive Ashwaga...
Sana Khan, Pramod Ingale , Bindurani L.G.P Ram, Ritesh Bankar...
Formulation, Evaluation and Quality Assessment of Antifungal Cubosomes Drug Deli...
Anup Ladhake , Furqan Shah, Vijay Waghulkar , Shailesh Jawarkar, Monika Jadhao...
Formulation and Evaluation of Antiseptic gel for Tridax Procumbens...
Saniya Pathan, Dr. Sampat Navale , Dr. Mangal Gaikwad...
Avacopan in ANCA-Associated Vasculitis: Pharmacology, Clinical Profile, and Anal...
Omkar Gosavi, Kuldeep Ramteke, Komal Aher, Rahul Lokhande, Ganesh Lamkhade, Sachin Bhalekar...
Related Articles
Formulation and Evaluation of Multipurpose Herbal Liquid Shampoo...
Aarti Lahamage, Dhananjay Deshmukh, Dipak Ahire, Dipti Naikwadi, Jayraj Khedkar...
Herbal Based Microneedle Patches for Diabetes Management: A Novel Approach to In...
Dhanasekar J., Snehal P., Nandhakumaran S., Lathamani L., Sudhamani T., Selvakumar M., Monika P., Ka...
More related articles
Herbal Based Microneedle Patches for Diabetes Management: A Novel Approach to In...
Dhanasekar J., Snehal P., Nandhakumaran S., Lathamani L., Sudhamani T., Selvakumar M., Monika P., Ka...
Formulation And Evaluation of Wound Healing Nanoemulgel Containing Tridax Procum...
Sakshi Surwase, Pramod Ingale, Bindu Rani Ram, Samiksha Jadhav...
Formulation And Evaluation of Mucoadhesive Ashwagandha Buccal Film Using Fenugre...
Sana Khan, Pramod Ingale , Bindurani L.G.P Ram, Ritesh Bankar...
Herbal Based Microneedle Patches for Diabetes Management: A Novel Approach to In...
Dhanasekar J., Snehal P., Nandhakumaran S., Lathamani L., Sudhamani T., Selvakumar M., Monika P., Ka...
Formulation And Evaluation of Wound Healing Nanoemulgel Containing Tridax Procum...
Sakshi Surwase, Pramod Ingale, Bindu Rani Ram, Samiksha Jadhav...
Formulation And Evaluation of Mucoadhesive Ashwagandha Buccal Film Using Fenugre...
Sana Khan, Pramod Ingale , Bindurani L.G.P Ram, Ritesh Bankar...